RĂNG LÒI XỈ LÀ GÌ? RĂNG LÒI XỈ Ở TRẺ EM CÓ CẦN ĐIỀU TRỊ KHÔNG?
1. Răng lòi xỉ ở trẻ em là gì?
Răng lòi xỉ hay còn được gọi với cái tên khác là răng lồi xỉ. Khác với hiện tượng răng khểnh chỉ lệch ở biên độ nhỏ, răng lòi xỉ có các răng mọc không đồng đều. Đặc biệt là vị trí răng nanh chồi ra phía ngoài hoặc nghiêng vào trong so với các răng khác trên cung hàm. Vậy nên hàm răng bị lệch nghiêm trọng, khuôn mặt bạn cũng mất cân đối.
Hiện nay, tình trạng răng lòi xỉ ở trẻ em ngày một tăng cao. Nhưng nhiều người lại nhầm với răng khểnh (Vì trong hai trường hợp, răng đều chồi ra phía ngoài). Nếu bạn không phát hiện sớm và can thiệp, để hiện tượng lồi xỉ nặng thì rất khó lấy lại thẩm mỹ nụ cười.

Răng lòi xỉ hay còn được gọi với cái tên khác là răng lồi xỉ
1.1. Nguyên nhân làm cho răng bị lòi xỉ
Để giải quyết vấn đề và có biện pháp phòng tránh, bạn nên tìm hiểu nguyên nhân gây ra hiện tượng này. Theo các chuyên gia, răng lòi xỉ xuất hiện ở trẻ em vì thói quen sinh hoạt không tốt, xương hàm không đều,...
-
Thói quen sinh hoạt không tốt
Bé có thói quen mút tay, thở bằng miệng ngậm bút, đẩy lưỡi,... tạo áp lực lên răng. Dù tác động rất nhẹ nhưng trong thời gian dài, răng di chuyển khỏi vị trí cũ, chen chúc và gây ra hiện tượng lòi xỉ. Bạn nên sửa đổi các thói quen xấu này ở bé càng sớm càng tốt để ngăn nhiều bệnh lý về răng miệng khác.
-
Xương hàm phát triển không đều
Nếu hàm trên và dưới không đồng đều hoặc hàm quá nhỏ, răng không có không gian để mọc. Vậy nên, các răng chen chúc lên nhau, gây ra hiện tượng lồi xỉ. Thông thường, nguyên nhân này do di truyền từ cha mẹ, số ít khác do chấn thương sau tai nạn.

Nếu hàm trên và dưới không đồng đều hoặc hàm quá nhỏ, răng không có không gian để mọc
-
Các nguyên nhân khác
Răng sữa là tiền đề cho răng vĩnh viễn mọc. Vậy nên khi răng sữa rụng sớm, răng vĩnh viễn mất đi điểm tựa, xảy ra hiện tượng mọc lệch, không đúng vị trí. Ngoài ra, nhổ răng không đúng cách hoặc bé mắc các bệnh lý về đường hô hấp cũng là nguyên nhân gây nên hiện tượng răng lòi xỉ.
1.2. Ảnh hưởng do răng lòi xỉ ở trẻ em
Răng lồi xỉ ở trẻ gây ra nhiều ảnh hưởng đến sức khỏe và thẩm mỹ. Trong trường hợp phát hiện sớm, tình trạng này dễ dàng cải thiện. Nhưng thời gian càng lâu, mức độ lệch lạc càng cao, bác sĩ càng khó can thiệp hơn.

Răng lồi xỉ ở trẻ gây ra nhiều ảnh hưởng đến sức khỏe và thẩm mỹ
1.2.1. Răng lòi xỉ ở trẻ em gây khó khăn trong ăn uống
Khi hàm có nhiều răng bị lệch lạc, các răng xô lệch gây mất đối xứng giữa hàm trên và hàm dưới. Hiện tượng này dẫn đến tình trạng sai lệch khớp cắn nặng, ảnh hưởng đến chức năng ăn nhai của trẻ.
Răng nanh có vai trò quan trọng và dùng để cắn xé thức ăn. Khi bị lồi xỉ, trẻ gặp khó khăn khi cắn, xé thức ăn, đặc biệt là các loại thực phẩm dai, cứng. Nếu tình trạng này kéo dài, trẻ dễ bị biếng ăn, nhai nuốt không kỹ cũng là nguyên nhân gây ra nhiều bệnh lý về tiêu hóa.
1.2.2. Răng lòi xỉ ở trẻ em làm ảnh hưởng đến thẩm mỹ nụ cười
Hiện tượng lồi xỉ làm các răng thiếu chỗ mọc, phải chen chúc gây sai lệch hàm. Khuôn hàm lệch, làm cho khuôn mặt không đối xứng, lệch nhẹ trên mũi hoặc dưới cằm. Ngoài ra, răng chồi ra ngoài làm cho bé không thể ngậm miệng kín khi nói chuyện. Trẻ cảm thấy tự ti, ngại ngùng khi giao tiếp do lo lắng về nụ cười của mình.
1.2.3. Răng lòi xỉ làm tăng nguy cơ bị sâu răng
Răng lòi xỉ ở trẻ em tạo ra nhiều khe hở giữa các răng, dễ mắc thức ăn và vi khuẩn vào vị trí hở. Mà trẻ em chưa ý thức được tầm quan trọng của việc vệ sinh răng miệng, khi vệ sinh cũng không kỹ. Đây là điều kiện cho vi khuẩn tích tụ, xuất hiện mảng bám và hình thành sâu răng.
Ngoài sâu răng, vi khuẩn phát triển trong các kẽ hở làm cho trẻ dễ mắc các bệnh lý khác về răng miệng. Ví dụ như: Viêm tủy răng, viêm nướu, tụt nướu hoặc mất răng,...
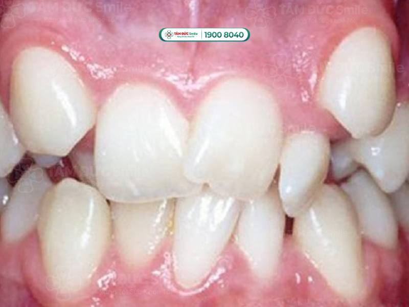
1.3. Hình ảnh răng lòi xỉ ở trẻ em


