HÌNH ẢNH RĂNG KHÔN MỌC NGẦM TRONG XƯƠNG HÀM VÀ NHỮNG ẢNH HƯỞNG ÍT AI BIẾT
1. Răng khôn mọc ngầm là gì?
Răng khôn mọc ngầm là hiện tượng răng khôn bị kẹt lại ở dưới nướu, không thể trồi lên được. Thông thường, hàm dưới có tỷ lệ răng khôn mọc ngầm cao hơn hàm trên. Khi bị nướu bao phủ, răng khôn không thể phát triển bình thường như các răng khác, gây ảnh hưởng xấu đến sức khỏe răng miệng.
Mời Quý khách cùng tìm hiểu nguyên nhân và những ảnh hưởng ít ai biết khi răng khôn mọc ngầm qua thông tin dưới đây.
1.1. Vì sao có răng mọc ngầm?
Trong suốt giai đoạn mọc răng, răng khôn là những chiếc răng cuối cùng mọc lên sau khi tất cả các răng khác đã phát triển hoàn thiện.
Cùng giai đoạn đó, nướu cũng trở nên dày hơn và xương hàm phát triển cứng chắc hơn. Điều này tạo ra sự cản trở lớn cho răng khôn, làm nó không mọc hướng lên được mà phải mọc ngầm bên dưới nướu.
Ngoài việc mọc ngầm, răng khôn cũng có thể mọc nghiêng, mọc ngược… gây đau nhức khó chịu. Một số trường hợp răng khôn mọc lệch còn gây ra các biến chứng nghiêm trọng sau đây.

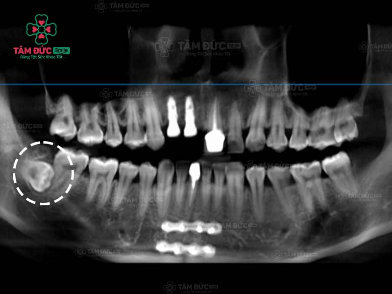
Quý khách có thể nhận biết răng khôn mọc ngầm thông qua phim chụp X-Quang
1.2. Những ảnh hưởng khi răng khôn mọc ngầm
Răng khôn mọc ngầm lâu dài gây khó chịu, đau nhức, ảnh hưởng đến hoạt động giao tiếp và sinh hoạt hàng ngày. Đặc biệt, trường hợp răng khôn mọc ngầm còn gây ảnh hưởng xấu đến sức khỏe răng miệng và cấu trúc khung hàm.
Một số biến chứng phổ biến do răng khôn mọc ngầm gây ra.
1.2.1. Tổn thương các răng lân cận (Răng số 7)
Trong quá trình di chuyển để mọc lên, răng khôn rất dễ mọc đâm vào răng số 7. Đây là dấu hiệu không rõ ràng nên Quý khách không thể nhận biết ở giai đoạn đầu. Nhưng nếu không điều trị kịp thời, răng khôn mọc ngầm sẽ gây tổn thương đến răng số 7, làm răng lung lay và dễ gãy.

Răng khôn mọc đâm vào răng số 7
1.2.2. Viêm nướu
Đây là biến chứng rất phổ biến khi gặp tình trạng răng khôn mọc ngầm. Viêm nướu thường xuyên tái phát, chỉ khỏi hẳn khi răng khôn đã mọc hoàn toàn hoặc được nhổ bỏ. Các triệu chứng đặc trưng của viêm nướu như sưng đỏ, có dịch mủ quanh chân răng, đau nhức lan rộng đến các vùng lân cận.
1.2.3. U nang xương hàm
Răng khôn mọc ngầm có thể phá hủy các cấu trúc xương hàm và các dây thần kinh xung quanh. Trường hợp u nang xương hàm cần phải điều trị sớm để loại bỏ các u nang và ngăn chặn biến chứng xấu đến cấu trúc xương hàm.
1.2.4. Ảnh hưởng hệ thần kinh
Răng khôn mọc ngầm tác động đến các dây thần kinh cảm giác, gây đau âm ỉ kéo dài. Ngoài ra, răng khôn mọc ngầm chèn ép lên dây thần kinh gây tê, gây mất cảm giác ở vùng miệng và mặt.
>>> Xem thêm: Răng khôn có mấy chân? Lý do Quý khách nên chụp phim trước khi nhổ răng khôn
2. Cách nhận biết răng khôn đang mọc ngầm
Các triệu chứng của răng khôn mọc ngầm không rõ ràng nên Quý khách dễ nhầm lẫn với các cơn đau răng thông thường khác. Vì vậy, Quý khách nên đến nha khoa Tâm Đức Smile để các bác sĩ chụp X-Quang và xác định chính xác răng khôn đang mọc ngầm.
2.1. Nướu sưng đỏ, sờ vào có cảm giác đau và cứng
Răng khôn không thể mọc lên sẽ chèn ép các dây thần kinh bên dưới hàm. Tình trạng này thường dẫn đến đau và sưng liên tục, có thể tái phát nhiều lần. Sau thời gian dài nếu Quý khách vẫn chưa thấy răng mọc lên, thì răng khôn đó đang mọc ngầm.

