TỤT LỢI HỞ CHÂN RĂNG LÀ NHƯ THẾ NÀO? NGUYÊN NHÂN LÀ GÌ? CHỮA TRỊ CÓ KHÓ KHÔNG?
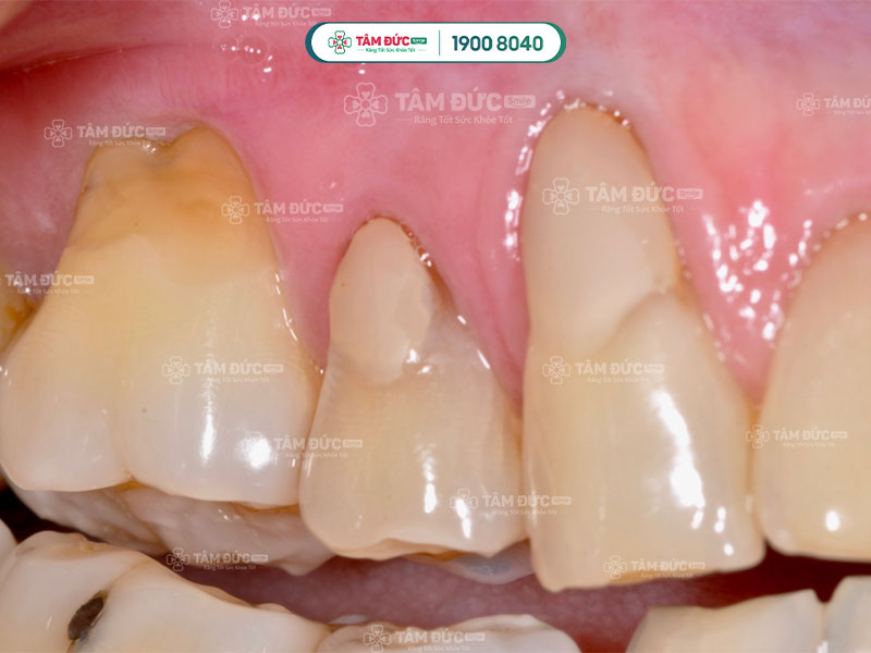
1. Tụt lợi hở chân răng là gì?
Tụt lợi hở chân răng còn được gọi là teo lợi. Đây là hiện tượng chân răng bị lộ ra do mô nướu co lại hoặc di chuyển mạnh mẽ.
Tụt lợi hở chân răng là hiện tượng phổ biến và xảy ra ở nhiều độ tuổi khác nhau. Nếu như trước đây, tụt lợi thường xuất hiện ở người trung niên thì hiện nay người trẻ cũng gặp phải vấn đề này.
Thống kê cho thấy, tình trạng này thường xuất hiện ở các răng phía ngoài như răng nanh, răng cửa.
Ở giai đoạn đầu, tụt lợi hở chân răng phát triển một cách âm thầm nên rất khó nhận biết. Quý khách chỉ nhận ra khi mô nướu đã bị teo và phần chân răng lộ nhiều hơn. Lúc này, Quý khách có thể cảm thấy ê buốt, đau nhức và dễ bị chảy máu chân răng.

Tụt lợi làm hở chân răng dễ làm răng lung lay
2. Nguyên nhân nào dẫn đến tụt lợi hở chân răng?
Có nhiều nguyên nhân làm cho lợi bị tụt và làm hở chân răng. Chẳng hạn như một số nguyên nhân thường gặp sau đây.
2.1. Viêm nha chu
Viêm nha chu xảy ra do vi khuẩn tích tụ trong mảng bám ở kẽ răng. Đây là giai đoạn sau của bệnh viêm nướu. Vi khuẩn tiết ra độc tố kích thích nướu, phá hủy cơ nâng đỡ răng và dẫn đến tụt lợi.
2.2. Vệ sinh răng miệng kém
Nếu không đánh răng đúng cách và thường xuyên, mảng bám sẽ tích tụ lại trên bề mặt răng. Điều này tạo điều kiện cho vi khuẩn phát triển và tiết ra các chất gây viêm nhiễm ở nướu. Viêm nướu làm nướu bị sưng, chảy máu và nướu bị kéo tụt dần xuống khỏi răng, gây ra nhiều bất tiện trong ăn uống.
2.3. Hút thuốc lá làm tăng nguy cơ bị tụt lợi hở chân răng
Trong thuốc lá có chứa nicotine có tác dụng làm co mạch máu, giảm tuần hoàn máu đến nướu. Việc thiếu máu nuôi dưỡng khiến nướu dễ bị viêm nhiễm, dần bị teo và lỏng lẻo.
Ngoài ra, trong khói thuốc lá có chứa các hóa chất gây viêm làm tăng nguy cơ nhiễm trùng. Sự kết hợp của các yếu tố này làm nướu dễ bị tổn thương hơn và tụt dần xuống. Vì vậy, nếu Quý khách hút thuốc lá thường xuyên thì sẽ có nguy cơ tụt lợi hở chân răng cao hơn.
2.4. Căng thẳng kéo dài
Khi cơ thể phải chịu áp lực lâu ngày sẽ làm hệ thống miễn dịch sẽ bị suy yếu. Việc gia tăng hormone căng thẳng như cortisol và cytokine làm cơ thể mất cân bằng và dễ mắc các bệnh lý như viêm nướu và nha chu.
Stress còn làm thay đổi nếp sống sinh hoạt của Quý khách hoặc ảnh hưởng đến giờ giấc ăn uống. Từ đó, stress kéo dài dễ làm trầm trọng thêm tình trạng viêm nhiễm ở nướu răng.
2.5. Tiêu xương ổ răng làm tụt lợi hở chân răng
Khi xương ổ răng bị mất dần do các yếu tố như di truyền, suy dinh dưỡng, thì phần chân răng sẽ bị lộ ra ngoài. Lớp nướu không còn được nâng đỡ dần trở nên lỏng lẻo và bị kéo tụt xuống.
Tiêu xương ổ răng càng nghiêm trọng càng đẩy nhanh tiến độ bị tụt lợi hở chân răng. Việc bổ sung đầy đủ dinh dưỡng và phòng ngừa tiêu xương răng là rất cần thiết để ngăn ngừa tụt lợi.

