MIỆNG BỊ KHÔ LÀ BỆNH GÌ? CÁCH ĐIỀU TRỊ VÀ PHÒNG NGỪA
1. Miệng bị khô là bệnh gì?
Miệng bị khô là tình trạng cơ thể sản xuất ít nước bọt hơn bình thường, dẫn đến khô và khó chịu ở vùng miệng và họng. Sau đây là một số nguyên nhân của tình trạng khô miệng này.
1.1. Khô miệng do dùng thuốc trong thời gian dài
Nhiều loại thuốc như thuốc an thần, thuốc trị tiểu đường, thuốc chống trầm cảm, thuốc hạ huyết áp... có thể gây ra tình trạng miệng bị khô. Điều này là do các thuốc này ức chế hoạt động của tuyến nước bọt, dẫn đến giảm tiết nước bọt. Các nhóm thuốc hay gây khô miệng bao gồm thuốc kháng cholinergic, thuốc an thần, thuốc chống trầm cảm, thuốc trị Parkinson, thuốc hạ huyết áp.
1.2. Lười uống nước gây khô miệng
Không uống đủ nước hàng ngày sẽ làm giảm sản xuất nước bọt, khiến miệng trở nên khô và khó chịu. Nước bọt đóng vai trò quan trọng trong việc làm ẩm và vệ sinh miệng, do đó nếu thiếu nước bọt sẽ dẫn đến miệng bị khô.

Uống đủ nước hàng ngày sẽ hạn chế tình trạng khô miệng
1.3. Thói quen hút thuốc lá làm miệng bị khô
Hút thuốc lá có thể làm giảm tiết nước bọt và gây kích ứng niêm mạc miệng, khiến miệng trở nên khô hơn. Hút thuốc lá thường xuyên còn làm tăng nguy cơ mắc các bệnh về miệng như ung thư miệng, viêm lợi, sâu răng…
1.4. Các bệnh lý làm cho miệng bị khô
Một số bệnh lý toàn thân sẽ ảnh hưởng đến tuyến nước bọt khiến miệng bị khô. Khô miệng cũng là triệu chứng ban đầu của những căn bệnh sau đây:
- Bệnh Sjogren: Là một rối loạn tự miễn dẫn đến tổn thương các tuyến nước bọt, gây khô miệng và khô mắt.
- Tiểu đường: Bệnh tiểu đường có thể làm giảm tiết nước bọt, dẫn đến miệng bị khô.
- Ung thư: Các liệu pháp điều trị ung thư như xạ trị, hóa trị có thể gây tổn thương tuyến nước bọt. Điều trị ung thư có thể dẫn đến khô miệng.
- Hội chứng Parkinson: Bệnh này làm giảm khả năng tiết nước bọt, khiến miệng bị khô.
Ngoài ra, một số bệnh lý khác như suy giáp, suy thượng thận, HIV/AIDS cũng có thể gây ra tình trạng khô miệng.
1.5. Tổn thương do phẫu thuật ở vùng đầu cổ
Các ca phẫu thuật vùng đầu cổ, như phẫu thuật u tuyến nước bọt, cắt bỏ ung thư vùng đầu cổ, thường liên quan đến tổn thương các tuyến nước bọt. Điều này có thể dẫn đến giảm tiết nước bọt, gây ra tình trạng khô miệng.
Các phẫu thuật này có thể gây tổn thương trực tiếp đến các tuyến nước bọt, hoặc làm gián đoạn sự cung cấp máu và thần kinh đến các tuyến này. Do đó, dẫn đến suy giảm chức năng tiết nước bọt. Ngoài ra, các điều trị xạ trị vùng đầu cổ cũng có thể gây ra tổn thương tuyến nước bọt, dẫn đến khô miệng.

