CHÂN RĂNG CÓ MÙI HÔI NGUYÊN NHÂN DO ĐÂU? LÀM SAO ĐỂ KHẮC PHỤC?
1. Nguyên nhân nào làm cho chân răng có mùi hôi?
Có 5 nguyên nhân chính làm cho chân răng của Quý khách bị hôi. Bao gồm:
- Do làm sạch răng không khoa học.
- Do thường xuyên dùng đồ ăn, thức uống gây mùi.
- Do thói có quen hút thuốc lá.
- Do tác dụng phụ của 1 số loại thuốc chữa bệnh.
- Do 1 số bệnh lý răng miệng.
1.1. Làm sạch răng không đúng cách
Nếu Quý khách làm sạch răng miệng không đúng cách, mùi hôi ở chân răng sẽ xuất hiện. Vì thức ăn bị giắt lại ở chân răng hoặc kẽ răng lâu ngày sinh ra vi khuẩn.
Có các vị trí trên hàm răng bị khuất sâu bên trong, không thể làm sạch bằng thao tác chải răng thông thường. Nếu không sử dụng thêm các dụng cụ chuyên dụng như chỉ nha khoa, máy tăm nước, nước súc miệng,... thì tình trạng chân răng có mùi hôi rất dễ xảy ra.
1.2. Thường xuyên dùng đồ ăn, thức uống gây mùi
Thường xuyên sử dụng các thực phẩm gây mùi như tỏi, hành, cà phê, cà ri, bia rượu,... cũng là nguyên nhân làm cho chân răng bị hôi. Ăn uống không lành mạnh càng lâu, tình trạng bị hôi chân răng của Quý khách càng nghiêm trọng.


1.3. Chân răng có mùi hôi do thói quen hút thuốc lá
Các nhà nghiên cứu đã chỉ ra rằng, người có thói quen hút thuốc lá có tỷ lệ bị hôi miệng cao hơn so với người không hút thuốc. Vì trong thuốc lá có chứa nhiều độc tố làm cho chân răng có mùi hôi.
Ngoài ra, thói quen hút thuốc lá thường xuyên còn ảnh hưởng nghiêm trọng đến sức khỏe.
1.4. Tác dụng phụ của 1 số loại thuốc chữa bệnh
Bên cạnh các nguyên nhân chủ quan, còn 1 số nguyên nhân khách quan làm cho Quý khách bị hôi chân răng. Điển hình là do tác dụng phụ của việc dùng 1 số loại thuốc trị bệnh trong thời gian dài. Ví dụ như: Thuốc tiểu đường, thuốc tim mạch, thuốc trị bệnh thận,...
Mức độ của mùi hôi chân răng do nguyên nhân này gây ra sẽ phụ thuộc vào cơ địa và thể trạng của Quý khách.
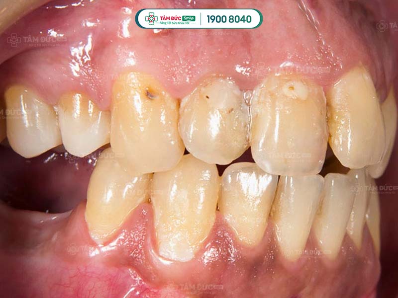
1.5. Bệnh lý răng miệng làm chân răng có mùi hôi
Bệnh lý răng miệng cũng là nguyên nhân làm cho chân răng có mùi hôi. Nếu Quý khách bị sâu răng, viêm lợi, viêm nha chu, áp xe răng,... thì hơi thở sẽ hôi hơn bình thường. Các bệnh lý này còn kéo theo nhiều biến chứng, như: Đau răng, răng lung lay, chảy máu chân răng,...
Khi mắc phải các bệnh lý này, Quý khách cần điều trị càng sớm càng tốt để ngăn chặn hệ lụy nguy hiểm, tránh ảnh hưởng sức khỏe về sau.


>>> Xem thêm: 3 nguyên nhân hôi miệng chính và cách nhận biết mình có bị hôi miệng hay không?
ĐẶT HẸN NGAY HÔM NAY ĐỂ ĐƯỢC:
► Khám và tư vấn miễn phí
► Miễn phí chụp film cùng với máy Conebeam CT trị giá 700K
► Miễn phí quét mẫu hàm công nghệ ITERO trị giá 3 triệu
► Hỗ trợ trả góp 0% lãi suất
2. Cách khắc phục khi bị hôi ở chân răng
Để cải thiện mùi hôi ở chân răng, Quý khách cần kết hợp nhiều phương pháp tại nhà và tại nha khoa. Điều này giúp Quý khách rút ngắn thời gian điều trị và đạt hiệu quả tốt hơn. Sau đây là khuyến nghị của bác sĩ dành cho Quý khách.
2.1. Khắc phục tại nhà
Để khắc phục tình trạng chân răng có mùi hôi tại nhà, Quý khách cần:
- Đánh răng đúng cách.
- Bỏ thói quen hút thuốc lá.
- Hạn chế ăn các thức ăn gây mùi.
2.1.1. Đánh răng đúng cách
Mỗi ngày, Quý khách hãy đánh răng tối thiểu 2 lần/ngày, mỗi lần đánh răng ít nhất 2 phút để làm sạch khoang miệng hiệu quả. Khi đánh răng, Quý khách nên di chuyển bàn chải theo chiều dọc từ trên xuống dưới, hoặc chải răng vòng tròn theo chiều kim đồng hồ. Nguyên nhân là vì men răng sẽ bị mòn khi chải răng theo chiều ngang.
Hãy lựa chọn loại bàn chải có đầu tròn để đánh răng dễ dàng hơn. Quý khách nên sử dụng thêm máy tăm nước hoặc chỉ nha khoa để làm sạch toàn bộ thức ăn bị giắt lại trong kẽ răng. Nhờ đó, nguyên nhân làm cho chân răng có mùi hôi do cặn thức ăn sẽ hoàn toàn bị loại bỏ.