Tiêu xương răng làm gia tăng nguy cơ tụt lợi hở chân răng
3. Tụt lợi hở chân răng liệu có nguy hiểm không?
Tụt lợi hở chân răng là một vấn đề nha khoa nghiêm trọng, đòi hỏi sự chăm sóc và điều trị kịp thời. Tụt lợi hở chân răng có thể gây ra các vấn đề như đau nhức, chảy máu chân răng, ê buốt. Tình trạng này cũng dẫn đến những hậu quả nặng nề như mất răng vĩnh viễn, ảnh hưởng đến sức khỏe nướu và răng miệng.
Sau đây là các biến chứng có thể xuất hiện nếu tụt lợi hở chân răng không được điều trị đúng cách.
3.1. Ảnh hưởng đến thẩm mỹ
Khi mô nướu bị tụt sâu, đặc biệt là ở răng cửa, chân răng bị để lộ nhiều làm răng trông có vẻ dài hơn. Điều này rất ảnh hưởng đến thẩm mỹ nụ cười và làm Quý khách thiếu tự tin khi giao tiếp.
3.2. Răng nhạy cảm và ê buốt
Phần chân răng không được men răng bảo vệ như phần thân răng. Lợi bị tụt xuống làm hở chân răng, phơi ra lớp ngà răng làm cho răng trở nên nhạy cảm. Đó là lý do vì sao Quý khách thường cảm thấy ê buốt trong mỗi bữa ăn hoặc khi để răng tiếp xúc với không khí.
3.3. Nhiễm trùng và mất răng
Tụt lợi tạo điều kiện thuận lợi cho vi khuẩn tấn công và gây viêm nhiễm. Nếu không được điều trị, tụt lợi có thể dẫn đến tổn thương xương hàm và tủy răng, làm tăng nguy cơ mất răng vĩnh viễn.

Bọc răng sứ giúp khắc phục tình trạng hở chân răng hiệu quả
4. Phương pháp điều trị tụt lợi hở chân răng hiệu quả
Sau khi đưa ra chẩn đoán, bác sĩ sẽ phân loại mức độ tụt lợi hở chân răng nhẹ hay nặng và đề xuất các phương pháp điều trị phù hợp.
4.1. Điều trị tụt lợi hở chân răng mức độ nhẹ
Khi tụt lợi ở giai đoạn sớm, các phương pháp điều trị sẽ tập trung vào ngăn chặn quá trình viêm nhiễm và hỗ trợ phục hồi vết thương như:
- Tăng cường vệ sinh răng miệng sẽ giúp loại bỏ các yếu tố gây viêm nướu.
- Sử dụng các loại thuốc kháng khuẩn, kháng viêm để kiểm soát nhiễm trùng và làm dịu vết thương.
- Áp dụng các biện pháp làm lành vết thương như sử dụng gel chống viêm, vitamin hỗ trợ nướu.
- Theo dõi và tái khám định kỳ.
4.2. Điều trị tụt lợi hở chân răng giai đoạn phát triển
Khi tụt lợi chuyển sang giai đoạn phát triển, bác sĩ sẽ tiến hành cạo vôi răng hoặc phẫu thuật để loại bỏ túi nha chu và mảng bám bên dưới nướu. Việc này giúp làm sạch vùng bị viêm nhiễm, ngăn ngừa vi khuẩn xâm nhập vào các mô.
Kèm theo đó, Quý khách được kê đơn thuốc kháng sinh để kiểm soát viêm nhiễm và ngăn chặn vi khuẩn lây lan. Nếu cần thiết, bác sĩ có thể tiến hành phẫu thuật thẩm mỹ nướu hoặc điều trị phục hồi chức năng xương ổ răng.
4.3. Điều trị tụt lợi hở chân răng mức độ nặng
Khi tụt lợi đã chuyển sang giai đoạn nặng, bác sĩ sẽ tiến hành cấy ghép xương để thay thế phần xương răng đã bị tiêu biến. Điều này giúp tăng khả năng nâng đỡ răng, ngăn ngừa tình trạng răng lung lay và gãy rụng.
Quý khách được chỉ định ghép nướu hoặc cấy ghép implant để thay thế răng bị mất do tụt lợi. Bên cạnh đó, việc sử dụng kháng sinh liều cao cũng rất cần thiết để điều trị nhiễm trùng nặng.
Cấy ghép xương và trồng răng giả Implant tại nha khoa Tâm Đức Smile
>>> Xem thêm: Quy trình cấy ghép Implant chuẩn quốc tế tại nha khoa Tâm Đức Smile
Bài viết trên đã tổng hợp các thông tin liên quan đến tình trạng tụt lợi hở chân răng.Khi nhận thấy dấu hiệu ê buốt và hở chân răng, Quý khách hãy mau chóng đến gặp bác sĩ để được điều trị đúng hướng. Quý khách không nên áp dụng các biện pháp chữa trị tại nhà khi chưa tham khảo qua ý kiến của bác sĩ.
Hãy gọi đến Hotline 1900 8040 - 0329 851 079 (Có sử dụng Zalo/Viber) hoặc đặt hẹn qua bảng sau để nha khoa Tâm Đức Smile hỗ trợ Quý khách ngay bây giờ.


