CÒN CHÂN RĂNG CÓ BỌC RĂNG SỨ ĐƯỢC KHÔNG? BẬT MÍ TỪ CHUYÊN GIA
1. Các trường hợp gãy răng phổ biến
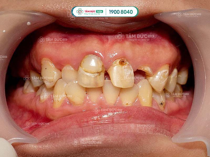
Gãy răng chỉ còn lại chân là trường hợp răng bị gãy vỡ toàn bộ phần thân răng. Trong nướu chỉ còn lại chân răng và răng lúc này đã mất đi khả năng nghiền nát thức ăn. Có nhiều nguyên nhân làm răng của Quý khách bị hư hỏng chỉ còn lại phần chân, chẳng hạn như một số lý do sau đây.
1.1. Sâu răng
Sâu răng là bệnh lý răng miệng phổ biến, có thể dẫn đến mất răng vĩnh viễn. Ở giai đoạn đầu, vết sâu chỉ nhỏ như đầu kim. Nếu Quý khách không chữa trị sâu răng sớm, vết sâu sẽ lan rộng và ăn vào các lớp tổ chức cứng của răng, dẫn đến mẻ vỡ thân răng.
1.2. Mòn cổ chân răng
Mòn cổ chân răng là trường hợp răng bị bào mòn dần theo thời gian, làm cho phần cứng liên kết giữa thân và chân răng bị mất đi. Mòn cổ răng nghiêm trọng, răng có thể tự gãy hoặc dễ bị chấn thương làm mất thân răng, chỉ còn lại chân răng.
1.3. Tai nạn, chấn thương nặng
Tai nạn, chấn thương nặng ngoài ý muốn có thể làm cho răng bị gãy, vỡ, thậm chí chỉ còn lại chân răng. Đây là một trong những trường hợp gây mất răng nghiêm trọng, ảnh hưởng lớn đến sức khỏe và thẩm mỹ nụ cười.
.jpg)
Chấn thương ở răng làm gãy chân răng
2. Còn chân răng có bọc răng sứ được không?
Còn chân răng có bọc răng sứ được hay không, còn phụ thuộc vào từng trường hợp.
2.1. Trường hợp 1: Chân răng chưa bị hoại tử tủy, chưa nhiễm trùng
Nếu chân răng còn khỏe mạnh, không bị nhiễm trùng, không bị gãy vỡ nhiều thì Quý khách có thể bọc răng sứ. Bọc răng sứ sẽ giúp bảo vệ chân răng, phục hồi hình dạng và chức năng ăn nhai của răng.
2.2. Trường hợp 2: Chân răng đã nhiễm trùng
Nếu chân răng đã bị nhiễm trùng thì Quý khách nên nhổ bỏ để ngăn ngừa các biến chứng nguy hiểm. Chẳng hạn như viêm ổ xương hàm, viêm khớp thái dương, viêm dây thần kinh,...
Sau khi nhổ chân răng thật, Quý khách nên trồng răng Implant để khôi phục lại chức năng ăn nhai. Cấy ghép Implant là phương pháp phục hình răng mất có tính thẩm mỹ và chức năng cao, giúp ngăn ngừa tiêu xương hàm hiệu quả.
ĐẶT HẸN NGAY HÔM NAY ĐỂ ĐƯỢC:
- Khám và tư vấn miễn phí
- Miễn phí chụp film cùng với máy Conebeam CT trị giá 700K
- Miễn phí quét mẫu hàm công nghệ ITERO trị giá 3 triệu
- Trả góp 0% lãi suất
3. Các phương pháp giúp phục hình răng khi còn chân răng
3.1. Thân răng vẫn còn dài
3.1.1. Hàn trám răng
Hàn trám răng là phương pháp đơn giản, được thực hiện nhanh chóng. Phương pháp này chỉ áp dụng cho trường hợp răng gãy vỡ chưa tổn thương đến tủy.
Bác sĩ sử dụng vật liệu nha khoa chuyên dụng để trám kín phần răng bị mất. Chất trám có màu sắc tương tự răng thật nên đảm bảo tính thẩm mỹ. Tuy nhiên, vật liệu hàn trám chỉ có thể duy trì từ 3 – 5 năm và không có khả năng chịu được lực nhai lớn.
3.1.2. Bọc răng sứ
Bọc răng sứ là phương pháp tối ưu nếu mô răng thật còn lại nằm trong khoảng 1/3-1/2 răng. Lúc này, cùi răng thật còn lại có đủ diện tích để làm trụ cho răng sứ bọc chụp bên ngoài. Bác sĩ sẽ mài một phần cùi răng và chế tác răng sứ có hình dáng, màu sắc, kích thước hài hòa với các răng còn lại.
Bọc răng sứ là giải pháp phục hình răng thẩm mỹ mang lại nhiều lợi ích vượt trội. Về mặt thẩm mỹ, răng sứ có màu sắc, hình dáng tự nhiên, giúp răng trắng sáng, đều đẹp, cải thiện nụ cười tự tin. Thời gian phục hồi nhanh, chỉ mất khoảng 2 - 3 ngày là hoàn tất quá trình bọc răng sứ.



