CHÂN RĂNG BỊ ĐỎ CÓ NGUY HIỂM KHÔNG? NGUYÊN NHÂN GÂY LÀ GÌ?
1. Nguyên nhân làm cho chân răng bị đỏ
Trong sinh hoạt hằng ngày, có rất nhiều nguyên nhân dẫn đến bệnh lý răng miệng. Nếu bạn phát hiện có những dấu hiệu bất thường ở răng miệng, điều đó có thể là do các yếu tố sau đây gây ra.
1.1. Chân răng bị đỏ do bỏng thức ăn hoặc nước uống
Thức ăn hoặc nước uống quá nóng có thể làm bỏng nướu, gây ửng đỏ chân răng. Khi bạn vội ăn thực phẩm hoặc uống nước nóng từ 50 độ trở lên, nướu bị nhiệt độ làm tổn thương. Bên cạnh dấu hiệu chân răng bị đỏ, bạn còn cảm thấy đau rát, thậm chí là chảy máu chân răng.
Bỏng nướu xảy ra ngay sau khi bạn ăn hoặc uống nên bạn dễ phán đoán chân răng bị đỏ là do nguyên nhân này gây ra. Tình trạng bỏng rát và đỏ ửng diễn ra dịu đi dần và thường kết thúc trong khoảng 1 tuần tuỳ theo mức độ bỏng nặng hay nhẹ.
Để làm dịu cảm giác đau rát khi bị bỏng nướu, bạn có thể:
- Thoa một ít mật ong lên nơi bị bỏng.
- Ngậm một ngụm nước trong miệng hoặc ngậm nước đá.
1.2. Chân răng bị đỏ do nhiệt miệng
Nhiệt miệng là một hiện tượng viêm và loét niêm mạc miệng. Nhiệt miệng xảy ra khi cơ thể bị thiếu chất, ăn nhiều đồ cay nóng hoặc do nhiễm khuẩn, nhiễm virus. Việc vệ sinh răng miệng không được sạch sẽ cũng là nguyên nhân phổ biến dẫn đến căn bệnh này.
Chân răng bị đỏ là dấu hiệu cho thấy bạn đang bị nhiệt miệng giai đoạn đầu. Ở giai đoạn sau, nhiệt miệng gây ra những vết loét miệng, nó có thể kéo dài đến 2 tuần tùy vào tình trạng sức khoẻ. Nếu hệ miễn dịch của bạn tốt, nhiệt miệng có thể khỏi nhanh sau vài ngày. Ngược lại, sức khỏe của bạn yếu và không kiêng cữ ăn uống trong thời gian bị nhiệt miệng, tình trạng viêm loét có xu hướng nghiêm trọng hơn.
Bên cạnh dấu hiệu sưng đỏ chân răng, nhiệt miệng còn tạo thành ổ mủ lở loét, gây chảy máu, đau rát và miệng có mùi hôi.

Nhiệt miệng làm chân răng của bạn bị đỏ và đau rát khi ăn uống
Một vài điều cấm kỵ khi bạn bị nhiệt miệng là:
- Đưa tay chạm vào vết loét nhiệt miệng.
- Ăn thực phẩm mặn, ngọt, chua, cay.
- Dùng răng chạm vào vết loét nhiệt miệng.
- Nặn mủ ở vết loét.
- Uống nước đá.
Nhiệt miệng làm chân răng bị đỏ, gây đau rát khi ăn uống, ảnh hưởng tiêu cực đến tinh thần của bạn. Vì vậy, để cơn nhiệt miệng qua đi nhanh chóng, bạn hãy:
- Uống nhiều nước lọc
- Vệ sinh răng miệng sạch sẽ sau khi ăn
- Kiêng các món có nhiều gia vị, cay hoặc nóng
- Kiêng ăn bánh kẹo ngọt
- Ngậm nước muối sinh lý để loại diệt vi khuẩn trong khoang miệng
- Bổ sung vitamin C cho cơ thể từ các loại rau và trái cây
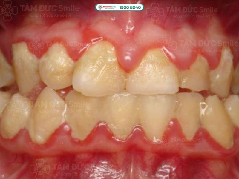
1.3. Chân răng bị đỏ và sưng do viêm nướu, viêm nha chu
Viêm nướu và viêm nha chu là căn bệnh phổ biến trong các bệnh liên quan đến nhiễm trùng khoang miệng. Viêm nướu được xem là giai đoạn đầu của viêm nha chu với biểu hiện sưng đỏ chân răng, bạn có cảm giác đau rát, tức nặng vùng mặt. Ở giai đoạn sau, viêm nướu tiến triển thành viêm nha chu, thường gây chảy máu chân răng, hôi miệng, tụ mủ và khó khăn khi ăn nhai.

