KHOANG MIỆNG: CẤU TẠO VÀ CÁC BỘ PHẬN QUAN TRỌNG
1. Khoang miệng gồm những bộ phận nào
Khoang miệng là một bộ phận trên khuôn mặt đảm nhiệm vai trò mở đầu quá trình tiêu hóa thức ăn. Vậy khoang miệng gồm những bộ phận nào?
1.1. Môi
- Môi hình thành từ các sợi cơ linh hoạt, mô tuyến và dây thần kinh. Bên ngoài môi được bao phủ bởi da và bên trong là lớp mô niêm mạc.
- Môi trên và môi dưới nối với nhau bởi hai bên góc miệng. Tại đây, một nếp gấp mỏng được gọi là khóe miệng (khóe mép) thường hiện rõ khi Quý khách cười.
- Vành môi là nơi ngăn cách giữa phần da bên ngoài với lớp niêm mạc miệng. Chúng thường có màu đỏ.
- Ở trung tâm của vành môi trên, có một phần lồi lên được gọi là củ môi.
- Từ củ môi, có một rãnh nhỏ và rộng kéo dài từ vành môi đến phần dưới của mũi, được gọi là nhân trung.
- Ở vị trí trung tâm của vành môi dưới có một rãnh nhỏ và mờ được gọi là rãnh môi cằm.

Môi là một trong các bộ phận của khoang miệng
1.2. Má
- Vùng má được bao phủ bên phía ngoài là lớp da mỏng, bên trong là niêm mạc má. Nhìn từ trong khoang miệng, vùng niêm mạc má có bề mặt mịn, màu hồng nhạt.
- Vùng niêm mạc má ở phía trước tiếp nối với phần niêm mạc môi. Vùng niêm mạc má phía sau tiếp nối với vùng xương ổ răng, tạo thành đáy hành lang miệng. Đây là nơi giao nhau với cuống họng.

Niêm mạc bên trong má
1.3. Đáy hành lang
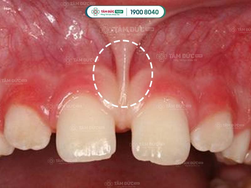
Nằm giữa hàm răng trên và hàm răng dưới là nếp gấp của niêm mạc - nơi tiếp giáp với vùng niêm mạc giữa xương ổ răng và môi. Nếp gấp này khá mỏng và có hình dạng giống lưỡi liềm, thường được gọi là thắng môi. Thắng môi ở phía trên dày và to hơn so với thắng môi ở phía dưới.
Hai bên của răng nanh cũng xuất hiện các nếp gấp tương tự được gọi là thắng bên. Thắng bên ở hàm dưới dày và to hơn so với thắng bên ở hàm trên.

Thắng môi trên
1.4. Vòm miệng
Vòm miệng hay còn gọi là khẩu cái có hình dạng như một vòm cung. Khẩu cái được bao phủ bởi một lớp niêm mạc bao gồm các phần như sau.
1.4.1. Phần cứng của vòm miệng
- Phần cứng của khẩu cái là một tấm ngang được tạo thành từ xương có độ dày lớn, màu hồng nhạt.
- Phía sau của hai chiếc răng cửa giữa, có một đốt thịt nhô lên được gọi là gai cửa (hay gai khẩu).
- Từ gai cửa, có một nếp gấp niêm mạc hẹp và thấp chạy dọc ra phía sau được gọi là đường đan giữa khẩu cái.
- Khi quan sát kỹ, Quý khách sẽ thấy niêm mạc khẩu cái có các lỗ nhỏ giống như bọt nước. Đó chính là các lỗ tạo ra để các ống dẫn nước bọt của khẩu cái đưa nước bọt vào trong khoang miệng.
1.4.2. Phần mềm của vòm miệng hay màng khẩu cái
- Niêm mạc khẩu cái mềm có cấu trúc mỏng và mịn, màu đỏ đậm, nằm tiếp giáp với vòm cứng.
- Bờ tự do của niêm mạc giữa khẩu cái tạo thành hình dạng giống lưỡi gà và hai bên chẻ đôi tạo nên hai trụ hầu. Trụ phía trước được gọi là cung khẩu lưỡi và trụ phía sau được gọi là cung khẩu hầu.
- Giữa hai trụ có một mốc hình tam giác chứa hạch hạnh nhân.
- Khu vực giữa màng hầu và hai trụ hầu hình thành một khe hẹp được gọi là eo hầu. Nhờ eo hầu này mà khoang miệng được nối thông với phần họng.

