RĂNG THƯA HÀM DƯỚI PHẢI LÀM SAO?
1. Nguyên nhân gây ra răng thưa hàm dưới
1.1. Kích thước xương hàm lớn hơn so với thông thường
Xương hàm to quá mức xuất phát từ yếu tố di truyền. Đây là nguyên nhân phổ biến nhất gây ra chứng răng thưa hàm dưới. Lúc này phần xương hàm dưới phát triển một cách quá mức, gây mất cân bằng kích thước giữa răng và xương hàm.
Cụ thể, phần xương hàm dưới phát triển quá mức trong khi kích thước và số lượng răng vẫn không đổi. Dẫn đến việc răng không thể lấp đầy những khoảng trống đó, gây răng thưa hàm dưới.
1.2. Kích thước răng nhỏ hơn thông thường
Kích thước răng quá nhỏ cũng là một trong các nguyên nhân hàng đầu xuất phát từ yếu tố di truyền, gây ra chứng răng thưa. Khoảng trống gây thưa răng được tạo ra giữa các răng có kích thước bình thường và răng có kích thước quá nhỏ.
Ở người mắc chứng răng thưa hàm dưới, những chiếc răng nhỏ này mọc ở vị trí hàm dưới.
1.3. Răng thưa hàm dưới do phản xạ nuốt không chính xác
Khi Quý khách nuốt đúng cách, phần lưỡi phải cong lên và có xu hướng chạm vào vòm miệng để tạo độ dốc cho thức ăn tụt xuống thực quản.
Tuy nhiên, những người có phản xạ nuốt không chính xác thường mắc lỗi đẩy lưỡi vào răng cửa khi nuốt. Theo thời gian, phần răng bị lưỡi đè vào bị đẩy ra ngoài, tạo ra khoảng trống giữa hai răng.
Nếu lưỡi đè vào răng ở vị trí hàm dưới nhiều hơn thì răng thưa hàm dưới được hình thành. Ngược lại nếu lưỡi thường đè vào các răng hàm trên thì tạo thành răng thưa hàm trên.

Răng thưa hàm dưới do nhiều nguyên nhân như mất răng, phản xạ nuốt không chính xác...
1.4. Hàm dưới bị thưa răng do mất răng lâu ngày
Thiếu răng hay mất răng ở hàm dưới dẫn tới thưa răng hàm dưới. Các nguyên nhân dẫn tới mất răng phổ biến như:
- Sâu răng
- Tai nạn
- Bệnh lý: ví dụ mất răng khi bệnh viêm nha chu không được điều trị kịp thời.
1.5. Mô nướu phát triển quá mức làm thưa răng hàm dưới
Sự phát triển quá mức của nướu làm răng bị tách ra, tạo khoảng trống hình thành răng thưa hàm dưới.
1.6. Răng thưa hàm dưới do hói quen khi đặt lưỡi, mút tay
Trẻ em thường có thói quen mút tay và đặt lưỡi không đúng cách. Nếu không được điều chỉnh kịp thời, răng tại vị trí mút tay hay đặt lưỡi sau này bị tách rời, tạo thành răng thưa hàm dưới.
ĐẶT HẸN NGAY HÔM NAY ĐỂ ĐƯỢC:
► Khám và tư vấn miễn phí
► Miễn phí chụp film cùng với máy Conebeam CT trị giá 700K
► Miễn phí quét mẫu hàm công nghệ ITERO trị giá 3 triệu
► Hỗ trợ trả góp 0% lãi suất
2. Các biện pháp khắc phục
Mức độ nghiêm trọng của răng thưa hàm dưới được đánh giá dựa vào kích thước khoảng trống được tạo ra. Khoảng trống gây thưa răng càng lớn thì mức độ nghiêm trọng càng cao.
Tùy thuộc vào tính chất nghiêm trọng trong từng trường hợp mà các hướng xử lý cũng khác nhau. Sau đây, nha khoa Tâm Đức Smille xin giới thiệu đến Quý khách một số phương pháp điều trị răng thưa hàm dưới phổ biến hiện nay.
2.1. Trám răng giúp khắc phục răng thưa hàm dưới
Trám răng là phương pháp nhanh nhất, dễ nhất và rẻ nhất nhằm khắc phục khoảng cách giữa các răng. Phương pháp này sử dụng vật liệu có màu sắc tương đồng với răng để trám, lấp đầy khoảng trống do răng thưa hàm dưới tạo ra.
Mặc dù phương pháp này đơn giản và tiết kiệm nhưng nó có một số nhược điểm như sau:
- Phương pháp chỉ thích hợp với những khoảng trống nhỏ hơn 2mm.
- Composite dễ bị gãy và sứt mẻ sau vài năm sử dụng.