3.2. Chân răng ngắn
3.2.1. Cầu răng sứ
Bác sĩ tiến hành mài 2 cùi răng bên cạnh để tạo 2 trụ, làm điểm tựa cho 3 răng sứ để thay thế cho chiếc răng bị mất.
Cầu răng sứ có ưu điểm là thời gian thực hiện nhanh chóng, chi phí thấp hơn cấy ghép Implant. Tuy nhiên, phương pháp này cũng có nhược điểm là làm tiêu xương hàm, gây tụt lợi và biến dạng khuôn mặt.

Cầu răng sứ qua phim X-Quang
3.2.2. Cấy ghép Implant
Cấy ghép Implant là phương pháp phục hình răng tối ưu nhất hiện nay, giúp phục hồi chức năng ăn nhai và tính thẩm mỹ của răng đã mất. Phương pháp này sử dụng trụ Implant, được cấy trực tiếp vào xương hàm để thay thế chân răng đã bị mất. Tiếp đến là gắn khớp nối Abutment và cuối cùng là bọc răng sứ lên trên.
Cấy ghép Implant có ưu điểm vượt trội là:
- Khôi phục cả chân răng lẫn thân răng, ngăn chặn trường hợp tiêu xương hàm.
- Khôi phục tổng thể thẩm mỹ cho hàm răng.
- Chức năng nhai được phục hồi, không thua kém so với răng thật.
- Không tác động, xâm lấn tới các răng xung quanh.
- Cải thiện quá trình vệ sinh răng miệng diễn ra thuận lợi hơn.
- Tuổi thọ lâu dài, trung bình 25 năm, nếu được chăm sóc và vệ sinh đúng cách có thể sử dụng lâu hơn.
Trong trường hợp này, trồng răng Implant là giải pháp tối ưu nhất. Bởi Implant có thể thay thế cả chân răng lẫn thân răng, ngăn chặn trường hợp tiêu xương hàm. Đồng thời, Implant cũng có thể khôi phục thẩm mỹ, chức năng ăn nhai và tuổi thọ lâu dài cho răng.
4. Câu hỏi thường gặp
4.1. Bọc sứ khi chỉ còn chân răng có bền không?
Có 3 yếu tố chính quyết định độ bền của bọc răng sứ khi còn chân răng, bao gồm:
- Chất lượng răng sứ: Răng sứ có độ bền cao, được chế tác từ vật liệu chất lượng sẽ giúp kéo dài tuổi thọ của răng sứ.
- Kỹ thuật bọc răng sứ của bác sĩ: Bác sĩ có tay nghề cao, thực hiện đúng kỹ thuật sẽ giúp răng sứ được gắn chặt vào chân răng, hạn chế trường hợp bong bật.
- Chế độ chăm sóc răng miệng của Quý khách: Khi chăm sóc răng miệng đúng cách và hạn chế ăn uống thực phẩm cứng, dai,... răng sứ sẽ bền lâu hơn.
Nếu đáp ứng đủ các yếu tố trên thì bọc răng sứ khi còn chân răng có thể bền lâu. Tuy nhiên, Quý khách cũng cần lưu ý rằng, độ bền của răng sứ phụ thuộc vào nhiều yếu tố khác nhau. Trong đó, yếu tố quan trọng nhất là chế độ chăm sóc răng miệng của Quý khách.
Mời Quý khách lắng nghe chia sẻ của chị Mai Trâm sau khi bọc răng sứ tại nha khoa Tâm Đức Smile
4.2. Răng sâu chỉ còn chân để lâu có làm sao không?
Nếu không được xử lý kịp thời, trường hợp răng sâu chỉ còn lại chân răng có thể gây ảnh hưởng như:
- Đau nhức, ê buốt răng thường xuyên, đặc biệt là khi ăn uống.
- Làm mất thẩm mỹ, ảnh hưởng đến chức năng nhai.
- Viêm nhiễm, áp xe chân răng, ảnh hưởng đến các răng kế cận.
4.3. Sâu răng chỉ còn chân có nên nhổ không?
Có thể nhổ bỏ răng sâu chỉ còn chân trong trường hợp:
- Chân răng bị phá hủy hoàn toàn, không còn khả năng phục hồi.
- Răng sâu gây đau nhức, viêm nhiễm, ảnh hưởng đến các răng lân cận.
- Răng sâu nằm ở vị trí khó điều trị, không thể phục hồi bằng các phương pháp khác.
Sau khi nhổ bỏ răng sâu, Quý khách cần thực hiện phương pháp phục hình răng để đảm bảo chức năng ăn nhai và thẩm mỹ.
>>> Xem thêm: Hình ảnh khách hàng làm răng sứ tại nha khoa Tâm Đức Smile
Trên đây là những giải đáp cho vấn đề còn chân răng có bọc răng sứ được không. Quý khách đang có chân răng bị gãy hoặc bị sâu cần phải điều trị, hãy liên hệ cho Tâm Đức Smile ngay bằng cách:
- Gọi vào Hotline 19008040 - 0329851079 (Có sử dụng Zalo/Viber).
- Điền thông tin vào bảng dưới đây.