Vòm họng
1.5. Răng, niêm mạc nướu và xương ổ
1.5.1. Răng
- Mỗi chiếc răng được bảo vệ bên trong xương ổ răng và được gắn chặt bằng dây chằng nha chu.
- Cấu trúc của một chiếc răng từ trên xuống dưới được chia thành ba phần: phần trên (vành răng), cổ răng và phần dưới (chân răng).
- Chi tiết cấu trúc của mỗi chiếc răng bao gồm ba lớp riêng biệt: men răng, ngà răng và tủy răng.
- Trong suốt cuộc đời, mỗi người sẽ có hai lần mọc răng: lần đầu là khi mọc răng sữa và lần cuối là khi mọc răng trưởng thành vĩnh viễn.
- Hệ răng sữa hoàn chỉnh có 20 chiếc răng, phân bố đều ở cả hai hàm trên và dưới. Bao gồm 8 chiếc răng cửa, 4 chiếc răng nanh và 8 chiếc răng hàm.
- Số lượng răng vĩnh viễn ở người trưởng thành tính cả răng khôn là 32 chiếc răng và cũng được chia đều ở cả hai hàm. Bao gồm 8 chiếc răng cửa, 4 chiếc răng nanh, 8 chiếc răng tiền hàm và 12 chiếc răng hàm.

Răng giữ vai trò nhai và nghiền thức ăn
1.5.2. Nướu (lợi)
- Nướu là một phần của niêm mạc miệng, bao phủ xương ổ răng và bao xung quanh cổ răng.
- Nướu gồm hai vùng: vùng ngoài (nướu viền) và vùng trong (nướu dính).
1.5.3. Niêm mạc xương ổ răng
Niêm mạc xương ổ răng khá mỏng, mịn và có màu đỏ sậm. Niêm mạc này ôm sát theo các lõi chân răng trên bề mặt xương ổ răng.

Xương ổ răng
1.6. Lưỡi
Lưỡi là một khối cơ linh hoạt màu hồng nhạt, được bao phủ bởi một lớp niêm mạc có bề mặt sần sùi. Bề mặt trên của lưỡi được ngăn cách bởi một hàng gai vị giác gồm 8 đến 9 gai hình chữ V, hướng vào phía trong.
Phía trước của lưng lưỡi có 3 gai vị giác, bao gồm:
- Gai chỉ: Nhỏ, mỏng và giống như sợi chỉ màu trắng.
- Gai nấm: Có hình dạng tròn, màu đỏ tươi và nằm xen kẽ với gai chỉ.
- Gai lá: Nằm ở hai bên cạnh lưng lưỡi phía sau, tạo ra các nếp gấp không đều và song song với nhau.
Niêm mạc của lưỡi chứa nhiều lympho (hay amidan lưỡi). Mặt dưới của lưỡi được bao phủ bởi một lớp niêm mạc mỏng.

Lưỡi là một trong những bộ phận của khoang miệng
ĐẶT HẸN NGAY HÔM NAY ĐỂ ĐƯỢC:
► Khám và tư vấn miễn phí
► Miễn phí chụp film cùng với máy Conebeam CT trị giá 700K
► Miễn phí quét mẫu hàm công nghệ ITERO trị giá 3 triệu
► Hỗ trợ trả góp 0% lãi suất
1.7. Tuyến nước bọt
Khoang miệng sản xuất từ 0,5 – 1,5 lít nước bọt mỗi ngày. Thành phần của nước bọt chủ yếu chứa các enzym có chức năng quan trọng trong việc giữ ẩm khoang miệng, tiêu hóa, tạo điều kiện nuốt thức ăn dễ dàng hơn.
Tuyến nước bọt được phân loại thành: tuyến dưới lưỡi, tuyến dưới hàm và tuyến mang tai.
1.7.1. Tuyến dưới lưỡi
Là tuyến nước bọt nhỏ nhất, nằm dưới lưỡi. Các ống dẫn dưới lưỡi ngắn hơn và kết thúc tại khoang miệng
1.7.2. Tuyến dưới hàm
Nằm trong khu vực tam giác dưới hàm. Đây là tuyến nước bọt hỗn hợp, các ống tiết dưới hàm được gọi là ống Wharton.
1.7.3. Tuyến mang tai
Là tuyến nước bọt lớn nhất, nằm giữa xương hàm dưới và cơ ức-đòn-chũm. Các ống tiết nước bọt ở tuyến mang tai được gọi là ống Stenon. Chúng nằm bên ngoài của cơ cắn, giữ vai trò đổ nước bọt vào miệng. Vị trí tiết nước bọt tương ứng với vị trí răng số 6,7 của hàm răng trên.

