XƯƠNG HÀM DƯỚI ĐƯA RA CÓ SAO KHÔNG? NGUYÊN NHÂN VÀ CÁCH KHẮC PHỤC TRIỆT ĐỂ
1. Xương hàm dưới đưa ra là bệnh lý gì?
Xương hàm dưới là phần xương to và khỏe nhất ở vùng mặt. Chúng giữ vai trò quan trọng trong hoạt động giao tiếp và ăn uống.
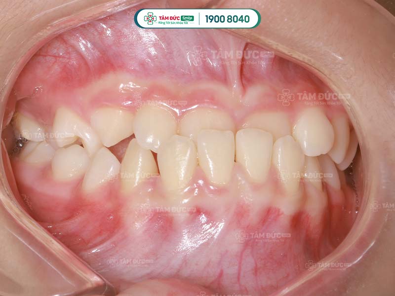
Xương hàm dưới đưa ra hay còn gọi là khớp cắn ngược, hình thành do sai lệch về cấu trúc xương hàm và mặt. Điều này làm xương hàm dưới nhô ra xa hơn so với xương hàm trên.
Biểu hiện của bệnh lý này rõ nhất khi Quý khách ngậm miệng, phần răng ở hàm dưới sẽ không khớp với hàm trên. Trong một số trường hợp, xương hàm dưới còn bao phủ luôn hàm trên.
Dựa vào khả năng bao phủ của hàm dưới, các bác sĩ sẽ đánh giá tình trạng xương hàm dưới đưa ra của Quý khách là nặng hay nhẹ.
Khớp cắn ngược được phân ra thành 3 loại chính:
- Xương hàm dưới đưa ra do răng: Trường hợp này xảy ra do răng ở hàm dưới mọc xiên về phía trước tạo nên khớp cắn ngược.
- Xương hàm dưới đưa ra do hàm: Phần xương hàm dưới phát triển quá mức làm mất cân bằng cấu trúc hàm.
- Xương hàm dưới đưa ra do cả xương hàm và răng: Đây là trường hợp hiếm gặp, cả xương hàm và răng phát triển sai lệch làm cho xương hàm dưới đưa ra.

Xương hàm dưới đưa ra gây mất thẩm mỹ khi cười
2. Xương hàm dưới đưa ra có sao không?
Tùy thuộc vào mức độ nghiêm trọng mà biến chứng xuất hiện cũng khác nhau. Các biến chứng thường gặp khi xương hàm dưới đưa ra thường là:
- Rối loạn khớp thái dương hàm (TMJ): Rối loạn khớp thái dương hàm gây đau và nhức ở khớp hàm cũng như các cơ, dây chằng xung quanh.
- Lệch khớp cắn: Do xương hàm trên và dưới không khớp với nhau dẫn đến lực phân bố không đều khi cắn gây lệch khớp cắn.
- Mòn răng: Khớp cắn bị lệch nên ở một số đoạn răng cắn rất mạnh còn đoạn thì cắn quá nhẹ. Từ đó, phần răng bị cắn mạnh do lệch khớp sẽ dễ bị mòn hơn.
- Trật khớp hàm và răng mọc lệch: Khớp hàm bị trật gây mọc lệch răng do sự bất đối xứng của khớp hàm trên và dưới.
- Sâu răng: Một số trường hợp người bị móm hàm dưới gặp khó khăn trong vấn đề vệ sinh răng miệng. Nó còn làm tăng khả năng bị sâu răng và viêm nhiễm.
- Ảnh hưởng đến hô hấp: Một số trường hợp, hàm dưới phát triển quá mạnh nên chèn đường thở, dẫn đến khó thở.
Nhìn chung, xương hàm dưới đưa ra không được coi là bệnh lý nghiêm trọng đối với sức khỏe. Thay vào đó, người bị móm thường cảm thấy tự ti, e ngại trong giao tiếp. Điều này có thể làm ảnh hưởng đến quá trình học tập, công việc cũng như các khía cạnh khác trong cuộc sống.

Xương hàm dưới đưa ra làm sai lệch khớp cắn
3. Nguyên nhân làm xương hàm dưới đưa ra
Có rất nhiều nguyên nhân dẫn đến biến chứng xương hàm dưới đưa ra.
3.1. Xương hàm dưới đưa ra do di truyền
Di truyền từ ba mẹ sang con là nguyên nhân chính dẫn đến bệnh lý xương hàm dưới đưa ra. Một số trường hợp ba mẹ có hàm bị móm hoặc bị khớp cắn ngược, hơn 40% bé sinh ra sẽ có xương hàm dưới đưa ra, khớp cắn bị lệch…
3.2. Xương hàm dưới đưa ra do chấn thương
Chấn thương, tai nạn làm biến dạng cấu trúc xương hàm. Điều này gây lệch khớp cắn, tổn thương xương hàm dưới gây biến chứng khớp cắn ngược.
3.3. Xương hàm dưới đưa ra do các thói quen xấu
Thói quen xấu khi còn nhỏ ví dụ như mút ngón tay, ngậm đồ chơi… làm thay đổi cấu trúc xương hàm. Lâu dần, xương hàm dưới đưa ra gây mất thẩm mỹ cho khuôn mặt và ảnh hưởng đến sinh hoạt hằng ngày.
3.4. Xương hàm dưới đưa ra do to đầu chi
To đầu chi hình thành do hormone tăng trưởng được sản xuất quá nhiều tại tuyến yên. Gây mất cân bằng trong sự phát triển các bộ phận trên cơ thể.
Tế bào xương hàm dưới nhận được nhiều hormone tăng trưởng hơn các tế bào khác. Điều này làm chúng phát triển mạnh gây nên biến chứng xương hàm dưới đưa ra.


