KHỚP CẮN SÂU LÀ GÌ? ẢNH HƯỞNG VÀ CÁCH CHỮA TRỊ KHỚP CẮN SÂU
1. Khớp cắn sâu là gì?
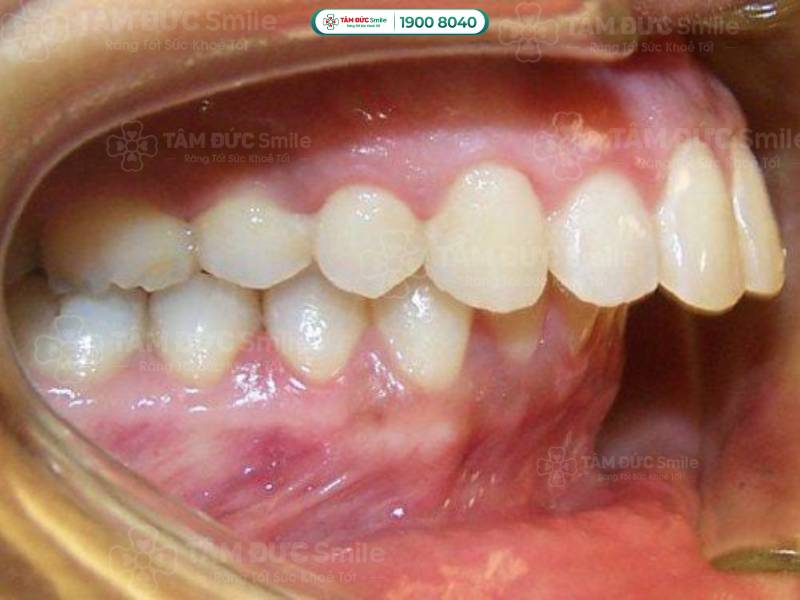
Khớp cắn sâu là tình trạng sai lệch cấu trúc răng và xương hàm. Khi đó, hàm dưới bị lệch về phía sau so với hàm trên và bị hàm trên che khuất.
1.1. Mô tả tình trạng khớp cắn sâu
Khớp cắn sâu có những đặc điểm sau:
- Hàm dưới bị lệch về phía sau so với hàm trên, hình thành một khoảng cách giữa răng trên và răng dưới.
- Răng hàm dưới bị răng hàm trên che khuất. Răng hàm dưới có thể chạm vào phần nướu trong của răng hàm trên.
- Người mắc phải sẽ gặp khó khăn khi ăn, nhai do lệch vị trí của hàm. Đồng thời dễ bị đau khớp thái dương, tăng nguy cơ sâu răng và bệnh nướu.
- Dáng mặt không hài hòa, lộ nhiều răng cửa trên, đôi khi không nhìn thấy răng cửa dưới.
- Trường hợp nặng, răng hàm trên chìa ra nhiều làm răng bị hô.

Khớp cắn sâu là tình trạng hàm dưới bị lệch về phía sau so với hàm trên và bị hàm trên che khuất
Nếu không điều trị kịp thời, khớp cắn sâu sẽ gây ra nhiều vấn đề về sức khỏe, chức năng và thẩm mỹ. Do đó, hiện tượng này ảnh hưởng lớn đến chất lượng cuộc sống của bạn.
1.2. Nguyên nhân gây ra khớp cắn sâu
Nguyên nhân chính gây ra hiện tượng khớp cắn sâu là gì? Đó là do răng hàm dưới mọc cụp vào trong hoặc răng hàm trên quá to dài, răng hàm dưới ngắn và nhỏ. Những nguyên nhân của hiện tượng này là:
- Yếu tố di truyền: Cấu trúc xương hàm và răng được di truyền trong gia đình. Nếu người trong gia đình bạn bị lệch khớp cắn, khớp cắn sâu thì bạn cũng có khả năng mắc phải.
- Thói quen xấu từ nhỏ: Những thói quen như ngậm ngón tay, ngậm vật cứng, nghiến răng,... làm ảnh hưởng đến sự phát triển của xương hàm.
