TOP 7 THỰC PHẨM TỐT CHO RĂNG GIÚP MEN RĂNG CHẮC KHỎE
1. Men răng là gì?
Men răng là vật liệu cứng nhất trên cơ thể của chúng ta với hàm lượng cực cao canxi phosphat (lên tới 95%). Được hình thành thông qua quá trình khoáng hóa protein tạo thành một lớp có màu – đây là thành phần tạo nên màu sắc cho răng.
Men răng là lớp mà Quý khách có thể nhìn thấy được bằng mắt thường. Lớp này màu trắng, rất bền và khó bị vỡ, bao bọc xung quanh thân răng.
- Giúp bảo vệ ngà răng, tủy răng: Là bộ phận rất quan trọng của răng có tác dụng định hình và làm cho răng vững chắc. Tủy răng có vai trò tái tạo lại ngà răng và tiếp nhận, thông báo cho Quý khách biết những tín hiệu có hại.
- Là một lớp ngăn cách nhiệt: Giúp ngăn cản tủy răng có thể cảm nhận được nhiệt độ giúp giảm bớt tình trạng ê buốt răng.
- Hỗ trợ chức năng nhai: Nhờ vào lớp canxi rắn chắc, răng có thể nghiền những thức ăn thông thường một cách dễ dàng.

Men răng là lớp ngoài cùng của răng
2. Tại sao cần phải lựa chọn và sử dụng các thực phẩm tốt cho răng?
Để có được nụ cười trắng sáng và hàm răng chắc khỏe, đầu tiên, Quý khách phải có một hệ men răng khỏe mạnh. Tuy men răng rất cứng chắc nhưng nó vẫn có thể bị mài mòn do các nguyên nhân sau đây.
2.1. Do sâu răng
- Vệ sinh: thức ăn hằng ngày không được vệ sinh đúng cách sẽ hình thành mảng bám. Tạo điều kiện môi trường thuận lợi cho vi khuẩn gây hại cho răng miệng sinh sôi và phát triển.
- Tiêu thụ quá nhiều thực phẩm không tốt cho răng: đường là nguồn thức ăn cho vi sau khi chuyển hóa đường tạo ra axit đẩy nhanh quá trình khử khoáng làm mòn men răng.
2.2. Do mòn răng
Quá trình ma sát giữa thức ăn và răng làm hình thành nên những vết mòn, nứt li ti mà Quý khách không nhìn thấy được.
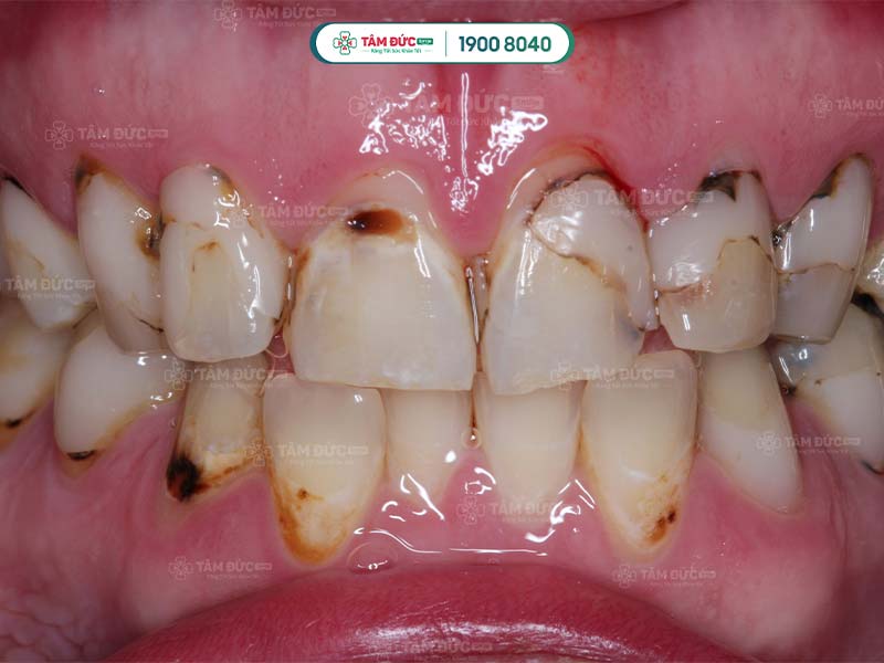
Men răng đã bị hỏng thì sẽ không thể được phục hồi mà phải tiến hành điều trị chuyên sâu. Việc lựa chọn và sử dụng những thực phẩm tốt cho răng nhằm bảo vệ và giúp men răng chắc khỏe. Đây là biện pháp hiệu quả, mang tính lâu dài cũng như tiết kiệm chi phí nhất cho Quý khách.

Men răng bị phá huỷ làm mất khả năng bảo vệ răng
3. Nha khoa Tâm Đức Smile gợi ý 7 loại thực phẩm tốt cho răng
Thành phần chính của men răng là canxi, nên các thực phẩm tốt cho răng thường sẽ chứa nhiều canxi. Sau đây là danh sách 7 loại thực phẩm chứa nhiều canxi giúp men răng của Quý khách chắc khỏe.
3.1. Phô mai
Hiện nay có rất nhiều người cho rằng phô mai là một sản phẩm gây béo phì. Nhưng thực chất, phô mai lại là một trong những loại thực phẩm tốt cho răng nhất.
Phô mai chứa rất nhiều chất dinh dưỡng cần thiết đã được các tổ chức sức khỏe thế giới công nhận. Trong 100g phô mai có tới 760 mg canxi, ngoài ra, còn có các chất thiết yếu khác như là: chất béo, protein,...
Cách sử dụng: mỗi ngày 3 miếng phô mai (30g).

