DẤU HIỆU SÂU RĂNG KHÔN VÀ CÁCH ĐIỀU TRỊ HIỆU QUẢ
1. Dấu hiệu nhận biết sâu răng khôn
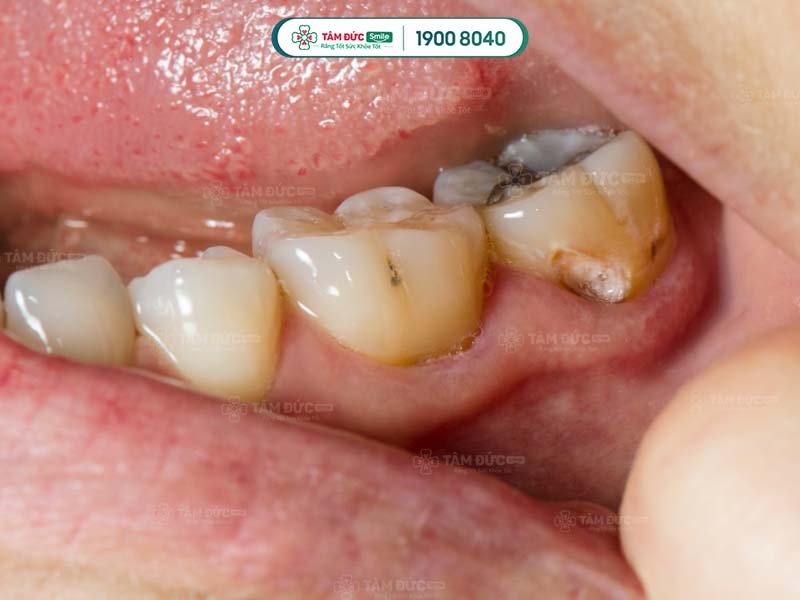
1.1. Bề mặt răng có các đốm nâu đen
Đây là dấu hiệu điển hình nhất khi răng khôn bị sâu. Các đốm nâu đen này xuất hiện do vi khuẩn sâu răng tấn công và ăn mòn men răng, gây sâu răng.
1.2. Hơi thở có mùi hôi
Khi bị sâu răng khôn, vi khuẩn tích tụ nhiều và sinh ra các khí có mùi hôi.
Khi răng khôn bị sâu nặng hơn có thể làm nứt vỡ răng. Điều này ảnh hưởng đến phần tủy răng bên trong. Tủy răng bị chảy dịch mủ có mùi khó chịu, góp phần gây hôi miệng.
1.3. Răng bị ê buốt
Thông thường, men răng có vai trò bảo vệ ngà răng, tủy răng… Khi vi khuẩn sâu răng tấn công và phá hủy lớp men này, ống ngà răng và dây thần kinh sẽ bị lộ ra ngoài. Quý khách thường cảm thấy ê buốt khi ăn thực phẩm lạnh, nóng, hoặc chua.
1.4. Răng bị đau nhức âm ỉ kéo dài
Răng khôn bị sâu gây đau nhức ở vị trí xung quanh răng. Điều này xảy ra do vi khuẩn sâu răng tấn công và gây tổn thương cho các mô mềm. Vi khuẩn gây sưng nướu và đau nhức khó chịu âm ỉ kéo dài.


2. Sâu răng khôn do nguyên nhân gì?
Răng khôn dễ bị sâu do hình thể răng ở vị trí khuất sâu bên trong miệng dẫn đến khó vệ sinh. Mặt khác, việc bị sâu răng cũng do thói quen ăn uống hằng ngày.
2.1. Sâu răng khôn do vị trí mọc
Răng khôn mọc ở vị trí cuối cùng trong cung hàm, gây bất tiện cho việc vệ sinh răng. Mảng bám dễ lưu lại ở răng khôn và cao răng cũng rất khó được loại bỏ. Điều này tạo ra môi trường thuận lợi để vi khuẩn tích tụ và phá hủy men răng.
2.2. Sâu răng khôn do hình dạng răng khác biệt
Răng khôn có hình thể và bề mặt lớn hơn các răng khác. Mặt nhai của răng khôn có nhiều rãnh nhỏ, là nơi lý tưởng để vi khuẩn tích tụ và phát triển.
2.3. Sâu răng khôn do răng mọc ngầm, mọc lệch
- Răng khôn thường mọc ngầm, mọc lệch hoặc mọc ngang tạo khoảng hở với các răng bên cạnh.
- Thức ăn dễ bám vào lỗ sâu gây khó khăn trong việc vệ sinh, tạo điều kiện cho vi khuẩn tích tụ gây sâu răng, hôi miệng.
- Đây là nguyên nhân gây ra các bệnh lý như viêm nướu, viêm nha chu, mất răng vĩnh viễn,...
2.4. Sâu răng khôn do thói quen chăm sóc răng miệng chưa đúng cách
Đây là nguyên nhân phổ biến không chỉ gây sâu răng khôn mà còn gây sâu các răng khác. Tiêu biểu là các thói quen:
- Chỉ đánh răng một lần trong ngày
- Không dùng chỉ nha khoa để loại bỏ các mảng bám kẽ răng
- Không dùng nước súc miệng để loại sạch hại khuẩn


