TỤT LỢI CHÂN RĂNG LÀ GÌ? VÌ SAO TỤT LỢI CHÂN RĂNG NGUY HIỂM?
1. Tụt lợi là gì?
Tụt lợi là hiện tượng vùng lợi bao quanh chân răng bị tách khỏi chân răng rồi dịch chuyển xuống phần cuống răng. Tụt lợi sẽ làm thân răng bị lộ ra ngoài. Vấn đề này thường chỉ xuất hiện ở 1 vài răng, có thể xảy ra ở hàm trên hoặc hàm dưới.
Quý khách có thể nhận biết tụt lợi bằng mắt thường vì vùng lợi bị rút sâu xuống phía dưới, làm cho cổ răng lộ ra. Tuy nhiên, tụt lợi hàm dưới làm Quý khách khó phát hiện hơn, vì môi dưới đã che lấp toàn bộ chân răng và lợi. Tụt lợi sẽ làm ảnh hưởng nghiêm trọng đến thẩm mỹ nụ cười, làm cho răng nhạy cảm và suy yếu dần.
Quý khách nên tìm hiểu tụt lợi là gì thông qua dấu hiệu nhận biết để kịp thời phát hiện và điều trị. Những biểu hiện cơ bản khi bị tụt lợi bao gồm:
-
Vùng lợi bị sưng đỏ, bị đau và khó chịu, nhất là khi ăn nhai.
-
Tụt lợi làm cho quá trình vệ sinh răng miệng trở nên khó khăn, dễ bị chảy máu chân răng.
-
Khi bị tụt lợi, hơi thở của Quý khách sẽ có mùi khó chịu vì cặn thức ăn bám lại tại khe răng rất khó để làm sạch.
-
Tụt lợi làm cho răng bị lung lay, ảnh hưởng nghiêm trọng đến sức khỏe răng miệng.

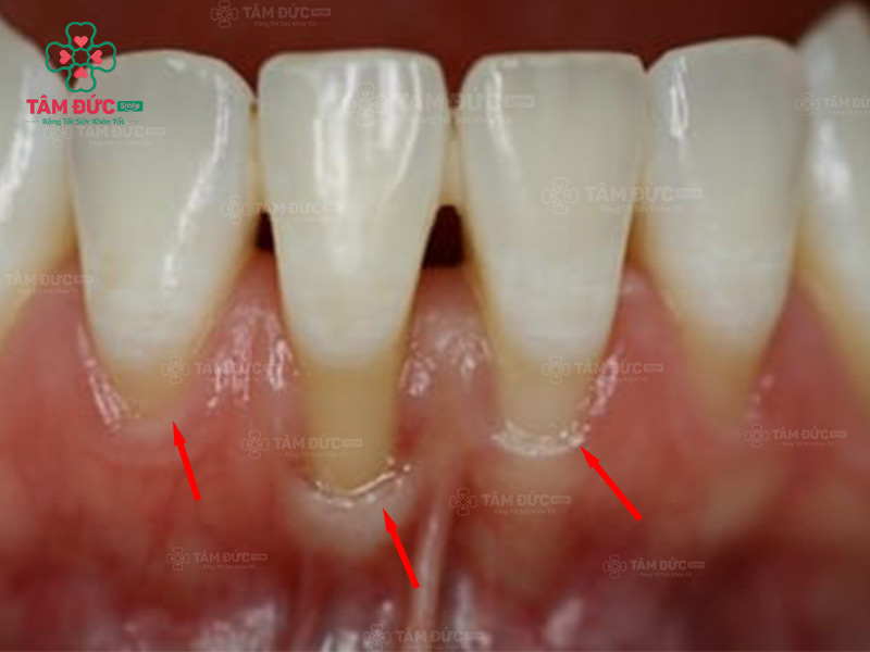
Tụt lợi làm lộ chân răng
2. Nguyên nhân gây tụt lợi
Sơ lược về các nguyên nhân gây tụt lợi sẽ giúp Quý khách có cách phòng tránh tụt lợi hiệu quả. Thực chất, tụt lợi có thể khởi phát từ rất nhiều nguyên nhân khác nhau.
