CẠO VÔI RĂNG CÓ ĐAU KHÔNG?
1. Cạo vôi răng có đau hay không?
Lấy vôi răng được xem là thủ thuật đơn giản trong nha khoa, nhưng lại đòi hỏi sự khéo léo, tỉ mỉ của bác sĩ để có thể loại sạch được các mảng vôi răng.
Nếu như phương pháp lấy vôi răng truyền thống của những cơ sở khác dễ gây chảy máu, đau và kích ứng nướu, thì tại tất cả các chi nhánh nha khoa của Tâm Đức Smile chúng đều ứng dụng công nghệ sóng siêu âm vào liệu trình cạo vôi răng.
Đây là máy cạo vôi răng sử dụng sóng siêu âm có độ rung nhẹ để làm bong vôi răng, kể cả ở kẽ răng, dưới nướu, viền nướu. Cùng với sự phụ trách của bác sĩ nha giỏi, chu đáo, tỉ mỉ trong từng thao tác, bạn sẽ được đảm bảo:
- Không đau.
- Không kích ứng, không ảnh hưởng nướu răng.
- Không chảy máu (trừ trường hợp viêm nha chu nặng).
- Lấy sạch cao răng nhẹ nhàng, kỹ càng.
- Không làm mòn men răng.
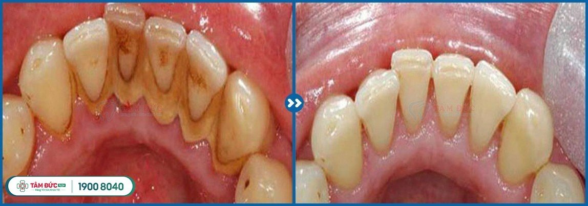
Mời Quý khách tham khảo quá trình cạo vôi răng ở nha khoa Tâm Đức Smile
ĐẶT HẸN NGAY HÔM NAY ĐỂ ĐƯỢC:
► Khám và tư vấn miễn phí
► Ưu đãi dịch vụ cạo vôi răng lên đến 50%
2. Không cạo vôi răng có bị gì không?
Vôi răng được xem là nguyên nhân chính dẫn đến các bệnh lý về răng miệng. Lấy vôi răng định kỳ là bước chăm sóc răng cực kỳ quan trọng và cần thiết cho mọi đối tượng. Nhất là những trường hợp: răng có nhiều mảng bám, răng yếu, răng sau khi bọc sứ một thời gian, người đang điều trị viêm nướu – viêm nha chu.
Dù bạn có cách chăm sóc răng miệng chu đáo, kỹ càng thế nào thì lấy vôi răng vẫn được khuyến khích thực hiện. Đừng chủ quan, vì nếu không cạo vôi răng thường xuyên có thể dẫn đến nhiều nguy cơ:
2.1. Viêm nướu, kích ứng nướu:
Triệu chứng ban đầu là chảy máu chân răng, sưng tấy, nướu có màu đỏ. Lâu dần sẽ khiến tụt nướu lộ chân răng. Nặng nhất là tiêu xương, apxe ổ răng, mất răng.
2.2. Viêm niêm mạc miệng:
Có nhiều tác nhân gây viêm niêm mạc miệng, trong đó có vôi răng.
2.3. Gây mất thẩm mỹ hàm răng:
Vôi răng gây hôi miệng, vàng răng khiến bạn không tự tin khi giao tiếp.
Khuyến cáo từ bác sĩ:
“Cạo vôi răng tuy là đơn giản nhưng cạo vôi răng có đau không đòi hỏi bác sĩ thực hiện phải có tâm, tỉ mỉ. Nếu bạn lựa chọn cơ sở không uy tín, liệu trình cạo vôi răng thường diễn ra chóng vánh, không tỉ mỉ, sót vôi răng. Đồng thời, thao tác thực hiện không nhẹ nhàng dễ gây đau, chảy máu cho bệnh nhân.
3. Khách hàng cạo vôi răng tại nha khoa Tâm Đức Smile



4. Cận cảnh khách hàng lấy vôi răng tại nha khoa Tâm Đức Smile
5. Bảng giá cạo vôi răng tại Tâm Đức Smile
| CẠO VÔI RĂNG | GIÁ NIÊM YẾT (VNĐ) |
| Cạo vôi + đánh bóng mức độ 1 | 500.000 |
| Cạo vôi + đánh bóng mức độ 2 (Vôi nhiêu) | 600.000 |
| Cạo vôi KHÔNG ĐAU với máy rung siêu âm | 700.000 - 1.000.000 |
Tất cả thắc mắc về răng miệng của bạn sẽ được giải đáp, tư vấn miễn phí một cách tận tình. Chính vì thế, khi cần hỗ trợ bất cứ vấn đề gì, bạn đừng ngại gọi cho bác sĩ tư vấn của Nha khoa Tâm Đức Smile qua Hotline 19008040 - 0329851079 (Có sử dụng Zalo/Viber).
Nếu cần thêm bất cứ thông tin về dịch vụ nha khoa bạn có thể đăng ký tư vấn theo form dưới đây để được bác sĩ nha khoa Tâm Đức Smile tư vấn nhanh và chi tiết.




