VÔI RĂNG CÓ TỰ TRÓC ĐƯỢC KHÔNG? 5 CÁCH NGĂN NGỪA HÌNH THÀNH VÔI RĂNG
1. Vôi răng có tự tróc được không?
Trước khi tìm hiểu về các biện pháp phòng ngừa vôi răng, chúng ta sẽ điểm qua thông tin về bản chất, tác hại và giải pháp xử lý vôi răng. Từ đó bạn dễ dàng hiểu được vôi răng tự tróc được không.
1.1. Bản chất của vôi răng
Vôi răng còn được biết đến là cao răng, là những mảng bám có màu vàng hoặc nâu, đen nằm trên men răng, sát với nướu. Những người lạm dụng chất kích thích như rượu, thuốc lá hoặc nước ngọt có gas thường có màu cao răng đậm hơn.

Vôi răng là những mảng bám có màu vàng hoặc nâu, đen
Các chuyên gia phân tích, cao răng được tạo ra từ quá trình tích tụ thức ăn trên răng. Thức ăn không được làm sạch hoàn toàn tạo cơ hội cho vi khuẩn tích tụ, hình thành các mảng bám. Đồng thời, trong nước bọt có chứa thành phần muối vô cơ, tính axit nhẹ với nồng độ PH từ 6.4 - 6.8. Các hợp chất này tác động lên mảng bám, khiến chúng bị vôi hóa, cứng rắn lại trở thành cao răng.
Vôi răng càng để lâu trên bề mặt răng thì độ bám chắc càng cao. Do đó, vôi răng tự tróc trong quá trình đánh răng, súc miệng là điều không thể. Chúng ta cần tới nha khoa để bác sĩ lấy cao răng bằng dụng cụ chuyên dụng.
1.2. Tác hại của vôi răng
Các mảng cao răng bám trên bề mặt răng không chỉ gây mất thẩm mỹ mà còn có nhiều tác hại xấu tới sức khỏe răng miệng.

Các mảng cao răng bám trên bề mặt răng gây mất thẩm mỹ
1.2.1. Vôi răng không tự tróc và gây sâu răng
Vi khuẩn là nguyên nhân trực tiếp gây sâu răng. Vôi răng tự tróc không được nên vi khuẩn không mất đi mà tích tụ trong vôi răng. Vi khuẩn phá hủy từng lớp men răng và ngà răng, hình thành các lỗ sâu lớn trên bề mặt răng. Trong quá trình ăn uống, thức ăn rơi vào lỗ sâu trũng và rất khó để làm sạch. Vi khuẩn phát triển mạnh, tấn công vào tủy răng gây sưng viêm và khiến chúng ta bị đau nhức dữ dội.
1.2.2. Vôi răng không tự tróc và gây hôi miệng
Những người bị cao răng thường khó vệ sinh răng miệng. Vôi răng tự tróc không được nên chúng ta không thể vệ sinh lớp men răng bao phủ bởi vôi răng.
Trên bề mặt cao răng hoặc giữa răng và nướu có các lỗ hổng li ti. Các mảnh vụn thức ăn, trà, cafe,... đọng lại trong lỗ hổng lâu tạo nên mùi hôi khó chịu. Nếu chúng ta không đánh răng thường xuyên và súc miệng nước muối để khử khuẩn thì mùi hôi càng nặng hơn.