ĐẶT HẸN NGAY HÔM NAY ĐỂ ĐƯỢC:
► Khám và tư vấn miễn phí
► Miễn phí chụp film cùng với máy Conebeam CT trị giá 700K
► Miễn phí quét mẫu hàm công nghệ ITERO trị giá 3 triệu
► Hỗ trợ trả góp 0% lãi suất
3.5. Xương hàm dưới đưa ra do hội chứng Crouzon
Hội chứng Crouzon gây bất thường tại cấu trúc xương đầu - mặt, do các đường nối hộp sọ hợp nhất một cách bất thường. Điều này dẫn đến biến chứng xương hàm dưới đưa ra
3.6. Xương hàm dưới đưa ra do hội chứng Nevus tế bào đáy
Hội chứng Nevus tế bào đáy là hội chứng di truyền làm cấu trúc khuôn mặt thay đổi bất thường. Điều này gây lệch cấu trúc hàm, dẫn đến hình thành khớp cắn ngược.
3.7. Xương hàm dưới đưa ra do hội chứng Down
Người bình thường có 46 nhiễm sắc thể quy định cho sự phát triển của các bộ phận khác nhau. Người bị hội chứng Down có 47 nhiễm sắc thể, dư 1 nhiễm sắc thể so với người bình thường.
Nhiễm sắc thể dư thừa này ảnh hưởng đến sự phát triển của một hoặc nhiều bộ phận bất kỳ trên khuôn mặt và làm xương hàm dưới đưa ra.
3.8. Xương hàm dưới đưa ra do bệnh Acrodysostosis
Người bị hội chứng này có xương hàm trên ít phát triển hơn so với xương hàm dưới. Lâu dần xương hàm dưới phát triển mạnh hình thành khớp cắn ngược.


4. Phương pháp điều trị xương hàm dưới đưa ra
Để đánh giá mức độ xương hàm hiện tại của Quý khách, bác sĩ tiến hành các phương pháp sau:
- Chụp X-quang răng.
- Chụp X-quang hộp sọ.
- Lấy dấu răng: mô phỏng hàm răng của người bệnh.
Phương pháp điều trị phụ thuộc vào nguyên nhân chính làm xương hàm dưới đưa ra. Có 2 cách điều trị chính là: chỉnh răng và chỉnh hàm. Một số trường hợp nặng, bác sĩ sẽ kết hợp cả 2 phương pháp này.
4.1. Chỉnh răng
Biện pháp này được sử dụng trong trường hợp xương hàm dưới đưa ra do các răng hàm dưới mọc lệch. Lúc này, phương pháp niềng răng giúp chỉnh răng hàm dưới khớp với vị trí của răng hàm trên. Các răng của 2 hàm khớp lại với nhau giúp cải thiện các biến chứng của bệnh lý xương hàm dưới đưa ra.

Niềng răng Invisalign để cải thiện tình trạng khớp cắn ngược
4.2. Chỉnh hàm
Trường hợp khớp cắn ngược hình thành do sự phát triển quá mức của xương hàm dưới. Phương pháp duy nhất giải quyết được vấn đề này là phẫu thuật chỉnh hàm.
Phẫu thuật chỉnh hàm là biện pháp dùng thiết bị cắt chuyên dụng loại bỏ phần xương hàm bị dư thừa sao cho khớp với vị trí xương hàm trên
Một số trường hợp bệnh nhân vừa bị phát triển quá mức xương hàm dưới , vừa có răng mọc lệch. Bệnh nhân được điều trị kết hợp cả chỉnh răng và chỉnh hàm. Bác sĩ ưu tiên xử lý các răng mọc lệch trước bằng biện pháp chỉnh răng, sau đó chỉnh hàm.
>>> Xem thêm:
Mô phỏng kết quả niềng răng Invisalign cho trường hợp khớp cắn ngược
5. Mất bao lâu để hồi phục sau phẫu thuật chỉnh hàm
Thời gian hồi phục trung bình sau khi phẫu thuật chỉnh hàm ở mỗi người là từ 9 tháng đến 12 tháng. Khả năng phục hồi phụ thuộc nhiều vào chế độ ăn uống và nghỉ ngơi của Quý khách.
Việc lựa chọn thời gian để thực hiện phẫu thuật chỉnh hàm giúp rút ngắn quá trình hồi phục cũng như giảm các biến chứng sau phẫu thuật:
- Nam: thực hiện phẫu thuật chỉnh hàm trong độ tuổi từ 12 đến 21 tuổi.
- Nữ: thực hiện phẫu thuật chỉnh hàm trong độ tuổi từ 14 đến 16 tuổi.
Quý khách hãy khắc phục sớm tình trạng xương hàm đưa ra để lấy lại khuôn mặt cân đối và hài hoà hơn. Để niềng răng an toàn và hiệu quả, Quý khách hãy liên hệ với nha khoa Tâm Đức Smile qua:
- Hotline 19008040 - 0329851079 (Có sử dụng Zalo/Viber).
- Điền thông tin vào bảng dưới đây.