Răng khôn mọc ngầm làm sưng nướu
2.2. Đau nhức kéo dài
Răng khôn mọc ngầm tác động đến nướu, gây đau nhức và ê buốt kéo dài. Bên trong xương hàm, nó còn gây chèn ép dây thần kinh, dẫn đến đau đầu và đau thái dương.
2.3. Hôi miệng
Răng khôn mọc ngầm sẽ khiến phần lợi và nướu răng bị viêm nhiễm, tích tụ vi khuẩn lâu ngày gây hôi miệng.
ĐẶT HẸN NGAY HÔM NAY ĐỂ ĐƯỢC:
► Hỗ trợ trả góp 0% lãi suất
► Miễn phí chụp film cùng với máy Conebeam CT trị giá 700K
► Miễn phí quét mẫu hàm công nghệ ITERO trị giá 3 triệu
► Khám và tư vấn miễn phí
3. Trường hợp nên phẫu thuật loại bỏ răng khôn mọc ngầm
Răng khôn mọc ngầm bên trong xương hàm hay mọc ngầm dưới nướu sẽ gây sưng đỏ, đau nhức, ê buốt kéo dài. Nếu không nhổ bỏ kịp thời thì cơn đau vẫn tiếp tục tái phát nhiều lần, gây sâu răng các răng kế cận.
Quý khách nên nhổ răng khôn trong các trường hợp sau đây:
- Răng khôn mọc ngầm bị lệch, ảnh hưởng đến răng lân cận (răng số 7).
- Răng khôn mọc ngầm ác tính: xuất hiện các u nang gây ảnh hưởng xấu đến cấu trúc xương hàm.
- Răng khôn mọc ngầm lành tính nhưng gây khó khăn cho việc điều trị phục hình như chỉnh nha, trồng răng Implant.
Trước khi nhổ bỏ răng khôn mọc ngầm, Quý khách được bác sĩ chụp X-quang răng và thực hiện các xét nghiệm máu cần thiết. Qua phim X-Quang, bác sĩ biết được ảnh hưởng của răng đang mọc ngầm để cân nhắc phương pháp điều trị thích hợp nhất.

Quý khách nên nhổ bỏ răng khôn mọc ngầm càng sớm càng tốt
>>> Xem thêm: Mổ răng khôn kiêng ăn gì? 3 cách giúp vết mổ răng khôn nhanh lành
4. Các tiêu chí lựa chọn địa chỉ nhổ răng khôn uy tín
Phẫu thuật nhổ bỏ răng khôn mọc ngầm rất phức tạp. Quý khách nên lựa chọn địa chỉ nha khoa uy tín để đảm bảo an toàn. Quý khách có thể căn cứ vào 5 tiêu chí lựa chọn địa chỉ nhổ răng khôn mọc ngầm sau đây.
4.1. Được cấp phép hoạt động
Đây là tiêu chí đầu tiên để đánh giá độ uy tín của một địa chỉ nha khoa. Nha khoa được Sở Y Tế cấp giấy phép hoạt động khi đạt đầy đủ các tiêu chuẩn cần thiết.
Quý khách có thể tra cứu giấy phép hoạt động của nha khoa trên website hay tại cơ sở hoạt động của nha khoa đó.
4.2. Đội ngũ bác sĩ giàu kinh nghiệm, có chuyên môn
Để xác định kịp thời, chính xác mức độ ảnh hưởng của răng khôn, bác sĩ phải có nhiều năm kinh nghiệm cùng trình độ chuyên môn cao.
4.3. Phòng điều trị được đảm bảo vô trùng
Trong quá trình khám và kiểm tra răng miệng, các dụng cụ và thiết bị đều phải đảm bảo vô khuẩn. Môi trường vô khuẩn giúp tránh lây nhiễm chéo giữa các bệnh nhân, đảm bảo an toàn về mặt sức khỏe.
4.4. Quy trình nhổ răng khôn đúng kỹ thuật
Nhổ răng khôn cần được thực hiện đúng kỹ thuật, đảm bảo đầy đủ các bước theo tiêu chuẩn của Bộ Y Tế. Quý khách sẽ được điều trị theo phác đồ riêng biệt tùy từng trường hợp răng khôn mọc ngầm.
4.5. Trang thiết bị đầy đủ, phương pháp hiện đại
Một cơ sở nha khoa uy tín phải đảm bảo đầy đủ các trang thiết bị phù hợp với nhu cầu thăm khám. Nha khoa cần đảm bảo sử dụng các phương pháp tối ưu, hiện đại nhất để tối ưu hóa việc điều trị.
Tóm lại, răng khôn mọc ngầm sẽ để lại nhiều biến chứng nguy hiểm cho sức khỏe răng miệng. Quý khách muốn biết mình có răng khôn mọc ngầm hay không, hãy liên hệ với nha khoa Tâm Đức Smile ngay để được tư vấn bằng cách:
- Gọi đến Hotline 19008040 - 0329851079 (Zalo/Viber).
- Điền thông tin vào bảng này để bác sĩ giải đáp ngay.