Ăn phô mai thường xuyên giúp răng chắc khoẻ
3.2. Sữa chua - Thực phẩm tốt cho răng được bác sĩ khuyên dùng
Khi nhắc đến sữa chua, Quý khách thường nghĩ ngay đến công dụng tăng cường lợi khuẩn cho hệ tiêu hóa. Nhưng có một điều thú vị là trong sữa chua có chứa rất nhiều canxi. Hàm lượng này tương đương với 30% nhu cầu canxi trong ngày đối với một người trưởng thành.
Bên cạnh đó sữa chua còn chứa rất nhiều các vitamin, khoáng chất có lợi cho sức khỏe của Quý khách. Chẳng hạn như: vitamin B2, B12, vitamin D và kẽm.
Sữa chua là thực phẩm tốt cho răng, rất dễ sử dụng, còn tránh được việc nhai và ma sát, tránh làm tổn thương men răng.
Cách sử dụng: 1-2 hộp mỗi ngày.

Ăn sữa chua để răng chắc khoẻ và cải thiện chức năng hệ tiêu hoá
ĐẶT HẸN NGAY HÔM NAY ĐỂ ĐƯỢC:
► Khám và tư vấn miễn phí
► Miễn phí chụp film cùng với máy Conebeam CT trị giá 700K
► Miễn phí quét mẫu hàm công nghệ ITERO trị giá 3 triệu
► Trả góp 0% lãi suất qua hệ thống ngân hàng lớn
3.3. Hạt vừng - Thực phẩm tốt cho răng cung cấp nhiều vi lượng
Ngoài vai trò tăng thêm hương vị của món ăn thì vừng còn cung cấp cho Quý khách những giá trị dinh dưỡng nhất định. Trong 100g vừng có chứa tới 975mg canxi, đồng nghĩa với việc đáp ứng hơn 60% nhu cầu về canxi trong ngày của Quý khách.
Vừng còn cung cấp một lượng lớn sắt, kẽm, protein và điện giải.
Cách sử dụng: hằng ngày sử dụng từ 15-20g.

Vừng cung cấp một lượng lớn khoáng chất
3.4. Hải sản
Hải sản luôn được đánh giá là loại thực phẩm tốt cho răng và được nhắc đến là loại thực phẩm giàu chất dinh dưỡng. Một lượng lớn protein, canxi, chất béo, khoáng chất có trong các loại hải sản. Tùy vào loại hải sản mà nó sẽ chứa hàm lượng canxi khác nhau.
Trong 100g tôm trung bình có 1000mg canxi, hàm lượng này còn cao hơn cả phô mai. Trong 100g cua thì có tới 3500 mg canxi gấp 5 lần lượng canxi có trong phô mai.
Lượng acid béo không bão hòa trong hải sản còn giúp cải thiện và dự phòng các bệnh về tim mạch.
Cách sử dụng: mỗi tuần 226g.

Hải sản cung cấp một lượng lớn canxi
3.5. Sữa - Thực phẩm cung cấp lượng lớn canxi tốt cho răng
Tùy vào loại sữa sẽ có hàm lượng canxi khác nhau. Trung bình một ly sữa 180ml sẽ có 180mg canxi tương đương 18% nhu cầu hằng ngày đối với canxi.
Đây là một trong những nguồn thực phẩm giúp cho quý khách bổ sung canxi một cách nhanh chóng mà giá cả lại hợp lý.
Cách sử dụng: 1-2 bịch, hộp sữa mỗi ngày.

Uống sữa giúp men răng chắc khoẻ hơn
3.6. Ngũ cốc nguyên cám - Thực phẩm tốt cho răng và giúp giảm cân hiệu quả
Một lượng lớn canxi (103mg) cùng với chất xơ và chất béo được tìm thấy trong 100g hạt ngũ cốc. Ngoài giúp tăng cường chất lượng men răng, ngũ cốc còn đóng vai trò:
- Cải thiện hệ tiêu hóa: giảm bớt tình trạng táo bón, giúp nhuận tràng.
- Tạo cảm giác no lâu giúp Quý khách kiểm soát cân nặng.
Cách sử dụng: 227g mỗi ngày.

Ăn ngũ cốc nguyên cám vừa cung cấp canxi cho răng vừa giúp hệ tiêu hoá khoẻ mạnh
3.7. Trứng gà - Thực phẩm tốt cho răng miệng
Trong mỗi 100g trứng gà có chứa 50mg canxi cùng các thành phần thiết yếu khác: protein, chất béo,... Quý khách hoàn toàn có thể sử dụng trứng để nâng cao chất lượng men răng.

Trứng gà là nguồn thực phẩm giàu canxi
Tóm lại, chế độ ăn uống đúng cách chính là yếu tố trực tiếp ảnh hưởng đến chất lượng men răng và sức khỏe răng miệng. Chính vì thế Quý khách hãy luôn cẩn trọng trong việc lựa chọn thực phẩm. Tốt nhất, Quý khách nên thường xuyên bổ sung thêm các loại thực phẩm tốt cho răng để luôn có một nụ cười khỏe mạnh. Quý khách hãy chia sẻ với nha khoa Tâm Đức Smile về những vấn đề răng miệng qua Hotline 1900 8040 - 0329 851 079 (Có sử dụng Zalo/Viber). Hoặc Quý khách để lại thông tin vào bảng bên dưới để được đặt hẹn thăm khám nhanh nhất.




