GIÁ NHỔ RĂNG KHÔN BAO NHIÊU TIỀN? MỚI NHẤT 2025
1. Chi phí nhổ răng khôn bao nhiêu tiền?
Xét trên khía cạnh nào đó, nhổ răng khôn bao nhiêu tiền chính là chi phí tính cho khả năng kiểm soát và ngăn chặn biến chứng xảy ra trong quá trình nhổ răng của một nha sĩ giỏi.
Để thuận lợi cho ca nhổ răng khôn thành công, rõ ràng về mặt kỹ năng và tay nghề bác sỹ phải thực sự đảm bảo. Với mỗi kiểu răng khôn, mỗi thế mọc khác nhau và tình trạng răng yếu hoặc khỏe mà quy trình loại bỏ răng được chỉ định linh hoạt sao cho nhổ được răng mà ít gây nhức nhối nhất cho bệnh nhân. Mức chênh lệch trong bảng báo giá là để áp dụng riêng cho các trường hợp có tính chất phức tạp khác nhau. Bởi vì, dây thần kinh hàm dưới nằm trong một ống nhỏ rất chắc chắn chạy trong xương hàm. Ống chứa dây thần kinh này nằm cách chân răng một khoảng an toàn đủ để nếu nhổ răng sẽ không bị ảnh hưởng. Nhưng cũng không loại trừ trường hợp chiếc răng khôn của bạn có chân răng mọc sâu xuống dưới gần với ống chứa dây thần kinh này. Cho nên, muốn biết có nhổ răng khôn được hay không và mức chi phí nhổ răng khôn hết bao nhiêu tiền, bạn cần đi khám nha sỹ mới xác định được.
Nhổ răng ăn toàn không đau tại nha khoa Tâm Đức Smile
1.1. Ưu điểm công nghệ nhổ răng khôn không đau tại Tâm Đức Smile
1.1.1. Đa dạng các loại thuốc tê
Với công nghệ nhổ răng khôn không đau hiện đại hiện nay, phương thức gây tê đa dạng hơn với các loại thuốc tê khác nhau như thuốc tê dạng xịt, dạng bôi… giúp loại bỏ nỗi sợ hãi của tất cả mọi người đối với việc nhổ răng khôn.
1.1.2. Kiểm soát thuốc tê chuẩn
Bạn hoàn toàn an tâm nhổ răng khôn không đau có sự hỗ trợ từ thiết bị kiểm soát thuốc tê chuẩn được cài đặt sẵn. Áp lực của dung dịch gây tê lên nướu thông qua đầu mũi kim và tốc độ bơm dung dịch được kiểm soát tốt, giúp quá trình nhổ răng được nhẹ nhàng hơn.

Răng khôn mọc trùm lợi cần nhổ bỏ sớm
1.1.3. Nhổ răng an toàn, nhanh chóng
Với thao tác nhổ răng chuyên nghiệp kết hợp với các thiết bị nhổ răng hiện đại, bác sĩ chỉ tác động lên mô cứng và các điểm tiếp xúc với bề mặt răng nên hoàn toàn không làm tổn thương đến các mô mềm, cũng như là tổn hại tới xương ổ răng. Thời gian thực hiện nhổ răng là rất ngắn chỉ khoảng vài phút.
1.1.4. Liền thương nhanh và giảm sưng đau
Sau khi tiểu phẫu răng khôn, khách hàng sẽ được sử dụng chất khử trùng chlorhexidine và các loại vitamin, khoáng chất. Những chất này giúp tái tạo các mô, làm giảm các vấn đề sau khai thác với ổ cắm khô và cho phép các vết thương để chữa lành một cách nhanh chóng; giảm đau đớn và sưng đến mức tối thiểu.
1.2. Bảng giá nhổ răng khôn - Chi phí nhổ răng khôn
