CHI PHÍ NIỀNG RĂNG TRONG SUỐT GIÁ BAO NHIÊU?
Niềng Răng Trong Suốt trọn gói chỉ từ 22 triệu đồng
Hỗ trợ trả góp 0% lãi suất, góp trực tiếp với nha khoa
Miễn phí: nhổ răng số 4, trám răng và cạo vôi
Lưu ý: Ưu đãi chỉ dành riêng cho khách hàng có đặt hẹn qua số
Hotline 19008040 - 0329851079 (Có sử dụng Zalo/ Viber) hoặc qua Website
❤️MỪNG ĐẠI LỄ 50 NĂM NGÀY GIẢI PHÓNG MIỀN NAM❤️
.jpg)
Nha khoa Tâm Đức Smile tung ưu đãi lớn nhất năm!
TẶNG NGAY 10 TRIỆU khi làm dịch vụ Bọc sứ, Trồng răng Implant hóa đơn từ 100 TRIỆU!
TẶNG voucher chăm răng cho người thân trị giá 2 triệu
GIẢM ĐẾN 60% chi phí dịch vụ nha khoa:
Cạo vôi răng từ 99.000đ
Trám răng từ 150.000đ
Tẩy trắng răng từ 999.000đ
50 suất trọn gói niềng răng từ 18 triệu – Tặng ngay máy tăm nước cao cấp
50 suất bọc 16 răng sứ Đức chính hãng từ 2.8 triệu
50 suất trồng răng implant từ 2.9 triệu/trụ - Tặng răng toàn sứ trên trụ
**Chương trình được áp dụng đến hết ngày 15/5.
1. Vì sao nên chọn lựa niềng răng trong suốt Invisalign?
Invisalign hay còn được gọi là niềng răng trong suốt, niềng răng không mắc cài. Phương pháp niềng răng Invisalign sử dụng bộ khay niềng trong suốt như máng tẩy trắng thay cho các mắc cài niềng răng truyền thống.
Hiện nay niềng răng trong suốt được rất nhiều người ưa chuộng vì có tính thẩm mỹ và mang lại hiệu quả cao. Các khay niềng trong suốt được lắp vào toàn bộ cung răng với những điểm tạo lực để di chuyển răng về vị trí như mong muốn. Trung bình, bệnh nhân mang mỗi khay khoảng 2 tuần, và mỗi khay di chuyển răng khoảng 0.25mm.
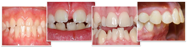
Hãy ngắm nhìn những thay đổi sau khi niềng răng trong suốt
1.1. Ưu điểm của niềng răng trong suốt
Khác với các kỹ thuật niềng răng sử dụng nguyên lý hoạt động hệ thống mắc cài và dây cung để nắn chỉnh răng, Invisalign dùng khay niềng trong suốt có thể tháo lắp một cách dễ dàng. Vì vậy, đảm bảo tính thẩm mỹ trong suốt quá trình điều trị, khắc phục được những nhược điểm của các kỹ thuật niềng răng truyền thống.
Những ưu điểm vượt trội của niềng răng không mắc cài Invisalign:
1.1.1. Invisalign có tính thẩm mỹ cao
Vì khay Invisalign làm bằng nhựa trong suốt nên làm cho những người xung quanh khó nhận thấy bạn đang chỉnh nha, lại giúp che đi những khiếm khuyết của hàm răng hiện tại.
1.1.2. Mang lại sự thoải mái, tiện lợi
Vì Invisalign không có dây và mắc cài kim loại nên tạo được sự thoải mái và không gây kích ứng với miệng, nướu giúp việc ăn uống, sinh hoạt đều thoải mái hơn. Ưu điểm của niềng răng trong suốt là có thể tháo rời để vệ sinh răng miệng hay tạm thời cất đi một cách dễ dàng.
1.1.3. Mang lại hiệu quả cao
Ngay từ những giai đoạn đầu, sau 3 - 4 lần thay khay, bạn sẽ nhìn thấy sự thay đổi rõ rệt trên răng và không còn cảm thấy khó chịu khi đeo khay. Tuy nhiên, kết quả niềng răng còn phụ thuộc vào từng tình trạng răng và các yếu tố liên quan.
>>> Xem thêm: Bảng giá các loại niềng răng hiện nay bao nhiêu tiền.


Invisalign ưu điểm hơn niềng răng mắc cài
ĐẶT HẸN NGAY HÔM NAY ĐỂ ĐƯỢC:
- Khám và tư vấn miễn phí
- Miễn phí chụp film cùng với máy Conebeam CT trị giá 700K
- Miễn phí quét mẫu hàm công nghệ ITERO trị giá 3 triệu
- Hỗ trợ trả góp 0% lãi suất
1.2. Những trường hợp răng nên niềng răng Invisalign
- Răng hô, vẩu, móm, thưa.
- Răng mọc lệch lạc, mọc ngầm/ ngược, mọc chen chúc
- Khách hàng bị dị ứng kim loại
- Khách hàng có yêu cầu cao về thẩm mỹ trong suốt quá trình chỉnh nha

Trường hợp răng có thể sử dụng niềng răng Invisalign
2. Niềng răng trong suốt giá bao nhiêu?
Giá niềng răng không mắc cài (niềng răng trong suốt) cao hay thấp tại nha khoa còn tùy thuộc vào tình trạng răng nặng hay nhẹ.
Những trường hợp răng càng lệch lạc, khập khểnh nhiều và phức tạp thì chi phí niềng răng Invisalign càng cao và thời gian niềng kéo dài. Ngoài niềng răng trong suốt Invisalign thì tại nha khoa Tâm Đức Smile còn có các loại hình niềng răng khác có chi phí niềng răng thấp hơn nhưng cũng mang lại hiệu quả cao không kém, bạn có thể tham khảo.