- Mất răng sớm: Mất răng sớm, đặc biệt là những răng ở vị trí then chốt, có thể làm lệch vị trí các răng còn lại.
- Chấn thương: Các chấn thương vùng hàm mặt, đặc biệt ở giai đoạn phát triển của trẻ, cũng có thể dẫn đến khớp cắn sâu.
- Các bệnh lý: Một số bệnh lý như hở hàm ếch, mọc răng quá sớm hoặc quá muộn cũng gây ra khớp cắn sâu.
- Thói quen nuôi dưỡng không đúng cách: Các thói quen như bú bình, sử dụng núm vú giả kéo dài, ăn đồ cứng ở độ tuổi nhỏ,... sẽ ảnh hưởng đến sự phát triển của xương hàm.
Nhận biết và điều trị sớm các nguyên nhân gây khớp cắn sâu sẽ giúp ngăn ngừa hoặc giảm thiểu các biến chứng liên quan.
2. Những ảnh hưởng do khớp cắn sâu gây ra
Khớp cắn sâu gây ra nhiều ảnh hưởng về sức khỏe và thẩm mỹ của bạn. Một số ảnh hưởng đáng kể như:
-
Ảnh hưởng thẩm mỹ
Dáng mặt bạn không hài hòa, khuôn mặt bị lệch mất thẩm mỹ. Răng trước gần như biến mất, gây mất cân đối khuôn miệng. Bạn bị mất tự tin trong khi cười và giao tiếp.
-
Ảnh hưởng chức năng
Bạn sẽ gặp khó khăn trong ăn nhai vì hàm răng không khớp nhau, cũng khó phát âm do lệch vị trí răng. Đặc biệt, bạn khó phát âm các âm “s” hay “t”.

Khớp cắn sâu gây ra nhiều ảnh hưởng về sức khỏe và thẩm mỹ
-
Ảnh hưởng đến sức khỏe
Ảnh hưởng tới sức khỏe của khớp cắn sâu là gì, đó là:
-
Bạn sẽ tăng nguy cơ sâu răng, viêm nướu, viêm nha chu,... do khó vệ sinh răng miệng.
-
Vấn đề tiêu hóa của bạn cũng gặp ảnh hưởng do khó ăn nhai. Răng hàm dưới va chạm nhiều tới nướu gây sưng đau, dễ tổn thương và viêm nướu.
-
Khớp cắn sâu làm tăng nguy cơ rối loạn khớp thái dương hàm trong tương lai.
Vì vậy, phát hiện và điều chỉnh khớp cắn sâu giúp ngăn ngừa các tác động tiêu cực và cải thiện chất lượng cuộc sống của bạn.
3. Phương pháp chữa trị khớp cắn sâu hiệu quả tại nha khoa Tâm Đức Smile
Tâm Đức Smile chữa trị khớp cắn sâu hiệu quả bằng phương pháp niềng răng sau đó sử dụng khay duy trì. Bạn sẽ được thăm khám, tư vấn kỹ lưỡng để lựa chọn phương pháp điều trị phù hợp.
3.1. Niềng răng mắc cài chữa khớp cắn sâu
Niềng răng mắc cài là một trong những phương pháp điều trị khớp cắn sâu hiệu quả và an toàn. Đây là quá trình sử dụng các mắc cài, dây cung để từng bước di chuyển răng vào vị trí chính xác, cải thiện khớp cắn.

Niềng răng mắc cài là một trong những phương pháp điều trị khớp cắn sâu hiệu quả và an toàn
Quy trình niềng răng mắc cài để chữa khớp cắn sâu tại Tâm Đức Smile như sau:
-
Bước 1. Đánh giá tình trạng
Bác sĩ sẽ khám và chụp phim X-quang để đánh giá mức độ nghiêm trọng của khớp cắn sâu. Từ đó bác sĩ sẽ tư vấn cho khách hàng quy trình chữa trị.
-
Bước 2. Gắn mắc cài và dây cung
Bác sĩ sẽ gắn mắc cài lên bề mặt các răng, móc dây cung vào các mắc cài để tạo lực di chuyển răng.
