MẤT RĂNG BAO LÂU THÌ BỊ TIÊU XƯƠNG HÀM? CÁC DẠNG TIÊU XƯƠNG HÀM VÀ CÁCH CHỮA
1. Mất răng bao lâu thì bị tiêu xương hàm?
Chân răng bám chắc vào xương hàm, và xương hàm có chức năng nâng đỡ, đảm bảo khả năng ăn nhai. Thông qua hoạt động ăn nhai, xương hàm sẽ nhận lực kích thích, giúp duy trì tế bào xương ổn định. Sau khi mất răng, xương hàm bị tiêu biến do vị trí đó không còn chịu lực nhai của răng.
Mất răng bao lâu thì bị tiêu xương hàm còn tùy thuộc vào cơ địa và tình trạng sức khoẻ của Quý khách. Dựa vào yếu tố này, quá trình tiêu xương hàm có thể diễn ra nhanh hoặc chậm, nhiều hoặc ít.
- Nếu Quý khách có sức khoẻ bình thường, sau khi mất răng 3 tháng thì mật độ xương hàm sẽ bắt đầu giảm sút.
- Trong vòng 12 tháng tiếp theo, xương hàm của Quý khách sẽ tiêu biến 25%.
- Sau khi mất răng 3 năm, tỷ lệ xương hàm tiêu biến là 45%-60%.
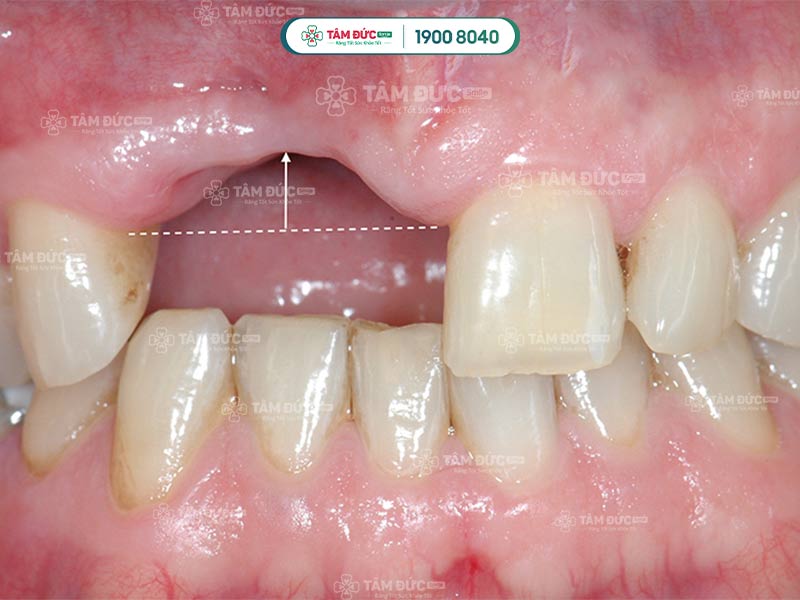
.jpg)
Tiêu xương hàm bắt đầu diễn ra vào tháng thứ 3 kể từ khi Quý khách bị mất răng
1.1. Vì sao mất răng thì gây tiêu xương hàm?
Đây là nguyên nhân phổ biến nhất gây ra tình trạng tiêu xương hàm. Sau khi răng vĩnh viễn mất đi, trên hàm răng sẽ có 1 khoảng trống. Xương hàm tự nhiên phát triển và ổn định nhờ vào lực ăn nhai, nên sau khi mất răng vĩnh viễn, lực tác động sẽ không còn. Vị trí xương hàm mất răng không còn chịu lực nhai, sẽ dần tiêu biến theo thời gian.
Ngoài ra, bệnh lý viêm nha chu cũng có thể làm cho xương hàm tiêu biến. Viêm nha chu là bệnh lý có thể làm tụt nướu, hở chân răng, tiêu huỷ xương và dây chằng quanh chân răng. Nếu không kịp thời điều trị, xương hàm sẽ dần tiêu biến, làm cho răng không còn chỗ dựa.
1.2. Những dạng tiêu xương hàm thường thấy
Sau khi mất răng, Quý khách có thể gặp phải 1 trong các dạng tiêu xương hàm sau đây:
- Xương hàm tiêu biến theo chiều ngang.
- Xương hàm tiêu biến theo chiều dọc.
- Xương hàm tiêu biến ở khu vực xoang.
- Xương hàm tiêu biến ở toàn bộ khuôn mặt.
- Xương hàm hạ thấp do mất nhiều răng.
1.2.1 Xương hàm tiêu biến theo chiều ngang
Dạng tiêu xương này xảy ra khi độ rộng của xương hàm bị thu hẹp, vùng xương lận cận bị giãn ra. Khoảng trống xương răng tiêu biến bị xâm lấn, làm cho các răng trên cung hàm bị xô lệch. Tình trạng này gây ảnh hưởng thẩm mỹ hàm răng và sự tự tin của Quý khách.
1.2.2. Xương hàm tiêu biến theo chiều dọc
Xương hàm tiêu biến theo chiều dọc là tình trạng xương hàm tại vị trí mất răng bị lõm xuống, trũng sâu hơn. Vùng nướu tại vị trí bị tiêu xương hàm sẽ bị teo nhỏ theo thời gian.