2.1. Do bệnh lý răng miệng
Tụt lợi có thể là biến chứng của các bệnh lý như: Viêm lợi, viêm nha chu, cao răng,... khi không được điều trị kịp thời. Các bệnh lý này chính là nguyên nhân phổ biến nhất khiến vùng lợi bị tụt khỏi chân răng.
>>> Xem thêm:
Viêm lợi là gì? Nguyên nhân, ảnh hưởng và cách điều trị viêm lợi
Viêm nha chu là bệnh gì? Cách điều trị viêm nướu nha chu hiệu quả
Cao răng là gì? 10 giải đáp quan trọng về cao răng và vôi răng
2.2. Do tác động sinh lý
Tỷ lệ tụt lợi chân răng sẽ gia tăng theo độ tuổi. Kết quả từ nhiều cuộc nghiên cứu đã chỉ ra rằng: Tỷ lệ tụt lợi ở người sau 50 tuổi sẽ cao hơn 8%. Điều này có nghĩa là tuổi tác cao cũng là 1 trong những nguyên nhân làm tăng nguy cơ tụt lợi.
Ngoài ra, do sự thay đổi nội tiết tố trong cơ thể, tỷ lệ tụt lợi ở phụ nữ thường cao hơn ở đàn ông. Nguyên nhân là vì cơ địa phụ nữ nhạy cảm hơn, nên vi khuẩn dễ tấn công hơn.
2.3. Các sang chấn gây tụt lợi chân răng
Xét về thói quen chăm sóc răng miệng, nếu Quý khách đánh răng không đúng kỹ thuật sẽ làm mòn lợi rất nhanh. Ngoài ra, thói quen này còn có thể làm cho xô lệch răng, làm lợi dễ bị tụt hơn.
Mặt khác, các thói quen không lành mạnh như: Hút thuốc lá, nghiến răng, uống nhiều rượu bia,... cũng có thể làm lợi nhanh bị tụt khỏi chân răng.

Cao răng dày đặc là nguyên nhân làm viêm nướu và gây tụt lợi nhanh chóng
3. Vì sao tụt lợi chân răng nguy hiểm?
Các bác sĩ đã xác định rằng: Tụt lợi chân răng là vấn đề nguy hiểm, Quý khách không nên chủ quan. Tụt lợi chân răng thường xảy ra ở răng nanh hàm dưới. Nếu tụt lợi xuất hiện ở răng cửa hoặc răng hàm, điều đó chứng tỏ bệnh lý đã bước sang giai đoạn nghiêm trọng.
Khi bị tụt lợi, chân răng mất đi lớp đệm bảo vệ, từ đó, men răng dễ bị ăn mòn bởi môi trường bên trong khoang miệng. Về lâu dài, tụt lợi sẽ làm ảnh hưởng mạch quản và hệ thống dây thần kinh xung quanh răng.
Nếu được phát hiện và điều trị kịp thời, tụt lợi sẽ được điều trị dễ dàng. Ngược lại, nếu tình trạng tụt lợi kéo dài sẽ gây ra nhiều biến chứng nguy hiểm.
>>> Xem thêm: Xử lý mòn men răng, sụp khớp cắn tại nha khoa Tâm Đức Smile
3.1. Tạo điều kiện cho vi khuẩn tấn công
Tụt lợi sẽ làm cho chân răng bị lộ ra ngoài, thông qua đó, vi khuẩn sẽ dễ dàng tấn công vào sâu bên trong răng. Đây chính là nguyên nhân gây ra các biến chứng như: Đau nhức răng, ê buốt răng, chảy máu chân răng,...
3.2. Làm cho răng nhạy cảm hơn
Tụt lợi sẽ làm cho răng tăng tính nhạy cảm, kéo theo đó là những bất cập trong việc vệ sinh răng miệng và lấy cao răng định kỳ. Không làm sạch thức ăn thừa và mảng bám sẽ gây hôi miệng hoặc làm cho răng bị sâu.