Chân răng bị đỏ và sưng do viêm nha chu
Có nhiều nguyên nhân gây viêm nướu, chẳng hạn như:
- Thói quen hút thuốc lá, uống bia rượu
- Chấn thương nướu do bàn chải bị xơ cứng hoặc do tăm xỉa răng
- Vệ sinh răng miệng kém
- Hệ miễn dịch yếu
1.4. Chân răng bị đỏ, chảy máu do áp xe
Chân răng bị đỏ, có biểu hiện sưng thành túi tròn màu đỏ hoặc trắng có chứa mủ và máu bên trong là biểu hiện của áp xe nha chu. Khối áp xe được hình thành do sự tích tụ vi khuẩn lâu dài, nó thường bắt nguồn do sâu răng và hoại tử tủy răng không được điều trị.
Hiểu một cách đơn giản, áp xe là một ổ vi khuẩn lớn đang tấn công mạnh mẽ vào sâu trong răng, xương hàm, xoang,... vì vậy, nếu bạn phát hiện chân răng bị đỏ kèm theo các dấu hiệu của áp xe, bạn hãy tìm gặp bác sĩ để chữa trị ngay.
2. Chân răng bị đỏ có nguy hiểm không?
Thoạt nhìn, chân răng bị đỏ không nghiêm trọng và không gây nguy hiểm. Nhưng nếu không được chữa trị ngay, tình trạng viêm nhiễm tiếp tục lan rộng và gây ra những biến chứng nghiêm trọng.
2.1. Chân răng bị đỏ gây đau đớn
Trước mắt, ảnh hưởng của tình trạng sưng đỏ chân răng là cảm giác đau đớn, khó ăn nhai. Nó có tác động tiêu cực đến tinh thần và cả sinh hoạt của bạn. Cảm giác đau thường trực làm bạn khó tập trung khi học và khi làm. Cơn đau răng kéo dài gián tiếp làm giảm hiệu quả công việc của bạn.
Bên cạnh đó, chân răng bị đỏ gây đau đớn khi nhai, nhất là lúc cắn phải thực phẩm cứng hoặc ăn những món có nhiều gia vị. Dần dà, bạn phát sinh cảm giác ngại miệng, chán ăn, thường xuyên bỏ bữa. Điều này gây hại cho đường tiêu hoá và làm suy giảm hệ miễn dịch.

Sưng đỏ chân răng gây ra cảm giác đau đớn, khó ăn nhai
2.2. Chân răng bị đỏ làm tăng nguy cơ bị nhiễm trùng
Chân răng bị đỏ là dấu hiệu cảnh báo nguy cơ nhiễm trùng đang lan rộng. Nếu không được can thiệp điều trị, vùng ửng đỏ ở chân răng diễn tiến phức tạp thành tụ mủ, tụ máu, sưng húp, chảy máu. Vi khuẩn ở chân răng tiếp tục tấn công sâu vào tuỷ răng, chóp răng, xương hàm, xoang, dây thần kinh,... dẫn đến nhiều biến chứng phức tạp cho cơ thể.
Nhiễm trùng răng miệng kéo dài không được chữa trị có thể lan đến màng não, cơ tim và đe doạ tính mạng.
2.3. Chân răng bị đỏ kéo dài dẫn đến mất răng vĩnh viễn
Vi khuẩn phá vỡ cấu trúc nâng đỡ ở nướu răng, kéo tụt nướu răng và làm hở cổ chân răng. Chân răng bị lộ không còn vững chắc, rất dễ lung lay và gãy rụng.
Ngoài ra, khi vi khuẩn tấn công vào sâu trong răng, tuỷ răng bị hoại tử nên không còn khả năng nuôi sống răng. Tủy răng mất đi, răng trở nên giòn, dễ mẻ vỡ khi cắn đồ vật, Cấu trúc răng không còn đảm bảo, răng không thể tiếp nhận lực nhai như trước nên không thể truyền lực để kích thích xương hàm. Hậu quả là xương hàm bị tiêu biến dàn, chân răng không còn chỗ bám vững chắc, răng nhanh chóng rụng mất.