Những người bị cao răng thường khó vệ sinh răng miệng
1.2.3. Vôi răng dẫn đến viêm nướu
Cao răng là nơi chứa rất nhiều vi khuẩn, cứng và khó để vôi răng tự tróc. Các mảnh cao răng cứng, bám sát nướu khiến cho lợi sưng tấy đỏ, chảy máu gây viêm nướu. Nếu chúng ta không lấy cao răng sớm, viêm nướu không được điều trị làm tụt nướu, viêm mủ chân răng. Lâu dần bệnh tiến triển nặng gây ra các biến chứng viêm nha chu, tiêu xương hàm,...
1.2.4. Vôi răng làm xấu nụ cười
Vôi răng làm thay đổi màu sắc của răng, từ trắng ngà sang ố vàng, nâu hoặc thậm chí là đen, gây mất thẩm mỹ. Người có nhiều cao răng thường tự ti khi giao tiếp, cười không tự nhiên hoặc cười che miệng để tránh lộ khuyết điểm. Điều này gây ấn tượng xấu với người đối diện, cản trở các mối quan hệ với đồng nghiệp, đối tác. Vì vậy, bạn không cần đợi vôi răng tự tróc, hãy tới nha khoa để làm sạch cao răng, lấy lại nụ cười trắng sáng.
1.2.5. Vôi răng nhiều làm ảnh hưởng đường tiêu hoá
Vi khuẩn trong cao răng lẫn cùng thức ăn, theo xuống đường ruột khi chúng ta nhai và nuốt thức ăn. Đây là một trong những nguyên nhân gây ra các vấn đề về tiêu hóa. Một số biểu hiện cho thấy bạn bị đường ruột như là đầy hơi, khó tiêu, tiêu chảy, ợ chua, buồn nôn,... Nếu không kiểm tra và điều trị kịp thời, bệnh nặng hơn dẫn tới viêm loét dạ dày, đại tràng, viêm ruột mãn tính.
1.3. Giải pháp loại bỏ vôi răng hiệu quả, an toàn
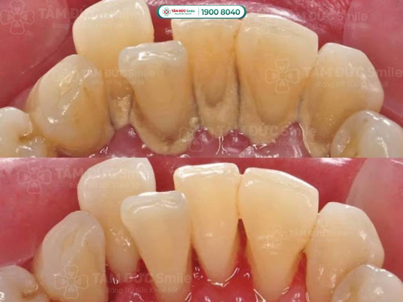
Sau khi trả lời được câu hỏi “vôi răng tự tróc được không” thì bạn cũng hiểu cách tốt nhất để lấy cao răng là hãy tới nha khoa. Các bác sĩ cạo vôi răng bằng cách dùng dụng cụ nha khoa chuyên dụng để loại bỏ hết các mảng bám trên răng và lợi.

Cách tốt nhất để lấy cao răng là hãy tới nha khoa
Dụng cụ máy hiện đại nhất được sử dụng để lấy cao răng là máy siêu âm. Ưu điểm của dòng máy này là sử dụng sóng siêu âm có đầu rung siêu nhỏ, tác động lực đủ mạnh làm phá vỡ liên kết, bong tróc mảng bám. Ngoài ra, sử dụng máy siêu âm rất an toàn, không làm tổn thương, chảy máu chân răng, không gây kích ứng và không ê buốt.
2. Biện pháp ngăn ngừa hình thành vôi răng
Mỗi người nên tự tạo cho mình những thói quen ăn uống lành mạnh, vệ sinh răng đúng cách,... để phòng tránh cao răng. Việc khám răng định kỳ cũng cần được thực hiện theo khuyến cáo của bác sĩ bởi rất khó để vôi răng tự tróc.
2.1. Vệ sinh răng miệng mỗi ngày
Vệ sinh răng miệng là bước phòng ngừa rất quan trọng, cần được thực hiện thường xuyên mỗi ngày. Ngoài đánh răng 2 lần sáng tối thì bạn nên đánh răng sau khi ăn đồ ngọt, thức ăn nhanh hoặc ăn thực phẩm có tính dẻo như cơm nếp, xôi,... Sau đó bạn súc miệng bằng nước muối để sát khuẩn, giảm sưng viêm do sưng nướu, viêm chân răng gây ra.
Vệ sinh răng không chỉ bao gồm đánh răng, súc miệng,... mà bạn cần kết hợp dùng chỉ nha khoa để lấy các mảng bám thức ăn trong kẽ răng. Đặc biệt đối với người niềng răng, bạn nên dùng thêm máy tăm nước để loại bỏ sạch triệt để thức ăn dính trên mắc cài,... Tần suất sử dụng chỉ nha khoa hay tăm nước như nhau, ít nhất 1 lần trên ngày để hiệu quả làm sạch tối đa nhất.