Đánh răng đúng cách để loại bỏ hoàn toàn các mảng bám gây hôi miệng
2.1.2. Bỏ thói quen hút thuốc lá
Như thông tin trước đó đã chia sẻ, thói quen hút thuốc lá là 1 trong những nguyên nhân hàng đầu làm cho chân răng có mùi hôi. Vì vậy, để khắc phục tình trạng này, Quý khách cần bỏ thói quen hút thuốc lá.
Bỏ hút thuốc lá giúp giảm áp lực cho phổi khi phải liên tục hoạt động để đào thải độc tố ra ngoài cơ thể. Từ bỏ thói quen này giúp Quý khách ngăn chặn mùi hôi ở chân răng một cách hiệu quả.
2.1.3. Hạn chế ăn các thức ăn gây mùi
Hạn chế các thức ăn gây mùi cũng là cách cải thiện mùi hôi ở chân răng rất hiệu quả. Hoặc sau khi ăn xong, Quý khách cần đánh răng kỹ lưỡng, nhai kẹo cao su hoặc dùng xịt thơm miệng để loại bỏ mùi thức ăn. Bún đậu mắm tôm, sâu răng, mắm cá,... là những thức ăn thuộc danh sách này.
2.2. Khắc phục tại nha khoa
Nếu chân răng có mùi hôi không phải do nguyên nhân chủ quan, mà là do nguyên nhân khách quan thì Quý khách cần đến nha khoa điều trị. Chẳng hạn như hôi chân răng do sâu răng hoặc cao răng. Sau khi thăm khám, bác sĩ sẽ chỉ định phương pháp điều trị thích hợp, tùy vào mức độ và nguyên nhân cụ thể.
2.2.1. Cạo cao răng
Cao răng không chỉ là nguyên nhân làm cho chân răng có mùi hôi, mà còn gây viêm nướu và viêm nha chu. Vì vậy, cạo cao răng chính là cách loại bỏ mùi hôi chân răng được bác sĩ khuyên thực hiện, giúp sức khỏe răng miệng của Quý khách ổn định hơn.
Tại nha khoa Tâm Đức Smile, kỹ thuật cạo cao răng được thực hiện bởi công nghệ sóng siêu âm hiện đại. Cao răng sẽ được loại bỏ, các mảng bám còn lại cũng được làm sạch đến 95%. Sau khi cạo cao răng, mùi hôi ở chân răng cũng biến mất, màu răng cũng được cải thiện đáng kể.
Bác sĩ khuyến nghị Quý khách nên cạo cao răng ít nhất 2 lần/năm để bảo vệ sức khỏe răng miệng. Đồng thời, nên cạo cao răng tại nha khoa uy tín, để tránh tình trạng tổn thương men răng, chảy máu, viêm nhiễm,...
Mời Quý khách xem video thực tế cạo vôi răng tại nha khoa Tâm Đức Smile
2.2.2. Điều trị răng sâu
Nếu chân răng có mùi hôi là do răng sâu, Quý khách cần điều trị sâu răng càng sớm càng tốt. Vì răng sâu không chỉ gây hôi miệng, mà còn làm cho Quý khách bị đau nhức, nguy cơ ảnh hưởng đến tủy răng và làm mất răng vĩnh viễn.
Để chữa răng sâu, bác sĩ thường chỉ định trám răng, điều trị tủy hoặc nhổ răng, tùy theo mức độ nghiêm trọng. Để biết được cách chữa răng sâu ở trường hợp của mình, Quý khách hãy đến nha khoa Tâm Đức Smile để bác sĩ thăm khám.
Vừa rồi là thông tin về nguyên nhân và cách khắc phục khi chân răng có mùi hôi. Hy vọng đã gửi đến Quý khách các thông tin thú vị và hữu ích. Quý khách đang gặp tình trạng sâu răng hoặc viêm nhiễm ở nướu, hãy liên hệ với bác sĩ Tâm Đức Smile qua:
- Hotline 19008040 - 0329851079 (Có sử dụng Zalo/Viber).
- Bảng thông tin dưới đây.