Các ca phẫu thuật vùng đầu cổ thường liên quan đến tổn thương các tuyến nước bọt
1.6. Miệng bị khô do sử dụng các chất kích thích
Một số chất kích thích như rượu, cà phê, thuốc lá có tác dụng ức chế hoạt động của tuyến nước bọt, gây giảm tiết nước bọt. Rượu khiến co thắt các tuyến nước bọt, dẫn đến giảm tiết nước bọt. Cà phê chứa caffeine, một chất kích thích gây co thắt các mạch máu, từ đó giảm lưu lượng máu đến các tuyến nước bọt, làm giảm tiết nước bọt. Sử dụng thường xuyên các chất kích thích này có thể gây ra tình trạng khô miệng kéo dài.
1.7. Miệng bị khô do tuổi già
Khi tuổi tác tăng lên, các tuyến nước bọt có xu hướng suy giảm chức năng, dẫn đến giảm tiết nước bọt. Đây là một trong những nguyên nhân phổ biến gây ra tình trạng khô miệng ở người cao tuổi. Khi tuổi đã cao, tuyến nước bọt sẽ thoái hóa và thu nhỏ dần, không thể hoạt động trơn tru như trước.
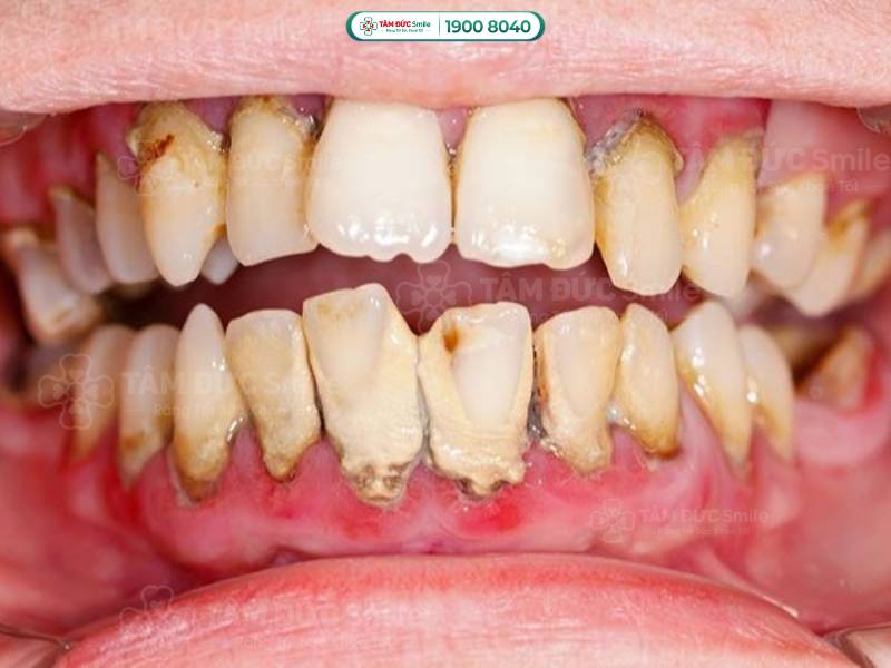
1.8. Các bệnh lý ở răng miệng
Một số bệnh lý ở vùng răng miệng như viêm lợi, viêm nha chu, sâu răng, miệng loét, có mủ... sẽ dẫn đến khô miệng. Các bệnh lý này có thể gây kích ứng và viêm nhiễm ở các tuyến nước bọt, ức chế hoạt động tiết nước bọt.

Một số bệnh lý ở vùng răng miệng như viêm lợi, viêm nha chu sẽ dẫn đến khô miệng
1.9 Thói quen há miệng khi ngủ
Một số người có thói quen há miệng khi ngủ, điều này có thể dẫn đến tình trạng khô miệng khi thức dậy. Khi miệng mở ra trong lúc ngủ, không khí sẽ lưu thông qua miệng, làm cho miệng bị khô.
Những người có thói quen há miệng khi ngủ sẽ cảm thấy miệng rất khô vào buổi sáng khi thức dậy. Tình trạng này có thể kéo dài trong vài giờ cho đến khi các tuyến nước bọt hoạt động trở lại và bắt đầu tiết nước bọt.
2. Phương pháp điều trị miệng bị khô
Miệng khô là một tình trạng rất phổ biến, ảnh hưởng đến chất lượng cuộc sống của nhiều người. Các phương pháp phổ biến để cải thiện tình trạng này bao gồm.
2.1. Điều trị triệt để các bệnh lý
Nếu bạn bị khô miệng do bệnh lý, bạn cần điều trị triệt để bệnh toàn thân cũng như bệnh răng miệng. Đối với các bệnh về răng miệng như sâu răng, viêm lợi, viêm nha chu… bạn cần điều trị càng sớm càng tốt để tránh lan ra xung quanh. Với một số bệnh toàn thân không chữa được (ví dụ như tiểu đường) bạn nên tuân thủ hướng dẫn của bác sĩ để giảm các triệu chứng của bệnh.

Nếu bạn bị khô miệng do bệnh lý, bạn cần tuân thủ hướng dẫn của bác sĩ
2.2. Uống nhiều nước chữa khô miệng
Việc không uống đủ nước sẽ làm mất cân bằng nước trong cơ thể, dẫn đến miệng bị khô. Bạn nên duy trì uống từ 1,5 tới 3 lít nước mỗi ngày tùy theo cân nặng, mức hoạt động của mình. Bên cạnh uống nước, bạn nên ăn các thực phẩm chứa nước như trái cây, canh, súp… đồng thời, uống nước thành các ngụm nhỏ, đều đặn trong ngày sẽ giúp giảm khô miệng tốt hơn.
2.3. Đổi sang loại thuốc khác
Nếu khô miệng là tác dụng phụ của một số loại thuốc mà bạn đang sử dụng, hãy thảo luận với bác sĩ về việc có thể chuyển sang sử dụng các loại thuốc khác ít gây ra tình trạng khô miệng hơn. Bác sĩ có thể sẽ lựa chọn các loại thuốc có ít tác dụng phụ về khô miệng hoặc điều chỉnh liều lượng để giảm thiểu vấn đề này.
2.4. Làm sạch răng miệng đúng cách
Vệ sinh răng miệng thường xuyên và đúng cách rất quan trọng để chăm sóc răng miệng. Răng miệng được vệ sinh kỳ lưỡng sẽ giảm nguy cơ sâu răng, viêm lợi và các bệnh lý răng miệng khác. Điều này gián tiếp giảm thiểu tình trạng khô miệng do bệnh lý về răng.
Bạn nên chải răng ít nhất 2 lần mỗi ngày, sử dụng kem đánh răng có chứa fluoride. Ngoài ra, bạn cũng có thể dùng chỉ nha khoa để làm sạch khe răng, và sử dụng nước súc miệng không cồn để giảm vi khuẩn gây viêm nhiễm.