Tiêu xương răng theo chiều dọc
1.2.3. Xương hàm tiêu biến ở khu vực xoang
Là tình trạng thường xảy ra khi Quý khách bị mất răng vĩnh viễn ở hàm trên. Theo đó, các đỉnh xoang tràn xuống và tăng độ rộng theo thời gian. Vấn đề ngày càng nghiêm trọng hơn nếu Quý khách không phục hình răng sớm.
1.2.4. Xương hàm tiêu biến ở toàn bộ khuôn mặt
Tình trạng tiêu xương hàm này thường xảy ra khi Quý khách bị mất nhiều răng cùng lúc ở cả hàm trên và dưới. Các biểu hiện ở trường hợp này thường dễ nhận biết hơn, vì khuôn mặt của Quý khách sẽ có nhiều thay đổi rõ rệt.
1.2.5. Xương hàm bị hạ thấp khi mất nhiều răng
Nếu tiêu xương hàm không được khắc phục kịp thời sẽ dẫn đến tình trạng này. Theo thời gian, các dây thần kinh nằm sâu bên dưới xương hàm sẽ bị ảnh hưởng, gây khó khăn cho quá trình phục hồi về sau.
2. Hậu quả khôn lường khi bị tiêu xương hàm
Ở giai đoạn đầu, tiêu xương hàm không có biểu hiện cụ thể nên nhiều Quý khách thường chủ quan. Thực tế, tiêu xương hàm rất nguy hiểm vì dẫn đến nhiều hệ luỵ.
2.1. Sức khỏe giảm sút
Khi xương hàm tiêu biến, chiều rộng và chiều cao của thành xương bị giảm, không còn khả năng nâng đỡ nướu. Vì vậy, nướu bị tụt và bờ nướu mỏng dần. Đây là cơ hội để vi khuẩn tấn công mạnh mẽ hơn, gây đau đầu, làm sức khỏe của Quý khách bị suy giảm.
2.2. Nhai thức ăn khó khăn
Tiêu xương hàm làm cho xương hàm bị hạ thấp, các răng trên cung hàm có xu hướng nghiêng về vị trí bị mất răng. Theo thời gian, hàm răng dần xô lệch, làm Quý khách gặp khó khăn khi ăn uống.
2.3. Điều trị khó khăn
Thời gian mất răng càng lâu, tiêu xương hàm càng nghiêm trọng. Sự giảm sút chất lượng và tỷ lệ xương hàm làm ảnh hưởng quá trình phục hình răng trong tương lai. Ngoài ra, điều trị tiêu xương hàm quá trễ còn tốn kém chi phí, thậm chí không thể điều trị. Do đó, sau khi mất răng, Quý khách cần trồng răng càng sớm càng tốt.
2.4. Ảnh hưởng thẩm mỹ
Khi xương hàm tiêu biến ở mức 60%, toàn bộ dây chằng và cơ mặt của Quý khách sẽ bị hóp vào trong. Theo đó, các dấu hiệu lão hoá cũng rõ ràng hơn, làm cho Quý khách trông già hơn so với tuổi thật.

Tiêu xương hàm làm tăng nguy cơ mất răng kế cận
3. Trồng răng Implant - Giải pháp khắc phục tiêu xương hàm hiệu quả
Trồng răng Implant là giải pháp duy nhất có thể giúp Quý khách khắc phục tình trạng tiêu xương hàm. Đây là phương pháp phục hình răng hiện đại, được xem là bước tiến vượt bậc trong kỹ thuật ngành nha.
Trồng răng Implant sẽ thay thế chân răng thật đã mất bằng trụ Titanium nguyên chất. Kỹ thuật này mang đến cho Quý khách chiếc răng toàn diện về cấu trúc cho đến hình dáng. Nhờ duy trì lực nhai lên xương hàm, trồng răng Implant có thể ngăn chặn tiêu biến xương hàm và một số hậu quả khác.
Ngoài ra, trồng răng Implant còn là kỹ thuật mang tính chất độc lập, chỉ tác động vào vị trí mất răng. Nhờ đó, các răng còn lại của Quý khách không bị xô lệch mà sẽ được giữ cố định như trước. Trụ Implant tồn tại như 1 phần của cơ thể, giúp Quý khách ăn nhai như răng thật, cải thiện đáng kể sự tự tin trong giao tiếp. Trồng răng Implant được Quý khách ưa chuộng vì có tuổi thọ sử dụng cao, tối thiểu 20 năm, tối đa lên đến vĩnh viễn.
>>> Xem thêm:
Trụ Implant cổ vàng tốt nhất thế giới - hiệu quả sử dụng trọn đời
Video quy trình trồng răng Implant tại nha khoa Tâm Đức Smile
Bài viết vừa rồi đã giúp Quý khách giải đáp thắc mắc “Mất răng bao lâu thì bị tiêu xương hàm?”, đồng thời cũng gợi ý cách khắc phục tối ưu. Để bảo vệ sức khỏe và thẩm mỹ trên khuôn mặt, Quý khách cần trồng răng đã mất càng sớm càng tốt. Trồng răng Implant là kỹ thuật khó, cần được thực hiện tại nha khoa uy tín để đảm bảo an toàn. Để biết thêm thông tin chi tiết về răng Implant, Quý khách hãy liên hệ với Tâm Đức Smile và trao đổi trực tiếp cùng bác sĩ qua Hotline 1900 8040 - 0329 851 079 (Có sử dụng Zalo/Viber).