| TIỂU PHẨU RĂNG KHÔN | GIÁ TIỀN (VNĐ) |
| Răng khôn hàm trên | 2.000.000 - 3.000.000/răng |
| Răng khôn hàm dưới | 4.000.000 - 5.000.000/răng |
(Bảng giá niêm yết chưa áp dụng khuyến mãi)
| DỊCH VỤ KHÁM CHỮA BỆNH | CHI PHÍ |
| Khám và tư vấn | Miễn phí |
| Chụp X-quang | Miễn phí |
| Chụp CT Implant Conebeam | Miễn phí |
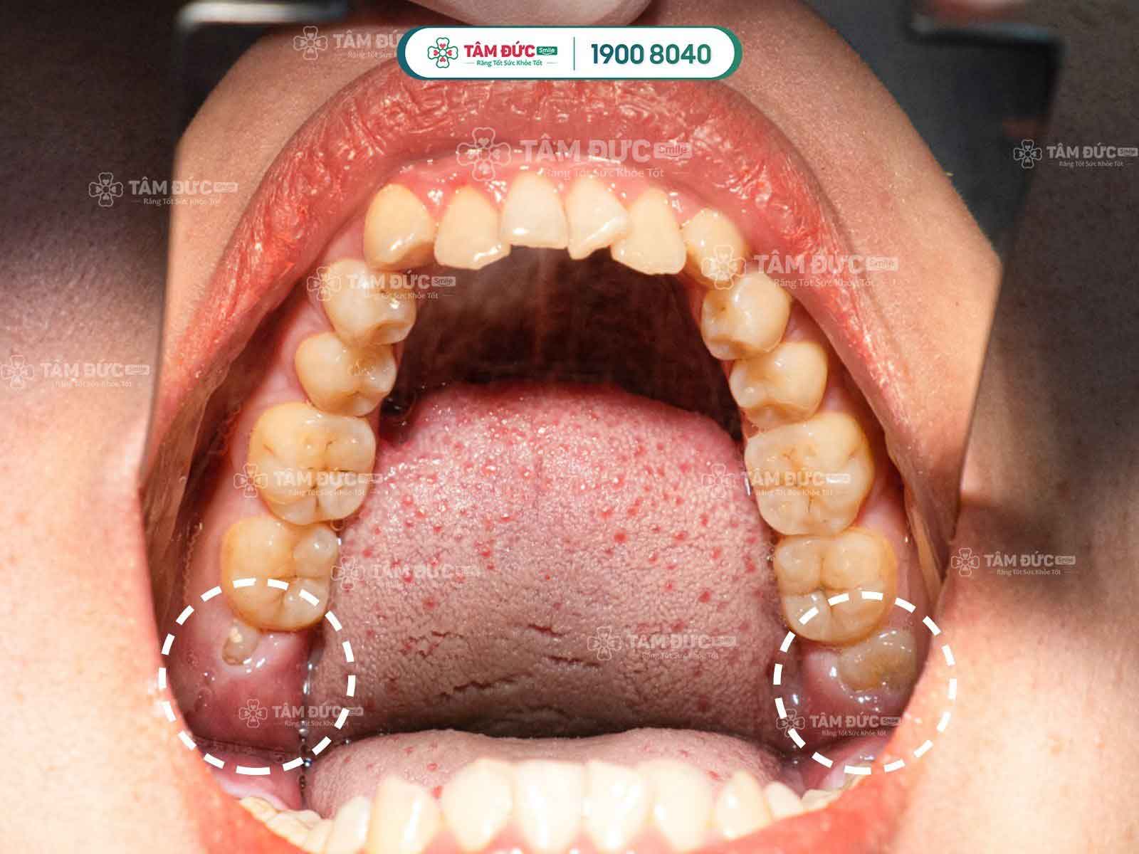
2. Tác hại của răng khôn mọc lệch?
Răng khôn (hay còn gọi là răng số 8) là răng mọc cuối cùng trong cung hàm (thường mọc ở độ tuổi 16 – 25 tuổi). Vì lúc này khi xương hàm đã tương đối ổn định nên thường xảy ra tình trạng răng khôn mọc lệch, mọc ngầm gây ra những cơn đau nhức rất khó chịu, kéo theo đó là những ảnh hưởng khó lường.
Những tác hại của răng khôn mọc lệch mọc lệch thường gặp :
2.1. Gây viêm sưng kéo dài
Răng khôn khi mọc lên đều gây sưng nướu và đau nhức khoảng 2 – 3 ngày, lặp đi lặp lại nhiều lần kéo dài từ 1 – 3 năm cho đến khi quá trình mọc răng khôn hoàn tất.
2.2. Gây sâu răng và ảnh hưởng đến răng kế cận
Do nằm ở vị trí khó vệ sinh nên dễ dàng xảy ra tình trạng sâu răng khôn.
Khi răng khôn mọc lệch và nghiêng về phía răng bên cạnh làm răng bị tổn thương, dễ gây gãy, vỡ, nứt.

Sâu răng khôn
2.3. Gây xô lệch cả hàm răng
Khi răng khôn mọc lệch, mọc ngầm trong thời gian dài sẽ tạo ra lực đẩy lớn, tác động đến những chiếc răng khác làm răng toàn hàm di chuyển và xô lệch. Điều đó không những làm mất đi tính thẩm mỹ của hàm răng mà còn bị sai khớp cắn, hàm trên và hàm dưới không khớp với nhau. Các trường hợp răng khôn mọc lệch, mọc ngầm được bác sĩ khuyến cáo nên nhổ bỏ càng sớm càng tốt tránh những biến chứng về sau.
Đối với các trường hợp răng khôn mọc lệch, mọc ngầm trong một khoảng thời gian dài, gây ảnh hưởng răng xung quanh, thậm chí gây lung lay và rụng răng bên cạnh, thì sau khi nhổ răng khôn, công tác trồng răng để phục hồi thẩm mỹ cho hàm răng là hết sức quan trọng. Tiêu biểu là răng khôn mọc sát trong hàm lâu ngày, khiến cho răng hàm bị tổn thương thì trồng răng hàm là phương pháp cần thiết để tối ưu quá trình nhai thức ăn của bộ hàm. Bạn có thể tham khảo bảng giá trồng răng implant mới nhất năm 2025 để mang lại một diện mạo hoàn hảo cho nụ cười của mình
Bên cạnh đó, Nha khoa Tâm Đức Smile luôn có những chương trình ưu đãi dành cho khách hàng, Tại đây sẽ là địa chỉ xua tan lo lắng nhổ răng khôn giá bao nhiêu tiền cho tất cả khách hàng.
Nếu còn thắc mắc nào liên quan về chi phí nhổ răng khôn giá bao nhiêu tiền? Bạn có thể liên hệ đến trung tâm Nha khoa Tâm Đức Smile theo số Hotline 19008040 - 0329851079 (Có sử dụng Zalo/Viber), các bác sĩ sẽ tư vấn tận tình nhất cho bạn.


