KHỚP CẮN HỞ LÀ GÌ? NIỀNG RĂNG KHỚP CẮN HỞ MẤT BAO LÂU
1. Khớp cắn hở là gì?
Một dạng sai lệch khớp cắn có thể gặp ở nhiều người là khớp cắn hở. Cắn hở không chỉ làm mất thẩm mỹ gương mặt mà còn tác động xấu tới ăn nhai, rủi ro mắc bệnh lý cao hơn.
1.1. Định nghĩa về khớp cắn hở
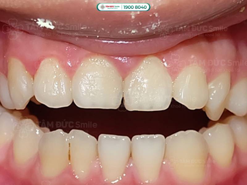
Sai lệch khớp cắn chia làm 4 loại: Khớp cắn sâu, khớp cắn ngược, khớp cắn chéo và khớp cắn hở. Bạn nhận biết khớp cắn hở bằng cách nhìn nhóm răng cửa, răng nanh hàm trên và dưới không khít nhau, có khoảng trống. Khi ở trạng thái nghỉ hoặc cười, bạn thấy một phần lưỡi lộ ra ngoài.
Các răng tiền hàm và răng hàm bị hở, không chạm vào nhau khi ở trạng thái bình thường cũng là một kiểu khớp cắn hở. Một số người bị khớp cắn hở nặng, biến dạng thành hàm hô sẽ rất khó điều trị và tốn kém chi phí.

Khớp cắn hở là giữa nhóm răng cửa, răng nanh hàm trên và dưới có khoảng trống
1.2. Nguyên nhân dẫn đến khớp cắn hở
Sau khi biết được khớp cắn hở là gì, bạn cần xác định nguyên nhân gây ra khớp cắn hở để có hướng điều trị phù hợp. Bác sĩ đã phân loại nguyên nhân làm hở khớp cắn thành 3 nhóm chính, gồm có:
- Yếu tố bẩm sinh: Di truyền là nguyên nhân gây ra lệch khớp cắn, chiếm tỷ lệ 60-70%. Con cái có nguy cơ cao bị cắn hở nếu cha mẹ cũng bị lệch khớp cắn. Một số dị tật khe hở môi bẩm sinh như sứt môi,... cũng làm trẻ bị khớp cắn hở.
- Thói quen xấu: Mút tay, dùng răng đẩy lưỡi, cắn bút, ngậm ti giả thường xuyên,... tác động tới kết cấu răng và khung xương hàm. Thói quen này tiềm ẩn rủi ro làm trẻ bị khớp cắn hở, răng mọc lệch khi thay răng sữa rất cao.
- Chấn thương, bệnh lý: Mất răng có thể do sâu răng, viêm nha chu, va chạm, tai nạn,... Nếu không trồng răng kịp thời, các răng có xu hướng nghiêng về chỗ trống, làm xô lệch răng còn lại. Từ đó dẫn tới răng mọc lệch, lệch khớp cắn.
1.3. Ảnh hưởng của khớp cắn hở
Người bị khớp cắn hở thường ngại giao tiếp, hạn chế tiếp xúc và cười trước đám đông. Điều này làm cho chất lượng đời sống của bạn bị giảm sút.
1.3.1. Khớp cắn hở gây mất tự tin trong giao tiếp
Nụ cười có ý nghĩa vô cùng quan trọng đối với đời sống tinh thần và sức khỏe. Nụ cười tạo ra sự thân thiện, gần gũi, gắn kết mọi người, giúp các mối quan hệ tốt lên, giảm stress, giảm căng thẳng,...
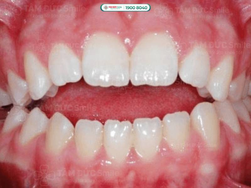
Khi bị khớp cắn hở, 2 hàm răng không chạm nhau làm gương mặt mất cân đối, mặt gãy hoặc hàm hô, làm cho nụ cười không đẹp. Dần dần, bạn mất tự tin khi cười, sợ mọi người đánh giá và chê bai vì có hàm răng xấu.
Khớp cắn hở làm bạn tự ti, ảnh hưởng trực tiếp tới khả năng giao tiếp. Giao tiếp kém làm mất đi nhiều cơ hội của bạn trong công việc và các mối quan hệ bạn bè, đồng nghiệp.