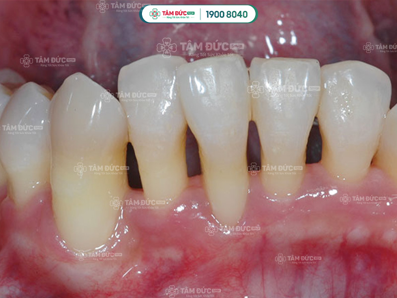
3.3. Làm cho răng trông dài hơn
Vùng lợi xung quanh bị tụt xuống sẽ làm cho thân răng trồng dài hơn. Răng nhạy cảm rất dễ bị bám màu hoặc tạo thành kẽ hở lớn với răng còn lại. Điều này sẽ làm ảnh hưởng nghiêm trọng đến thẩm mỹ nụ cười.

Răng có vẻ dài hơn khi Quý khách bị tụt lợi chân răng
4. Cách điều trị tụt lợi hiệu quả
Sau khi xác định tụt lợi là gì, Quý khách cần khẩn trương điều trị dứt điểm vấn đề này. Tùy thuộc vào mức độ nghiêm trọng khác nhau, cách chữa tụt lợi cũng sẽ khác nhau.
4.1. Điều trị tụt lợi ở mức độ nhẹ
Tụt lợi ở mức độ nhẹ tức là chỉ tụt lợi ở 1 vài răng, hoặc lợi còn bám vào thân răng, không làm lộ chân răng quá nhiều. Trong trường hợp này, cách điều trị tụt lợi tương đối đơn giản, Quý khách chỉ cần thực hiện theo các bước như sau:
-
Tìm hiểu và đến với nha khoa uy tín để thăm khám, lấy cao răng. Ngoài ra, Quý khách còn được bác sĩ vệ sinh răng miệng sạch sẽ.
-
Sử dụng thuốc chữa viêm lợi đặc trị để cải thiện sức khỏe răng miệng.
-
Xây dựng thói quen vệ sinh răng miệng lành mạnh, đúng chuẩn. Quý khách chỉ nên dùng bàn chải có lông mềm để không làm lợi bị tổn thương. Kết hợp dùng chỉ nha khoa và nước súc miệng để làm sạch khoang miệng.
-
Tuân thủ lịch tái khám định kỳ để tránh hiện tượng tụt lợi tái phát.
>>> Xem thêm: Video cạo vôi răng tại nha khoa Tâm Đức Smile
4.2. Điều trị tụt lợi ở mức độ nghiêm trọng
Nếu Quý khách bị tụt lợi nghiêm trọng hãy đến nha khoa uy tín để điều trị chuyên sâu. Đây là tình trạng lợi bị sưng tấy, hở nhiều chân răng và răng trở nên đặc biệt nhạy cảm.
Tại nha khoa, bác sĩ áp dụng 3 phương pháp điều trị, bao gồm:
- Nạo túi nha chu
- Ghép lợi
- Phẫu thuật ghép xương
Căn cứ vào mức độ lợi bị tụt và tình hình sức khỏe răng miệng của Quý khách, bác sĩ sẽ chỉ định phương pháp điều trị thích hợp. Điều trị tụt lợi tại nha khoa, Quý khách được đảm bảo an toàn và không lo lắng về các rủi ro phát sinh.
Như vậy, những thông tin trên đây đã giúp Quý khách giải thích cặn kẽ tụt lợi là gì, vì sao tụt lợi chân răng lại nguy hiểm. Trong bất cứ trường hợp nào, vệ sinh răng miệng luôn là yếu tố cần được ưu tiên hàng đầu. Quý khách hãy chia sẻ những thông tin hữu ích này để góp phần nâng cao sức khỏe răng miệng của người thân và bạn bè. Hãy liên hệ với nha khoa Tâm Đức Smile qua Hotline 1900 8040 - 0329 851 079 (Có sử dụng Zalo/Viber) hoặc để lại thông tin vào bảng bên dưới để được hỗ trợ nhanh nhất.


