[GIẢI ĐÁP] ĐỐM TRẮNG TRÊN RĂNG CÓ ẢNH HƯỞNG GÌ KHÔNG? CÁCH CHỮA TRỊ
1. Đốm trắng trên răng là bị gì?
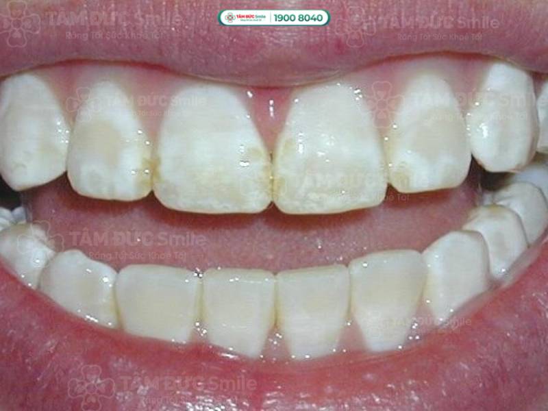
Màu sắc tự nhiên của răng bình thường vốn có màu vàng nhẹ. Tuy nhiên, nếu bạn thấy trên răng xuất hiện những đốm trắng đục thì có thể răng đang gặp vấn đề. Trước khi giải đáp đốm trắng trên răng có ảnh hưởng gì không, Tâm Đức Smile sẽ chia sẻ một vài nguyên nhân gây ra tình trạng này.

Răng xuất hiện những đốm trắng đục
1.1. Đốm trắng trên răng là bị thiểu sản men răng
Thiểu sản men răng là tình trạng men răng hình thành không hoàn toàn hoặc cấu trúc bất thường, dẫn đến lớp men răng mỏng và dễ tổn thương. Đốm trắng trên răng là một trong những dấu hiệu đặc trưng của thiểu sản men răng. Những đốm này có thể xuất hiện ở một hoặc nhiều răng, có kích thước và màu sắc khác nhau. Ngoài đốm trắng, triệu chứng của thiếu sản men răng còn có:
- Xuất hiện hố, rãnh hoặc vết nứt trên răng.
- Trên răng có vết ố vàng đậm hoặc nâu.
- Răng bị bào mòn, dễ sứt mẻ khi bị tác động.
1.2. Đốm trắng trên răng là do dư thừa fluor
Răng bị thừa fluor ảnh hưởng trực tiếp đến quá trình tạo thành men răng. Nếu cơ thể tiếp xúc với lượng lớn fluor trong quá trình hình thành răng thì fluor sẽ tích tụ trong men răng. Biểu hiện phổ biến của dư thừa fluor chính là xuất hiện đốm trắng loang lổ trên răng.
Tùy thuộc vào lượng fluor hấp thụ và thời gian tiếp xúc mà đốm trắng ở mức độ nhẹ, vừa hoặc nặng. Đốm trắng có thể xuất hiện ở một hoặc nhiều răng, thường ở răng cửa và răng nanh.

Đốm trắng trên răng có thể là do dư thừa fluor
1.3. Đốm trắng trên răng do tác dụng phụ của thuốc
Một trong các nguyên nhân gây đốm trắng trên răng có thể kể đến tác dụng phụ của thuốc. Một số loại thuốc khi đi vào cơ thể lắng đọng và tích tụ trong men răng gây ra biến đổi về màu sắc. Tetracycline là một ví dụ điển hình khiến răng bị ố vàng hoặc xám. Ngoài ra, một số loại thuốc khác cũng có thể gây đốm trắng trên răng như thuốc điều trị ung thư, thuốc chống co giật và corticosteroid.
1.4. Đốm trắng trên răng do cao răng tích tụ
Cao răng là một lớp chất cứng, màu vàng hoặc nâu hình thành trên bề mặt răng. Chúng xuất hiện chủ yếu ở những vùng khó chải tới như kẽ răng, đường viền nướu. Khi cao răng tích tụ, vi khuẩn trong đó sẽ sản sinh ra axit. Axit này tấn công men răng, làm mất đi các khoáng chất như canxi và photpho, dẫn đến sự hình thành các đốm trắng trên bề mặt răng.
2. Đốm trắng trên răng có ảnh hưởng gì không?
Đốm trắng trên răng có ảnh hưởng gì không? Câu trả lời là “Có”. Nó không chỉ làm mất thẩm mỹ mà còn gây ra các bệnh lý về răng. Dưới đây là những ảnh hưởng của đốm trắng trên răng thường gặp nhất.
2.1. Đốm trắng trên răng gây mất thẩm mỹ nụ cười
Đốm trắng trên răng là "kẻ thù" của những người muốn sở hữu nụ cười rạng rỡ. Đốm trắng nhỏ hay mảng trắng lớn trên bề mặt răng không chỉ mất thẩm mỹ mà còn khiến nụ cười trở nên kém tươi tắn và thiếu sức sống. Bởi vậy, việc tìm hiểu nguyên nhân và biện pháp khắc phục sớm vô cùng quan trọng để lấy lại nụ cười tự tin.