Khi bị khớp cắn hở, 2 hàm răng không chạm nhau làm gương mặt mất cân đối
1.3.2. Khớp cắn hở ảnh hưởng đến quá trình nhai thức ăn
Chức năng của răng là cắn xé và nghiền nhỏ thức ăn, là bộ phận hỗ trợ đắc lực cho cơ quan tiêu hóa. Khi 2 hàm răng không chạm nhau, khả năng ăn nhai của hàm răng sẽ suy giảm. Thức ăn không được nghiền nát, tạo áp lực co bóp lớn lên dạ dày, làm hệ tiêu hóa quá tải. Đó là nguyên nhân gây ra các bệnh về đường ruột, viêm dạ dày.
1.3.3. Khớp cắn hở làm sức khỏe răng miệng xuống cấp
Theo đánh giá của bác sĩ, người bị khớp cắn hở thường dễ mắc các bệnh lý như viêm nướu, nhiễm trùng,... Các cơn đau nhói thường xuyên diễn ra: Đau vùng khớp thái dương hàm, đau xung quanh chân răng do cấu trúc răng, hàm lệch hở.
Khớp cắn hở kết hợp với răng mọc khấp khểnh, chen chúc làm bạn khó vệ sinh răng miệng. Các mảng bám thức ăn ở các ngóc ngách nhỏ nếu không được làm sạch sẽ tạo điều kiện để vi khuẩn tích tụ, phát triển. Vi khuẩn xâm nhập vào từng lớp men răng, ngà răng, tủy răng,... là nguyên nhân hình thành các bệnh lý răng miệng. Thậm chí, chân răng của bạn có thể bị hao mòn, lung lay và cần nhổ bỏ răng.
2. Niềng răng khớp cắn hở mất bao lâu?
Hiện tại, niềng răng đang là phương pháp khắc phục khớp cắn hở phổ biến và được nhiều người lựa chọn. Niềng răng có giá cả phải chăng, phù hợp với mọi đối tượng.

Niềng răng là phương pháp khắc phục khớp cắn hở phổ biến hiện nay
2.1. Thời gian niềng răng khớp cắn hở tuỳ vào phương pháp niềng
Thời gian chỉnh nha ngắn hay dài phụ thuộc vào loại niềng răng truyền thống (mắc cài) hoặc niềng răng Invisalign. Cụ thể như sau:
- Niềng răng mắc cài: Thời gian niềng răng mắc cài dao động từ 12-24 tháng. Đối với những trường hợp răng mọc lệch, hô móm, khớp cắn hở nặng, thì thời gian niềng lâu hơn, kéo dài 24-48 tháng. Bạn có thể tham khảo niềng răng mắc cài kim loại, mắc cài tự buộc, mắc cài sứ,... tại nha khoa.
- Niềng răng Invisalign: Thời gian niềng răng trong suốt dao động từ 5 tháng và tối đa 5 năm. Người niềng cần sử dụng các khay niềng trong suốt, ôm sát chân răng, tạo lực dịch chuyển răng từ từ.
2.2. Tay nghề của bác sĩ ảnh hưởng đến thời gian niềng răng
Uy tín của nha khoa, chuyên môn của bác sĩ là yếu tố quyết định thời gian niềng răng của bạn. Bạn có thể tìm hiểu chuyên môn bác sĩ thông qua đánh giá của khách hàng hoặc trên các trang truyền thông.
Nha khoa có trang thiết bị hiện đại, bác sĩ tay nghề giỏi sẽ chẩn đoán chính xác mức độ khớp cắn hở. Từ đó, bác sĩ đưa ra kế hoạch điều trị, phương pháp và gói niềng răng phù hợp.
Bác sĩ có tay nghề tốt còn giúp bạn cảm thấy thoải mái khi niềng răng, xử lý nhẹ nhàng và không gây đau. Với sự tận tình của bác sĩ, quá trình bạn niềng răng sẽ diễn ra suôn sẻ.

Trong thời gian niềng răng, bạn cần tái khám 2 tuần 1 lần
2.3. Cách chăm sóc của bạn có thể rút ngắn thời gian đeo niềng
Trong thời gian niềng răng, bạn cần chăm sóc và giữ răng miệng sạch sẽ để rút ngắn thời gian hoàn thành. Các cách giúp vệ sinh răng đúng cách là:
- Đánh răng hằng ngày: 1 ngày bạn cần đánh răng 2 lần vào buổi sáng và buổi tối. Những bạn niềng răng nên sử dụng kết hợp máy tăm nước, chỉ nha khoa để tăng hiệu quả làm sạch.
- Ăn thức ăn mềm: Niềng răng sẽ làm bạn ăn nhai khó khăn nên thức ăn cần được xé nhỏ hoặc hầm nhừ, giúp bạn nhai dễ dàng và tiêu hóa tốt.
- Hạn chế dùng chất kích thích: Các chất kích thích trà, cafe, thuốc lá,... có tính ăn mòn cao, trực tiếp phá hủy lớp men răng, tăng nguy cơ mắc bệnh về răng. Nếu răng lợi bị viêm, nhiễm trùng sẽ cần mất thêm thời gian chữa trị, ảnh hưởng xấu tới các răng còn lại. Thời gian niềng răng cũng vì vậy mà kéo dài, nên bạn cần hạn chế dùng chất kích thích trên.
- Tái khám theo lịch định kỳ: Khám răng định kỳ giúp bác sĩ sớm phát hiện các vấn đề sâu răng, viêm nhiễm để xử lý kịp thời. Trong thời gian niềng răng, bạn cần khám 2 tuần 1 lần. Tần suất khám giảm dần khi răng có tiến triển tốt. Giai đoạn sau khi niềng xong, bạn nên khám định kỳ 3-6 tháng/1 lần.
Bài viết này đã giúp bạn hiểu rõ khớp cắn hở là gì và đưa ra cách điều trị hiệu quả. Bạn hãy lựa chọn nha khoa uy tín, có thương hiệu để đảm bảo hiệu quả niềng răng tốt nhất.


