CHI PHÍ CẠO VÔI RĂNG GIÁ BAO NHIÊU TIỀN?
1. Chi phí cạo vôi răng hiện nay
1.1. Vì sao Quý khách nên cạo vôi răng tại nha khoa Tâm Đức Smile?
Cạo vôi răng là liệu trình chăm sóc răng cực kỳ quan trọng, yêu cầu bác sĩ thực hiện phải thật khéo léo và nhiều kinh nghiệm để đảm bảo:
- Sạch vôi răng.
- Không ảnh hưởng nướu răng.
- Không chảy máu.
- Không ê buốt.
Chính vì thế, chi phí cạo vôi răng phụ thuộc khá nhiều vào tay nghề của bác sĩ. Cùng theo đó là tình trạng răng miệng của bạn như thế nào. Nghĩa là:
- Bạn có cạo vôi răng định kỳ không?
- Bạn có bị viêm nha chu không?
- Cơ sở bạn lựa chọn để cạo vôi răng ở đâu?
Để có sự chuẩn bị trước, bạn có thể tham khảo qua bảng giá cạo vôi răng tại Tâm Đức Smile (giá theo quy định và dưới sự niêm yết của Bộ Y Tế).

Cạo vôi răng là giải pháp phòng ngừa sâu răng hiệu quả
1.2. Bảng giá cạo vôi răng tại nha khoa Tâm Đức Smile
| CẠO VÔI RĂNG | GIÁ NIÊM YẾT (VNĐ) |
| Cạo vôi + đánh bóng mức độ 1 | 500.000 |
| Cạo vôi + đánh bóng mức độ 2 (Vôi nhiêu) | 600.000 |
| Cạo vôi KHÔNG ĐAU với máy rung siêu âm | 700.000 - 1.000.000 |
(Bảng giá niêm yết chưa áp dụng khuyến mãi)
ĐẶT HẸN NGAY HÔM NAY ĐỂ ĐƯỢC:
► Khám và tư vấn miễn phí
► Ưu đãi dịch vụ cạo vôi răng lên đến 50%
2. Cạo vôi răng chi phí hợp lý, không ê buốt, nhẹ nhàng và sạch sẽ
Bạn cần hiểu tầm quan trọng của việc lấy vôi răng đối với sức khỏe răng miệng. Đây không chỉ là bước chăm sóc nhằm đảm bảo tính thẩm mỹ, mà còn là biện pháp ngăn ngừa những bệnh lý về răng miệng cực kỳ hiệu quả.
Nha khoa Tâm Đức Smile từ nhiều năm qua đã và đang được đông đảo bệnh nhân khu vực phía Nam tin tưởng, lựa chọn. Những ca cạo vôi răng từ đơn giản đến phức tạp đều được các bác sĩ tại Trung tâm thực hiện khéo léo, kỹ càng để đảm bảo không gây kích ứng nướu răng, không chảy máu. Đồng thời, Trung tâm đưa công nghệ cạo vôi răng bằng sóng siêu âm siêu nhỏ, giúp loại bỏ hoàn vôi răng ẩn sâu ở chân răng mà không ảnh hưởng nướu răng.
Hệ thống nha khoa Tâm Đức Smile tuyệt đối không để xảy ra tình trạng nâng cao giá thành, lấy vôi răng qua loa, không sạch. Bởi Nha Khoa Tâm Đức Smile là trung tâm nha khoa kỹ thuật cao hoạt động dưới sự quản lý của Bộ Y Tế. Tất cả quy trình chăm sóc – điều trị răng miệng, chi phí thanh toán đều nhất nhất tuân theo quy định và đảm bảo quyền lợi cho bệnh nhân.
Chính vì vậy, khi bạn muốn biết cụ thể mức chi phí cạo vôi răng là bao nhiêu tiền thì tốt nhất nên nhờ đến sự trợ giúp của bác sĩ tư vấn.
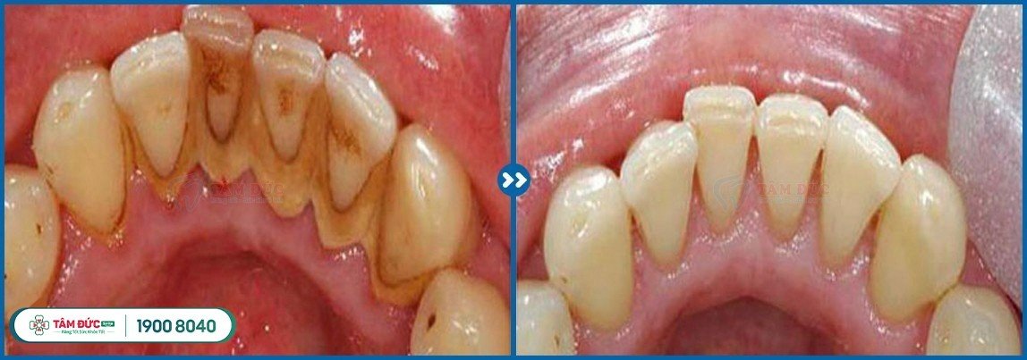
3. Khách hàng cạo vôi răng tại nha khoa Tâm Đức Smile



Đừng e ngại, vì chỉ có bác sĩ mới giúp bạn trả lời được những câu hỏi đó. Gọi đến Hotline 19008040 - 0329851079 (Có sử dụng Zalo/Viber) hoặc để lại số điện thoại ở bên khung phía dưới, sẽ có người gọi lại cho bạn ngay.
Nếu cần thêm bất cứ thông tin về dịch vụ nha khoa bạn có thể đăng ký tư vấn theo form dưới đây để được bác sĩ nha khoa Tâm Đức Smile tư vấn nhanh và chi tiết.