Mảng trắng lớn trên bề mặt răng gây mất thẩm mỹ
2.2. Đốm trắng trên răng làm răng yếu đi và dễ bị sâu
Răng yếu dần và dễ bị sâu là câu trả lời cho thắc mắc đốm trắng trên răng có ảnh hưởng gì không. Đốm trắng thường xuất hiện khi lớp men răng bị mất khoáng chất. Lớp men răng yếu đi, dễ bị các axit trong miệng tấn công, tạo điều kiện cho vi khuẩn phát triển và gây sâu răng. Không những thế, mất khoáng hóa còn làm thay đổi cấu trúc của răng, khiến răng trở nên xốp, dễ bị mẻ và vỡ.
2.3. Đốm trắng trên răng gây hôi miệng
Đốm trắng trên răng có ảnh hưởng gì không? Câu trả lời chắc chắn không thể thiếu hôi miệng. Đốm trắng trên răng không gây hôi miệng trực tiếp, nhưng nó báo hiệu răng miệng đang có vấn đề. Chính những vấn đề này mới là thủ phạm gây ra mùi hôi.
Chẳng hạn, các mảnh vụn thức ăn mắc lại trong các đốm trắng tạo điều kiện cho vi khuẩn phát triển. Quá trình phân hủy thức ăn của vi khuẩn sản sinh ra các hợp chất có mùi khó chịu gây hôi miệng.
3. Giải pháp chữa trị và phòng ngừa đốm trắng trên răng
Chắc hẳn, bạn đã phần nào có lời giải đáp cho thắc mắc đốm trắng trên răng có ảnh hưởng gì không. Đốm trắng trên răng không chỉ làm mất tính thẩm mỹ mà còn ảnh hưởng sức khỏe răng miệng. Dưới đây là các cách chữa trị và phòng ngừa đốm trắng trên răng an toàn, hiệu quả tối ưu.
3.1. Cách chữa trị
Hiện nay, có nhiều cách chữa trị giúp cải thiện đốm trắng trên răng hiệu quả. Tùy vào nguyên nhân và mức độ của đốm trắng mà bạn lựa chọn phương pháp phù hợp nhất.
3.1.1. Cạo vôi răng
Cạo vôi răng là một quy trình nha khoa giúp loại bỏ mảng bám, cao răng bám trên bề mặt răng và dưới nướu. Phương pháp này giúp răng sạch sẽ hơn, ngăn ngừa các bệnh về nướu nhưng không làm thay đổi màu sắc của răng.
Ngoài ra, cạo vôi răng cũng là bước quan trọng trong quá trình chăm sóc răng miệng. Việc loại bỏ cao răng giúp làm sạch bề mặt răng, tạo điều kiện thuận lợi cho các phương pháp điều trị đốm trắng khác.

Cạo vôi răng là một quy trình nha khoa giúp loại bỏ mảng bám, cao răng
3.1.2. Tái khoáng răng
Tái khoáng răng là một phương pháp điều trị không xâm lấn, tập trung vào việc phục hồi khoáng chất cho men răng bị mất. Phương pháp này giúp cải thiện tình trạng đốm trắng và các tổn thương nhỏ khác trên bề mặt răng.
Ưu điểm của tái khoáng răng là không cần mài răng, giữ tối đa cấu trúc răng tự nhiên. Hơn nữa, phương pháp này hỗ trợ cải thiện đáng kể đốm trắng trên răng, làm sáng và tăng cường độ bền cho men răng. Phương pháp này phù hợp với những trường hợp đốm nhẹ hoặc ở mức trung bình và hiệu quả nhất với đốm mới, chưa quá sâu.
3.1.3. Bọc răng sứ
Bọc răng sứ là một trong những phương pháp nha khoa thẩm mỹ phổ biến và hiệu quả để khắc phục tình trạng đốm trắng trên răng. Với lớp vỏ sứ mỏng bao bọc bên ngoài răng thật, các vết đốm trắng hoàn toàn được che phủ, mang lại hàm răng trắng sáng và đều màu.
Dù nguyên nhân gây đốm trắng do nhiễm fluor, thiểu sản men răng hay các nguyên nhân khác cũng đều có thể tiến hành bọc răng sứ. Ưu điểm của răng sứ là màu sắc tự nhiên, giống răng thật, không bị ố vàng theo thời gian, độ bền cao và chịu được lực nhai tốt.