3. Cách phòng trị sưng đỏ chân răng hiệu quả
Chân răng bị đỏ là biểu hiện ban đầu của bệnh lý răng miệng. Ngay vào thời điểm này, bạn hãy tìm cách chữa trị để sớm khỏi bệnh và ngăn chặn kịp thời biến chứng nguy hiểm. Ngoài ra, việc tìm cách phòng bệnh cũng rất quan trọng, nó không chỉ giúp bạn tránh nguy cơ bị mất răng, mà còn giúp bạn nâng cao hệ miễn dịch toàn thân.
3.1. Cách chữa
Tuỳ theo nguyên nhân làm chân răng bị đỏ mà bác sĩ đưa ra các giải pháp tương ứng. Chẳng hạn như:
- Điều trị sâu răng: Nạo bỏ phần răng bị tổn thương, trám bít răng.
- Điều trị tuỷ: Nếu tuỷ răng đã bị hoại tử.
- Chích rạch ổ mủ áp xe.
- Dùng thuốc kháng sinh kết hợp kháng viêm.
- Nhổ răng nếu răng bị viêm nhiễm nghiêm trọng.
Để quá trình điều trị diễn ra suôn sẻ, bạn cần tuân theo chỉ dẫn của bác sĩ. Nếu cảm thấy đau trong quá trình thực hiện, bạn hãy giơ tay thay vì phản xạ ngậm miệng hay ngồi bật dậy. Ngoài ra, bạn cần tìm chọn địa chỉ nha khoa uy tín để xác định đúng bệnh và không gây biến chứng.

Bạn cần tìm chọn địa chỉ nha khoa uy tín để đảm bảo an toàn khi chữa trị
3.2. Phòng tránh sưng đỏ chân răng
Phòng bệnh hơn chữa bệnh, ngay từ bây giờ, bạn hãy thực hiện các biện pháp phòng bệnh răng miệng để đẩy lùi nguy cơ mắc bệnh. Nếu bạn đang điều trị các bệnh khác về răng miệng, những cách phòng ngừa sau đây chính là “trợ thủ” giúp bạn mau phục hồi hơn.
- Vệ sinh răng miệng sạch sẽ ít nhất 2 lần vào lúc sáng và tối.
- Thay mới bàn chải đánh răng có lông mềm, khi chải răng nên dùng lực nhẹ nhàng và làm sạch cả mặt lưỡi.
- Dùng chỉ nha khoa hoặc máy tăm nước thay cho tăm xỉa răng thông thường để tránh gây chấn thương cho nướu.
- Ngậm nước muối sinh lý hoặc dung dịch súc miệng chuyên dụng để làm sạch 99% vi khuẩn trong khoang miệng.
- Tránh hút thuốc lá, chỉ uống bia rượu khi thật sự cần thiết.
- Hạn chế ăn bánh kẹo ngọt hoặc ăn xong phải chải lại răng thật kỹ.
- Hạn chế uống nước ngọt có ga, khi uống nên dùng ống hút để nước ngọt giảm khả năng tiếp xúc trực tiếp với răng.
- Bổ sung các loại thực phẩm tốt cho nướu răng có chứa vitamin C, vitamin B và thực phẩm giàu Omega-3.
- Cạo vôi răng định kỳ để loại sạch mảng bám trên răng, vì đây chính là môi trường ẩn náu của vi khuẩn làm chân răng bị đỏ.
Nha khoa Tâm Đức Smile mong rằng bài viết trên đã giúp bạn có thêm hiểu biết về dấu hiệu cảnh báo các bệnh răng miệng. Nếu phát hiện chân răng bị đỏ và kèm theo các triệu chứng đau buốt, chảy máu, tụ mủ… bạn hãy đến gặp bác sĩ để thăm khám ngay.
Để được bác sĩ tư vấn miễn phí, bạn hãy gọi đến Hotline 19008040 - 0329851079 (Có sử dụng Zalo/Viber) hoặc để lại câu hỏi thắc mắc vào bảng sau đây.