3. Sâu răng khôn có ảnh hưởng nghiêm trọng đến sức khỏe không?
So với các răng khác thì răng khôn có chân răng dài và cứng chắc hơn. Tuy nhiên, răng khôn không có vai trò quan trọng như các răng khác và cũng không cần thiết phải có. Vì vậy khi răng khôn bị sâu cũng không gây ảnh hưởng đến sinh lý của răng.
Tuy nhiên, do răng khôn có chân răng dài và cứng nên khi bị sâu răng thường rất đau nhức và khó chịu.
Ngoài ra, nếu không điều trị sâu răng khôn kịp thời cũng gây ra một số vấn đề sức khỏe khác như:
- Gây sâu các răng lân cận.
- Nổi hạch hay gây sốt.
- Gây bất tiện khi việc ăn uống và sinh hoạt.
- Tăng nguy cơ áp xe chân răng, viêm nướu, viêm nha chu…
ĐẶT HẸN NGAY HÔM NAY ĐỂ ĐƯỢC:
► Khám và tư vấn miễn phí
► Miễn phí chụp film cùng với máy Conebeam CT trị giá 700K
► Miễn phí quét mẫu hàm công nghệ ITERO trị giá 3 triệu
► Hỗ trợ trả góp 0% lãi suất
4. Cách điều trị sâu răng khôn hiệu quả
Do răng khôn không đóng vai trò quan trọng đối với cơ thể nên khi bị sâu Quý khách có thể nhổ bỏ chiếc răng khôn đó. Răng khôn mọc ngầm, mọc lệch hay mọc ngang thì cũng cần nhổ bỏ càng sớm càng tốt.
>>> Xem thêm:
Lý do Quý khách nên chụp phim trước khi nhổ răng khôn
5. Một người trưởng thành có bao nhiêu chiếc răng khôn và chúng nằm ở vị trí nào?
Người trưởng thành thường có 32 chiếc răng. Trong đó bao gồm 4 chiếc răng khôn: 2 răng ở hàm trên và 2 răng ở hàm dưới.
Thời gian răng khôn mọc ở từng người sẽ khác nhau. Thông thường, mọc răng khôn diễn ra khi Quý khách trong độ tuổi từ 17 đến 30 tuổi.

Người trưởng thành có tất cả 4 răng khôn
6. Các biện pháp phòng ngừa răng khôn bị sâu
Sau khi điều trị, Quý khách cần phải lưu ý áp dụng các biện pháp phòng ngừa để tránh sâu răng khôn tái diễn.
6.1. Thường xuyên đánh răng, vệ sinh răng đúng cách
Quý khách nên xây dựng thói quen vệ sinh răng miệng 2 lần mỗi ngày. Quý khách lưu ý phải vệ sinh cẩn thận cả các răng ở trong cùng. Việc dùng bàn chải có lông mềm, kết hợp thêm dùng chỉ nha khoa giúp làm sạch hoàn toàn các mảng bám.
6.2. Sử dụng các sản phẩm vệ sinh răng miệng phù hợp từ bạc hà
Quý khách nên:
- Dùng bàn chải, kem đánh răng hay nước súc miệng phù hợp với tình trạng răng của Quý khách.
- Tránh dùng bàn chải quá to hoặc quá nhỏ so với khuôn miệng.
- Dùng thêm sản phẩm vệ sinh răng miệng từ bạc hà để hạn chế mùi hôi khó chịu.
6.3. Xây dựng chế độ ăn uống hợp lý, lành mạnh
Quý khách hãy ưu tiên dùng các loại thức ăn có nhiều chất dinh dưỡng, protein, ăn nhiều rau xanh và trái cây tươi. Bên cạnh đó, Quý khách hãy bổ sung thêm các loại thực phẩm chứa canxi, vitamin D để giúp răng chắc khỏe.
Quý khách cần tránh ăn các loại thực phẩm gây phá hủy men răng như: thức ăn chứa nhiều axit, nhiều đường hay đồ cay nóng.
6.4. Thăm khám định kỳ tại nha khoa
Định kỳ tái khám nha khoa mỗi 6 tháng để kịp thời phát hiện các vấn đề của răng như sâu răng khôn, viêm nướu, viêm nha chu,...
Sâu răng khôn là một bệnh lý răng miệng phổ biến, được trị khỏi hoàn toàn nếu kịp thời phát hiện. Quý khách muốn biết răng khôn của mình có mọc bình thường hay không hãy ghé qua Tâm Đức Smile để được tư vấn và chụp phim miễn phí.
Để tiết kiệm thời gian và nhận ưu đãi khi nhổ răng khôn tại nha khoa, Quý khách hãy:
- Gọi đặt hẹn qua Hotline 19008040 - 0329851079 (Có sử dụng Zalo/Viber).
- Điền thông tin vào bảng sau đây để bác sĩ biết và tư vấn ngay.