Bọc răng sứ là một trong những phương pháp khắc phục đốm trắng trên răng
3.1.4. Dán sứ veneer
Dán sứ veneer là phủ lớp sứ mỏng lên bề mặt phía trước của răng. Miếng dán này giúp che đi các đốm trắng trên răng cũng như những khuyết điểm khác về thẩm mỹ.
Lưu ý, phương pháp này chỉ thực hiện ở phòng khám uy tín bởi bác sĩ chuyên nghiệp. Tùy vào mức độ đốm, bác sĩ cân nhắc áp dụng dán sứ veneer để giấu đốm trắng và đảm bảo tính thẩm mỹ.
3.2. Phòng ngừa các đốm trắng trên răng
Trả lời được câu hỏi đốm trắng trên răng có ảnh hưởng gì không, bạn sẽ thấy những tác hại chúng gây ra. Từ đó, bạn hiểu hơn về tầm quan trọng của việc phòng ngừa sự xuất hiện của các đốm này trên răng.
3.2.1. Dùng kem đánh răng giàu Flour
Fluor là một khoáng chất tự nhiên giúp tăng cường men răng cho răng chắc khỏe và kháng lại các axit gây hại. Khi sử dụng kem đánh răng có chứa fluor, một lớp bảo vệ mỏng sẽ hình thành trên bề mặt răng, giúp ngăn ngừa sự hình thành các đốm trắng.
Bạn nên đánh răng ít nhất 2 lần/ngày với kem đánh răng chứa fluor. Lưu ý, người lớn chỉ dùng một lượng kem đánh răng bằng hạt đậu và ít hơn với trẻ nhỏ.
3.2.2. Cạo vôi răng định kỳ
Vôi răng là một lớp màng cứng chứa vi khuẩn bám chặt trên bề mặt răng. Nếu không được loại bỏ thì vôi răng có nguy cơ ra các vấn đề về răng miệng như sâu răng, viêm lợi và hình thành các đốm trắng. Theo khuyến cáo của bác sĩ, bạn nên cạo vôi răng định kỳ 6 tháng một lần để hàm răng luôn trắng sáng.

Theo khuyến cáo của bác sĩ, bạn nên cạo vôi răng định kỳ 6 tháng một lần
3.2.3. Bổ sung các loại thực phẩm tốt cho men răng
Canxi là thành phần chính của men răng. Các nguồn cung cấp canxi dồi dào bao gồm sữa, các sản phẩm từ sữa, rau lá xanh đậm và các loại hạt. Ngoài ra, bạn cũng nên bổ sung thêm thực phẩm giàu vitamin D giúp tăng khả năng hấp thụ canxi cho cơ thể. Các nguồn cung cấp vitamin D bao gồm cá béo (cá hồi, cá ngừ), trứng và các loại nấm.
Bên cạnh đó, chuyên gia còn khuyến cáo mọi người nên bổ sung thêm thực phẩm giàu photpho vào thực đơn hàng ngày. Bởi, photpho kết hợp với canxi giúp men răng chắc khỏe. Nguồn thực phẩm cung cấp hàm lượng photpho dồi dào gồm thịt, cá và các loại hạt.
3.2.4. Hạn chế ăn thực phẩm có chứa nhiều acid
Axit trong nhiều loại thức ăn, đồ uống làm mòn men răng và tạo điều kiện cho các đốm trắng hình thành. Vì thế, bạn nên hạn chế tối đa thực phẩm chứa nhiều axit trong bữa ăn hàng ngày. Các thực phẩm chứa nhiều axit gồm đồ uống có ga, cam, chanh, bưởi, dưa chua, cà chua, bánh kẹo loại chứa đường,....
Sau khi ăn hoặc uống những thực phẩm trên, bạn nên súc miệng lại bằng nước lọc để trung hòa axit. Trong quá trình uống, bạn hãy sử dụng ống hút để hạn chế đồ uống tiếp xúc trực tiếp với răng.
Hy vọng những thông tin trong bài viết sẽ giúp bạn giải đáp thắc mắc đốm trắng trên răng có ảnh hưởng gì không. Tóm lại, đốm trắng trên răng không chỉ là vấn đề về thẩm mỹ mà còn ẩn chứa nhiều nguy cơ tiềm ẩn cho sức khỏe răng miệng. Để bảo vệ răng chắc khỏe và trắng sáng, bạn nên duy trì thói quen vệ sinh răng miệng, khám răng định kỳ và điều chỉnh chế độ ăn uống.
Nếu gặp vấn đề về sức khoẻ răng miệng, bạn hãy liên hệ với nha khoa Tâm Đức Smile để được tư vấn miễn phí qua Hotline 19008040 - 0329851079 (Có sử dụng Zalo/Viber) hoặc đăng ký qua bảng sau đây.