Trám răng giúp khắc phục thưa răng hàm dưới
2.2. Bọc răng sứ để cải thiện tình trạng răng thưa hàm dưới
Bọc răng sứ được áp dụng khi Quý khách bị mất 1 răng, răng thưa, răng bị sâu, răng mẻ vỡ hoặc ố vàng. Đây là phương pháp sử dụng một hay nhiều răng sứ được thiết kế riêng cho Quý khách. Răng sứ giúp lấp đầy khoảng trống giữa các răng, tạo tính thẩm mỹ cho hàm răng.
Một số ưu điểm của răng sứ:
- Răng được thiết kế với màu sắc và hình dạng y hệt răng thật. Răng có màu sắc đẹp tự nhiên hơn so với phương pháp trám răng.
- Răng sứ rất bền, không bị gãy và sức mẽ trong thời gian dài sử dụng.
>>> Xem thêm: Top 5 form răng sứ đẹp được ưa chuộng nhất hiện nay
2.3. Niềng răng khắc phục răng thưa hàm dưới
Phương pháp niềng răng giúp điều chỉnh răng thưa hàm dưới hiệu quả. Phương pháp này sử dụng một bộ khí cụ, giúp tạo áp lực lên răng và kéo chúng sát lại với nhau để lấp đầy khe hở giữa các răng.
Răng vẫn giữ được tính nguyên vẹn, chỉ có vị trí răng thay đổi. Nhược điểm lớn nhất của phương pháp niềng răng là vấn đề thời gian. Thời gian trung bình để hoàn thành niềng răng mất khoảng từ 1-2 năm.


Hình ảnh khách hàng sau khi gắn mắc cài điều trị răng thưa hàm dưới tại Tâm Đức Smile
3. Răng thưa hàm dưới là gì?
Răng thưa xuất hiện tại bất kỳ vị trí nào ở cả 2 hàm răng: hàm trên và hàm dưới. Tuy nhiên, tỷ lệ răng thưa hàm dưới thường cao hơn hàm trên. Răng bị thưa ở hàm dưới do các răng này phát triển không khít vào nhau, tạo kẽ hở quá lớn giữa các răng tại vị trí hàm dưới.
Mức độ nghiêm trọng tùy thuộc vào vị trí và kích thước của răng thưa. Vấn đề này xuất phát từ nhiều nguyên nhân, không chỉ ảnh hưởng đến tính thẩm mỹ, mà còn gây ra các biến chứng răng miệng khác.

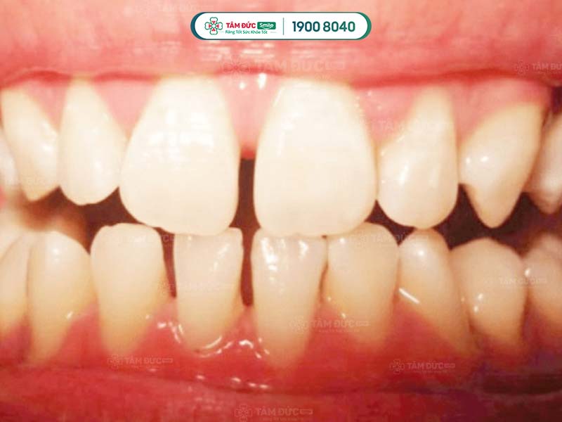
Hình ảnh răng thưa giữa các răng có khoảng hở tạo điều kiện thuận lợi cho thức ăn giắt vào
4. Các vấn đề gặp phải khi Quý khách bị thưa răng hàm dưới
Răng thưa hàm dưới không phải bệnh lý hay triệu chứng nguy hiểm. Tuy nhiên, răng thưa gây ảnh hưởng tiêu cực đến tính thẩm mỹ và gây ra một số rủi ro tiềm ẩn.
4.1. Răng thưa hàm dưới ảnh hưởng đến thẩm mỹ
Khi phát hiện bị răng thưa hàm dưới, Quý khách sẽ có cảm giác tự ti, tự giới hạn mình trong giao tiếp.
4.2. Răng thưa hàm dưới ảnh hưởng đến ăn uống và làm tăng nguy cơ nhiễm khuẩn
Khoảng trống do răng thưa hàm dưới tạo ra trở thành một cái “bẫy thức ăn”. Thức ăn khi nhai rất dễ mắc kẹt vào những khoảng trống này.
Lâu dần, nếu không được vệ sinh đúng cách, “bẫy thức ăn” tạo điều kiện cho vi khuẩn có hại tích tụ và phát triển. Từ đó, nó làm gia tăng nguy cơ sâu răng và nhiễm khuẩn đối với người mắc chứng răng thưa. Bên cạnh đó, thức ăn dính vào răng khi nhai cũng gây ra không ít sự khó chịu.
Quý khách đang gặp tình trạng răng thưa hàm dưới, hãy liên hệ với nha khoa Tâm Đức Smile ngay để được thăm khám miễn phí. Quý khách hãy gọi đến Hotline 19008040 - 0329851079 (Có sử dụng Zalo/Viber). hoặc điền thông tin vào bảng sau đây.