Nên dùng chỉ nha khoa để lấy các mảng bám thức ăn trong kẽ răng
2.2. Cạo vôi răng định kỳ tại nha khoa
Vệ sinh răng đúng cách không thể làm vôi răng tự tróc nên mọi người cần chú trọng lấy cao răng định kỳ. Đây là cách loại bỏ vôi răng nhanh chóng, không đau, không chảy máu do được thực hiện bởi máy siêu âm siêu nhỏ. Cao răng được lấy bỏ giúp cho hàm răng trắng sáng, hơi thở không có mùi hôi và hạn chế các bệnh sâu răng, viêm nướu,...
Cha mẹ hãy tập cho con làm quen với lấy cao răng định kỳ để bạn nhỏ ý thức được lấy cao răng không đau, không đáng sợ. Cha mẹ cần trang bị kiến thức về răng miệng, không tự ý dùng dụng cụ sắc nhọn cạy vôi răng tại nhà. Hành động này không những khiến vôi răng tự tróc khó khăn hơn mà còn gây nhiễm trùng nếu tay vệ sinh không sạch.

Vôi răng không tự tróc nên cần chú trọng lấy cao răng định kỳ
2.3. Hạn chế các thực phẩm làm tổn hại men răng
Một số thực phẩm có chứa cồn, axit ăn mòn men răng, làm răng ố vàng như thuốc lá, rượu bia, nước có ga,... cần hạn chế sử dụng. Bên cạnh đó, bạn không nên cho trẻ ăn kẹo bánh ngọt, dẻo thường xuyên, nhất là buổi đêm. Kẹo dẻo dính vào kẽ răng và rất khó làm sạch. Enzym trong nước bọt là chất xúc tác chuyển hóa đường thành axit, làm hao mòn và suy yếu lớp men răng.
2.4. Tăng cường các thực phẩm giúp men răng khỏe mạnh
Để men răng chắc khỏe, bạn cần bổ sung các nhóm thực phẩm giàu canxi, chất xơ, vitamin trong chế độ ăn hằng ngày. Các thực phẩm tốt cho sức khỏe của răng gồm có: cá, thịt, sữa, hạt, rau xanh, hoa quả,... Các chất dinh dưỡng này có vai trò quan trọng, giúp răng phát triển khỏe mạnh, tăng sức đề kháng chống lại vi khuẩn.
2.5. Uống nhiều nước
Trong cơ thể chúng ta có tới 70 - 80% là nước. Nước có vai trò duy trì sự sống và giúp làm sạch răng miệng, loại bỏ mảng bám sau khi ăn, tham gia vào quá trình tái tạo men răng. Mặc dù uống nhiều nước không thể làm vôi răng tự tróc nhưng sẽ giúp miệng cấp đủ ẩm và không bị khô. Nếu bạn đang trong quá trình phục hồi răng sau điều trị, nước còn giúp vết thương mau lành.
Hy vọng bài viết này giúp bạn giải đáp được những thắc mắc liên quan đến vôi răng tự tróc được hay không, cách xử lý và phòng ngừa. Răng miệng thực sự quan trọng đối với đời sống sinh hoạt, tinh thần,... nên chúng ta cần chú trọng chăm sóc răng ngay tại nhà. Bạn cần cạo vôi răng hãy liên hệ với Tâm Đức Smile ngay bằng cách:
- Gọi đến Hotline 19008040 - 0329851079 (Có sử dụng Zalo/Viber).
- Điền thông tin vào bảng sau đây để bác sĩ tư vấn miễn phí.