Tuyến nước bọt và hạch bạch huyết ở khoang miệng
1.8. Hệ thống hạch bạch huyết
Phần hầu họng được xem là nơi mà vi khuẩn dễ tấn công và xâm nhập sâu vào bên trong cơ thể nhất. Bao quanh bộ phận này là các mô bạch huyết tạo thành vòng Amidan Waldeyer.
Amidan có vai trò nhận diện vi khuẩn có hại và loại bỏ chúng. Đồng thời, Amidan giúp ngăn ngừa nguy cơ vi khuẩn tấn công sâu vào các cơ quan bên trong cơ thể.
Vòng Amidan Waldeyer bao gồm các phần sau:
- Amidan khẩu cái.
- Amidan lưỡi.
- Amidan quanh lỗ miệng.
- Amidan họng.
2. Cách chăm sóc và vệ sinh khoang miệng hợp lý
Để tránh mắc các bệnh về răng miệng, Quý khách hãy chăm sóc và vệ sinh khoang miệng thường xuyên theo các phương pháp sau đây.
2.1. Xây dựng thói quen đánh răng mỗi ngày ít nhất 2 lần
- Đánh răng hai lần mỗi ngày là điều quan trọng nhất trong việc chăm sóc sức khỏe răng miệng.
- Đánh răng vào buổi sáng sau khi thức dậy và buổi tối trước khi đi ngủ giúp loại bỏ mảng bám và vi khuẩn tích tụ trên bề mặt răng, giảm nguy cơ sâu răng và viêm nhiễm nướu.
>>> Xem thêm: 1 ngày đánh răng mấy lần để tốt cho sức khỏe răng miệng?
2.2. Đánh răng đúng cách
- Đánh răng đúng cách sẽ tránh các tổn thương gây ra cho răng và nướu trong quá trình vệ sinh răng miệng.
- Cách đánh răng chuẩn giúp loại bỏ hơn 90% mảng bám tích tụ trên răng, hạn chế sự phát triển của vi khuẩn.
2.3. Chú trọng vệ sinh lưỡi
- Không chỉ răng mà lưỡi cũng là nơi tích tụ mảng bám gây hôi miệng.
- Quý khách hãy vệ sinh lưỡi từ trong ra ngoài bằng bàn chải hoặc dụng cụ chuyên dụng để loại bỏ mảng bám trên lưỡi.
2.4. Sử dụng kem đánh răng có thành phần chính là fluoride
Fluoride là thành phần có khả năng chống lại vi khuẩn gây sâu răng. Đồng thời, dòng kem đánh răng này còn cung cấp một lớp bảo vệ cho men răng, giúp nâng cao độ bền của răng và giảm nguy cơ sâu răng.

Chải răng thường xuyên để làm sạch khoang miệng
2.5. Sử dụng chỉ nha khoa hoặc tăm nước để loại bỏ mảng bám
Sử dụng chỉ nha khoa hoặc tăm nước sau mỗi bữa ăn giúp loại bỏ các mảnh thức ăn nhỏ không gây tổn thương cho nướu. Nó đảm bảo làm sạch kẽ răng hoàn toàn và tránh gây viêm nhiễm cho nướu.
2.6. Súc miệng ngay sau khi ăn
Quý khách dùng nước súc miệng sau khi ăn giúp ngăn ngừa sâu răng và các bệnh về nướu. Nước súc miệng còn giúp làm sạch các vùng khó tiếp cận trong khoang miệng.
2.7. Sử dụng dụng cụ bảo vệ răng khi cần và hạn chế hút thuốc lá
Khi tham gia các hoạt động mạnh như đấu võ, đô vật,... Quý khách hãy mang dụng cụ bảo vệ hàm răng. Bên cạnh đó, Quý khách hãy hạn chế hút thuốc lá để tránh tổn hại răng, nướu và giảm nguy cơ ung thư vòm miệng.
2.8. Xây dựng chế độ ăn uống cân bằng và lành mạnh
Quý khách cần:
- Xây dựng chế độ ăn cân bằng bao gồm hạt, ngũ cốc nguyên cám, trái cây, rau củ và các sản phẩm từ sữa để cung cấp đủ dưỡng chất.
- Hạn chế ăn đồ ngọt và các thực phẩm giàu axit như nước uống có gas, bánh, kẹo ngọt…
- Bổ sung đủ lượng nước mỗi ngày giúp các hoạt động sinh lý bên trong cơ thể diễn ra thuận lợi.
2.9. Khám nha khoa định kỳ ít nhất 2 lần mỗi năm
- Quý khách hãy xây dựng thói quen khám nha khoa định kỳ 6 tháng 1 lần.
- Khám nha khoa giúp phát hiện sớm các bệnh về khoang miệng, mòn răng, viêm nhiễm nướu… hay các bệnh lý về răng miệng khác.
>>> Xem thêm:
Đánh răng đúng cách với bác sĩ tại nha khoa Tâm Đức Smile
Đánh răng mấy phút để không làm mòn men răng mà răng vẫn sạch
Hy vọng bài viết trên đã giúp Quý khách hiểu rõ cấu tạo khoang miệng gồm những bộ phận nào. Nếu Quý khách đang bị sâu răng, mất răng, viêm nướu, tụt lợi,... Quý khách hãy liên hệ với Tâm Đức Smile để được tư vấn miễn phí.
- Quý khách hãy gọi vào Hotline 19008040 - 0329851079 (Có sử dụng Zalo/Viber).
- Đăng ký nhận tư vấn miễn phí qua bảng thông tin dưới đây.