2. Giải pháp chữa răng lòi xỉ ở trẻ em
Răng lòi xỉ mọc trên nướu, đảm nhận công việc cắn, xé thức ăn nên bác sĩ không khuyến khích nhổ răng. Thay vào đó, bác sĩ đề xuất thực hiện các giải pháp bảo tồn răng tối đa như niềng răng. Tuy nhiên, bạn vẫn nên biết các trường hợp răng lòi xỉ nên nhổ là:
- Răng mọc lệch hẳn ra ngoài tạo thành thế 3 chân, ảnh hưởng đến khả năng ăn uống và khó chăm sóc.
- Răng lòi xỉ nặng, cần phải nhổ bỏ để di chuyển các răng khác về đúng vị trí trên cung hàm.
- Một răng lòi xỉ làm nhiều răng khác lệch lạc theo, ảnh hưởng đến khả năng ăn nhai và khớp cắn của trẻ.
Phương pháp niềng răng mắc cài và niềng răng trong suốt được bác sĩ khuyến nghị trong nhiều trường hợp. Ưu điểm của phương pháp này là trẻ đang trong độ tuổi phát triển, xương hàm vẫn nắn chỉnh được, vậy nên hiệu quả nhanh hơn người trưởng thành.
2.1. Niềng răng mắc cài
Niềng răng mắc cài là phương pháp phổ biến và hiệu quả được nhiều chuyên gia sử dụng điều trị răng lòi xỉ. Bác sĩ sẽ sử dụng khí cụ nha khoa chuyên dụng như: Mắc cài, dây thun và dây cung,... để tác lực di chuyển răng về đúng vị trí. Bạn có thể chọn loại mắc cài bằng kim loại hoặc mắc cài sứ.

Niềng răng mắc cài là phương pháp phổ biến và hiệu quả được nhiều chuyên gia sử dụng điều trị răng lòi xỉ
2.2. Niềng răng trong suốt
Niềng răng trong suốt cũng là phương pháp niềng răng được nhiều bác sĩ khuyến nghị. Vì các khay niềng trong suốt không màu, khó bị lộ, giúp bé thoải mái và tự tin hơn khi giao tiếp. Ngoài ra, niềng răng trong suốt ôm sát vào bề mặt răng và dễ dàng tháo lắp, không gây cộm hay khó chịu cho bé.
2.3. Các lưu ý trong quá trình niềng răng
Ngoài các trường hợp bắt buộc phải nhổ răng trên, khi niềng răng lòi xỉ ở trẻ em, bác sĩ phải nhổ răng khi:
- Chiếc răng lòi xỉ sai lệch cao, chiếm nhiều vị trí của răng khác.
- Chen chúc với răng khác, bác sĩ phải nhỏ để có khoảng trống cho các răng di chuyển.
Độ tuổi niềng răng để điều trị lòi xỉ ở trẻ em tốt nhất được bác sĩ khuyến nghị là từ 6-12 tuổi. Đây là thời điểm vàng khi răng vĩnh viễn chưa mọc hết, xương hàm đang phát triển và dễ nhận thấy dấu hiệu răng mọc bất thường. Ngoài ra khi niềng răng, để đạt hiệu quả tốt nhất, bạn nên lưu ý:
- Chọn nha khoa niềng răng uy tín cho con, đảm bảo bác sĩ thực hiện có chuyên môn và tay nghề tốt.
- Hạn chế cho bé ăn thức ăn cứng, dai, dính như kẹo cứng, thịt dai, bánh mì,... và đặc biệt là đồ ngọt.
- Khắc phục các thói quen xấu cho bé như: Mút tay, ngậm bút, đẩy lưỡi, thở bằng miệng,...
- Vệ sinh răng đúng cách sau khi niềng: Chải răng 2 lần, sử dụng tăm nước hoặc chỉ nha khoa để làm sạch kẽ răng.
- Khi đeo niềng trong suốt, bạn phải nhắc bé vệ sinh tay sạch sẽ để tránh vi khuẩn xâm nhập.
- Bạn nên đưa con đến khám răng định kỳ 6 tháng/lần để bác sĩ theo dõi tiến độ niềng răng.

Chọn nha khoa niềng răng uy tín cho con
Qua bài viết trên đây, bạn đọc đã tìm hiểu các thông tin chi tiết về tình trạng răng lòi xỉ ở trẻ em và cách khắc phục hiệu quả. Bạn nên đưa trẻ đến nha khoa định kỳ để được thăm khám và tránh các bệnh lý về răng miệng, giữ nụ cười luôn rạng rỡ.