Bạn nên dùng chỉ nha khoa để làm sạch khe răng
2.5. Xây dựng chế độ làm việc và nghỉ ngơi hợp lý
Công việc và lối sống quá căng thẳng, không nghỉ ngơi đầy đủ có thể làm trầm trọng thêm tình trạng khô miệng. Cụ thể, lối sống căng thẳng và bận rộn làm ảnh hưởng xấu đến sức khỏe và giấc ngủ của người bệnh. Những điều này gây ra chứng ngủ không sâu giấc, há miệng khi ngủ, gây ra một số bệnh lý toàn thân và trầm cảm. Sau khi sử dụng các loại thuốc an thần thuốc chống trầm cảm lại khiến cho chứng khô miệng trầm trọng hơn.
Vì vậy, hãy cố gắng xây dựng một chế độ làm việc và nghỉ ngơi hợp lý, đảm bảo có đủ thời gian nghỉ ngơi và giải tỏa căng thẳng.
2.6. Tăng cường bổ sung dưỡng chất giúp giảm khô miệng
Bổ sung đầy đủ các dưỡng chất thiết yếu như vitamin, các chất khoáng, protein... giúp cải thiện sức khỏe và giảm tình trạng khô miệng. Đặc biệt, vitamin A, vitamin C, vitamin E và các axit amin như lysine, proline… Các chất dinh dưỡng này có nhiều trong trứng, thịt, sữa, rau xanh thẫm và các loại hoa quả tươi. Đồng thời, lưu ý uống đủ nước để làm ẩm miệng, hạn chế khô miệng.

Bổ sung đầy đủ các dưỡng chất thiết yếu sẽ giảm tình trạng khô miệng
2.7. Tập thể thao lành mạnh
Tập luyện thể dục thể thao đều đặn có thể cải thiện tình trạng khô miệng. Các hoạt động thể chất giúp thúc đẩy tuần hoàn máu, từ đó nâng cao sức khỏe toàn thân, hạn chế nhiều căn bệnh. Đặc biệt, tập các môn thiền, yoga… giúp tinh thần thoải mái, ngủ ngon và sâu giấc, hạn chế há miệng khi ngủ.
3. Những ảnh hưởng khi miệng bị khô
Khi miệng bị khô, nó có thể gây ra nhiều ảnh hưởng tiêu cực đến sức khỏe và chất lượng cuộc sống của người bệnh, bao gồm:
-
Khó nuốt
Thiếu nước bọt sẽ làm cho việc nuốt thức ăn và uống nước trở nên khó khăn hơn. Điều này có thể dẫn đến các vấn đề như sặc, nghẹn, và đau nhói khi nuốt.
-
Hôi miệng, sâu răng
Nước bọt có tác dụng bảo vệ khoang miệng và răng khỏi các vi khuẩn gây bệnh. Khi thiếu nước bọt, miệng dễ bị vi khuẩn tấn công gây hôi miệng hơn. Đồng thời, dễ gây các tình trạng như sâu răng, viêm nướu…

Khi thiếu nước bọt, miệng dễ bị vi khuẩn tấn công gây hôi miệng hơn
-
Khó phát âm
Nước bọt làm ẩm và trơn tuột các cơ trong miệng, giúp việc phát âm trở nên dễ dàng hơn. Miệng khô có thể gây khó khăn trong việc nói chuyện và phát âm.
-
Giảm chất lượng cuộc sống
Các vấn đề trên có thể ảnh hưởng đáng kể đến khả năng ăn uống, nói chuyện của người bệnh, làm giảm chất lượng cuộc sống.
Do đó, việc điều trị sớm và hiệu quả tình trạng miệng khô là rất quan trọng để tránh các biến chứng và cải thiện chất lượng sống của người bệnh.
Miệng bị khô là bệnh gì? Khô miệng là bệnh do tuyến nước bọt không hoạt động hiệu quả, không đủ để làm ẩm miệng. Nguyên nhân thường gặp của khô miệng là do bệnh lý, tác dụng phụ của thuốc hay các thói quen xấu trong cuộc sống. Hiện tượng này sẽ gây khó chịu, khó khăn trong ăn uống và nói chuyện. Cần giải quyết triệt để bằng cách uống đủ nước, vệ sinh răng miệng, loại bỏ các thói quen xấu và điều trị dứt điểm các bệnh lý.
Ngay khi gặp các vấn đề về răng miệng, bạn đừng ngại liên hệ với Tâm Đức Smile để được bác sĩ thăm khám miễn phí bằng cách:
- Gọi đến Hotline 19008040 - 0329851079 (Có sử dụng Zalo/Viber).
- Điền thông tin và câu hỏi vào bảng bên dưới.