ĐẶT HẸN NGAY HÔM NAY ĐỂ ĐƯỢC:
- Khám và tư vấn miễn phí
- Miễn phí chụp film cùng với máy Conebeam CT trị giá 700K
- Miễn phí quét mẫu hàm công nghệ ITERO trị giá 3 triệu
- Hỗ trợ trả góp 0% lãi suất
3. Quy trình niềng răng trong suốt tại nha khoa Tâm Đức Smile
Niềng răng trong suốt là bước đánh dấu sự phát triển vượt bậc của công nghệ nha khoa. Phương pháp niềng răng này có thể áp dụng linh hoạt phù hợp từng trường hợp, và quan trọng là tính thẩm mỹ cũng như sự tiện dụng.
Bác sĩ sẽ điều trị những trường hợp trên bằng Invisalign theo các bước:
- Bước 1: Khám và tư vấn về phương pháp chỉnh hình răng với Invisalign.
- Bước 2: Chụp phim và lên kế hoạch điều trị
- Bước 3: Lấy dấu răng là làm khay Invisalign
- Bước 4: Mang khay trong suốt theo chỉ định của bác sĩ, tùy từng trường hợp cụ thể, số khay sẽ dao động trong khoảng từ 12 đến 48 khay.
- Bước 5: Khám định kì (2 – 3 tuần/lần) để kiểm tra mức độ di chuyển răng.
- Bước 6: Tháo khay, hoàn tất quá trình niềng răng.
Bệnh nhân nên đeo khay thường xuyên, ngoại trừ khi ăn uống và vệ sinh răng. Trong suốt quá trình mang khay, có thể dễ dàng nhận ra sự di chuyển dần dần vào đúng vị trí của răng như mong muốn. Nếu còn bất kì câu hỏi hay thắc mắc nào về phương pháp này, em hãy liên hệ ngay đến Hotline 1900 8040 - 0329 851 079 (Có sử dụng Zalo/ Viber) của Nha khoa Tâm Đức Smile để được tư vấn thêm nhé!
4. Những lý do bạn nên niềng răng tại Tâm Đức Smile
4.1. Thăm khám miễn phí
Không chỉ riêng niềng răng mà ở các dịch vụ khác, khách hàng đến Tâm Đức Smile sẽ được thăm khám, tư vấn và chụp phim bằng máy CT Cone Beam miễn phí thay vì phải trả 700.000 đến 1.500.000 như các nha khoa khác. Việc chụp phim bằng máy CT Cone Beam sẽ giúp bác sĩ thấy rõ, định hướng chính xác hướng đi của răng để đẩy nhanh tốc độ, kết thúc quá trình niềng sớm.
4.2. Rút ngắn thời gian niềng tối đa
Là một phương pháp cải thiện thẩm mỹ đòi hỏi nhiều thời gian, thường mỗi ca niềng răng đều từ 6 tháng đến 2,5 - 3 năm. Hiểu được những sự khó khăn và bất tiện khi đeo khí cụ niềng, bác sĩ tại Tâm Đức Smile luôn cố gắng tính toán để rút ngắn thời gian niềng của từng ca xuống một cách tối đa mà vẫn đảm bảo được sự chắc khỏe của răng.
4.3. Đa dạng phương pháp niềng răng
Mang đến nhiều lựa chọn cho khách hàng khi niềng răng, Tâm Đức Smile ngoài niềng răng mắc cài kim loại tự đóng thì còn có niềng răng mắc cài sứ, niềng trong suốt Invisalign,… Tùy vào nhu cầu về thẩm mỹ và hiệu quả mong muốn mà bác sĩ tại nha khoa sẽ tư vấn cho bệnh nhân hình thức niềng răng phù hợp, không bị gò bó trong một loại niềng răng.
4.4. Sử dụng vật liệu chính hãng
Vật liệu niềng bao gồm mắc cài, dây cung, khay niềng đều được nhập khẩu chính hãng từ các công ty sản xuất dụng cụ nha khoa trên thế giới. Bộ khay niềng, đặc biệt khay niềng trong suốt chính hãng Invisalign còn có chế độ bảo hành và kiểm tra bằng mã vạch nên khách hàng có thể hoàn toàn yên tâm về chất lượng.
4.5. Hỗ trợ tài chính
Là đối tác trực tiếp từ các thương hiệu cung cấp vật liệu nha khoa lớn trên thế giới, Tâm Đức Smile liên tục mang đến cho khách hàng những chương trình ưu đãi niềng răng với chi phí hợp lý, vừa túi tiền cho học sinh, sinh viên, cụ thể:
- Niềng răng trong suốt Invisalign trọn gói từ 22 triệu đồng.
- Hỗ trợ trả góp lãi suất 0%, thủ tục đơn giản.
5. Chia sẻ của khách hàng khi niềng răng tại Tâm Đức Smile
Cùng lắng nghe chia sẻ của chị Thanh Thanh khi niềng răng trong suốt tại Tâm Đức Smile
Khách hàng Minh Thư - Gói niềng Invisalign Comprehensive
Giá đã rẻ lại còn trả góp lãi suất 0%, chính vì thế mà dịch vụ niềng răng tại Tâm Đức Smile luôn HOT và nhận được nhiều sự tin tưởng, ủng hộ của khách hàng. Liên hệ Hotline 1900 8040 - 0329 851 079 (Có sử dụng Zalo/ Viber) hoặc điền thông tin vào bảng dưới đây để được tư vấn kỹ hơn.