-
Bước 3. Theo dõi và điều chỉnh
Theo lịch hẹn, bác sĩ sẽ thay đổi lực siết, kích cỡ dây cung để từng bước di chuyển răng vào đúng vị trí. Quá trình này có thể kéo dài từ 12-24 tháng tuỳ mức độ răng lệch nặng hay nhẹ.
-
Bước 4. Duy trì và hoàn thiện
Khi hàm răng chuẩn như mong muốn, bác sĩ sẽ tháo mắc cài và tiếp tục chỉ định đeo khay duy trì sau niềng. Niềng răng mắc cài hiện đang là phương pháp phổ biến và hiệu quả để điều trị khớp cắn sâu.
3.2. Niềng răng trong suốt Invisalign chữa khớp cắn sâu
Invisalign là tên gọi của một loại niềng răng trong suốt hiện đại và được sử dụng để điều trị các trường hợp khớp cắn sâu. Ưu điểm của Invisalign là tính thẩm mỹ cao vì khay niềng trong suốt không làm ảnh hưởng đến ngoại hình. Đồng thời, khay niềng tháo lắp dễ dàng, giúp vệ sinh răng và ăn uống thuận tiện hơn so với niềng răng mắc cài.
Quy trình điều trị khớp cắn sâu bằng niềng răng Invisalign tương tự với niềng răng mắc cài. Tuy nhiên, bạn cần đeo niềng thường xuyên và vệ sinh khay niềng đúng cách. Thời gian điều trị khớp cắn sâu bằng Invisalign thường kéo dài từ 12 -18 tháng, tùy theo trường hợp.

Ưu điểm của Invisalign là tính thẩm mỹ cao
3.3. Duy trì khớp cắn đúng chuẩn bằng khay
Sau khi hoàn thành quá trình niềng răng để điều trị khớp cắn sâu, duy trì kết quả bằng cách sử dụng khay duy trì là rất quan trọng. Dưới đây là một số thông tin về việc duy trì khớp cắn đúng chuẩn bằng khay sau khi niềng răng.
3.3.1. Vai trò của khay duy trì
- Khay duy trì giữ cho răng ở vị trí mong muốn sau khi niềng xong, ngăn ngừa tình trạng răng bị di chuyển, xô lệch trở lại.
- Sử dụng khay duy trì là cần thiết để duy trì kết quả điều trị niềng răng trong thời gian dài.
3.3.2. Thời gian sử dụng khay duy trì
- Thông thường, bác sĩ sẽ yêu cầu bạn sử dụng khay duy trì liên tục trong 6 - 12 tháng sau khi niềng xong.
- Sau thời gian này, có thể chuyển sang sử dụng khay duy trì ban đêm hoặc vài ngày/tuần.
3.3.3. Bảo quản khay duy trì
- Bạn cần vệ sinh khay duy trì sạch sẽ bằng nước ấm và bàn chải, tránh làm hư hỏng khay.
- Đeo khay đúng thời gian theo hướng dẫn của bác sĩ là rất quan trọng để duy trì kết quả.
Sử dụng khay duy trì sau niềng răng giúp bảo vệ kết quả điều trị của bạn. Hãy tuân theo lời khuyên của bác sĩ để có được nụ cười đẹp và khớp cắn ổn định lâu dài.
Khớp cắn sâu là gì? Khớp cắn sâu là tình trạng lệch khớp cắn, răng hàm dưới thụt vào, bị che khuất bởi răng hàm trên. Hiện tượng này ảnh hưởng đến thẩm mỹ, tăng nguy cơ sâu răng, viêm lợi, rối loạn khớp thái dương hàm… Bạn có thể chữa khớp cắn sâu bằng cách niềng răng, mang lại hiệu quả cao và rất an toàn cho sức khỏe. Hãy liên hệ với nha khoa Tâm Đức Smile qua hotline 19008040 để được tư vấn kỹ lưỡng.
Quý khách cần niềng răng để cải thiện tình trạng răng lệch lạc hãy liên hệ với Tâm Đức Smile bằng cách:
- Gọi đến Hotline 19008040 - 0329851079 (Có sử dụng Zalo/Viber).
- Điền thông tin vào bảng sau đây.


